Western blot analysis of various lysates, using Anti-CX3CL1 Antibody (A87711) at 1:600 dilution. The secondary antibody was Goat Anti-Rabbit IgG H&L Antibody (HRP) at 1:10,000 dilution. Lysates/proteins were present at 25µg per lane. The blocking buffer used was 3% non-fat dry milk in TBST. Detection was with a ECL Basic Kit. Exposure time: 60s.
Immunohistochemistry analysis of paraffin-embedded human brain tissue using Anti-CX3CL1 Antibody (A87711) at a dilution of 1:100 (40x lens). Perform high pressure antigen retrieval with 10 mM citrate buffer pH 6.0 before commencing with IHC staining protocol.
Immunohistochemistry analysis of paraffin-embedded mouse testis using Anti-CX3CL1 Antibody (A87711) at a dilution of 1:100 (40x lens). Perform high pressure antigen retrieval with 10 mM citrate buffer pH 6.0 before commencing with IHC staining protocol.
Immunohistochemistry analysis of paraffin-embedded rat ovary using Anti-CX3CL1 Antibody (A87711) at a dilution of 1:100 (40x lens). Perform high pressure antigen retrieval with 10 mM citrate buffer pH 6.0 before commencing with IHC staining protocol.
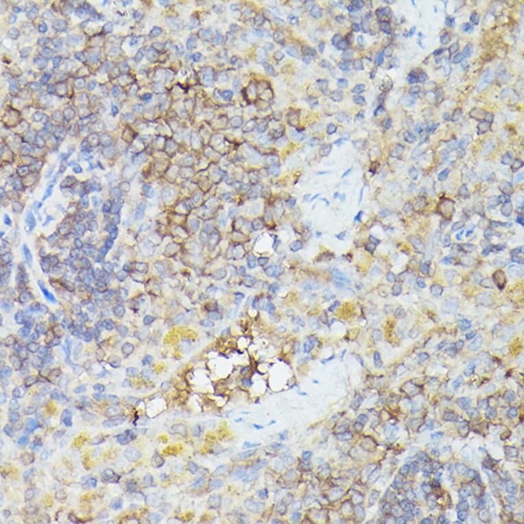
Immunohistochemistry analysis of paraffin-embedded rat spleen using Anti-CX3CL1 Antibody (A87711) at a dilution of 1:100 (40x lens). Perform high pressure antigen retrieval with 10 mM citrate buffer pH 6.0 before commencing with IHC staining protocol.
Immunofluorescence analysis of NIH-3T3 cells using Anti-CX3CL1 Antibody (A87711) at a dilution of 1:100 (40x lens). DAPI was used to stain the cell nuclei (blue).
Recombinant humanized monoclonal antibody to CX3CL1 for use as a research grade Quetmolimab biosimil for ELISA, Flow Cytometry, Functional Studies and in vivo Research.
Recombinant humanized monoclonal antibody to CX3CL1 for use as a research grade Quetmolimab biosimil for ELISA, Flow Cytometry, Functional Studies and in vivo Research.