Western Blot - Anti-Cullin 4B / CUL-4B Antibody (A14734)
Western blot analysis of extracts of various cell lines, using Anti-Cullin 4B / CUL-4B Antibody (A14734) at 1:1,000 dilution. The secondary antibody was Goat Anti-Rabbit IgG H&L Antibody (HRP) at 1:10,000 dilution. Lysates/proteins were present at 25µg per lane. The blocking buffer used was 3% non-fat dry milk in TBST. Detection was with a ECL Basic Kit. Exposure time: 60s.
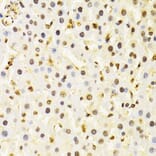
Immunohistochemistry analysis of paraffin-embedded rat liver using Anti-Cullin 4B / CUL-4B Antibody (A14734) at a dilution of 1:200 (40x lens). Perform microwave antigen retrieval with 10 mM PBS buffer pH 7.2 before commencing with IHC staining protocol.
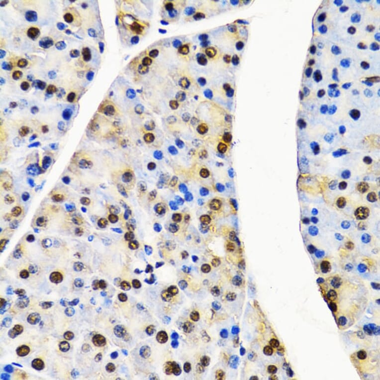
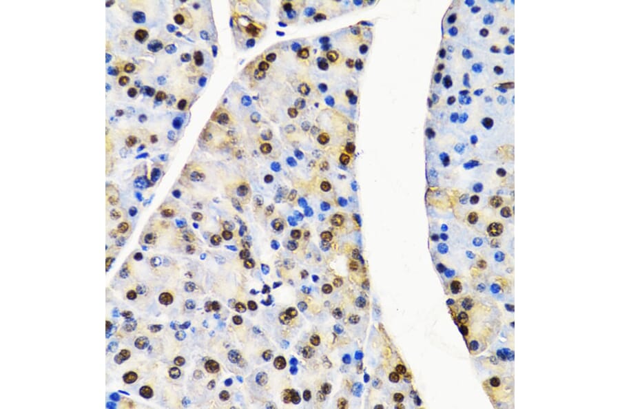
Immunohistochemistry analysis of paraffin-embedded mouse pancreas using Anti-Cullin 4B / CUL-4B Antibody (A14734) at a dilution of 1:200 (40x lens). Perform microwave antigen retrieval with 10 mM PBS buffer pH 7.2 before commencing with IHC staining protocol.
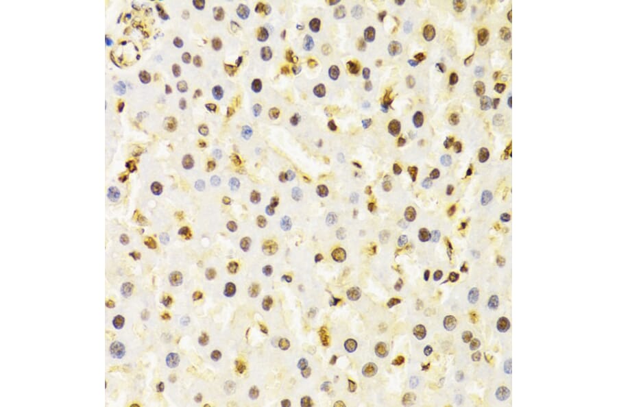
Immunohistochemistry analysis of paraffin-embedded human liver cancer using Anti-Cullin 4B / CUL-4B Antibody (A14734) at a dilution of 1:200 (40x lens). Perform microwave antigen retrieval with 10 mM PBS buffer pH 7.2 before commencing with IHC staining protocol.
Immunofluorescence analysis of U2OS cells using Anti-Cullin 4B / CUL-4B Antibody (A14734). DAPI was used to stain the cell nuclei (blue). DNA damage by a UV-A laser.