Primary Antibodies
Secondary Antibodies
Proteins & Peptides
ELISA Kits
About Us
Contact Us
Sign In/Register
0
ISO 9001:2015 Certified
Live Customer Support
4.5/5 on Trustpilot
100% Quality Guarantee
Home
Primary Antibodies
CXCL11 Antibodies
Anti-CXCL11 Antibody (A9814)
Anti-CXCL11 Antibody (A9814)
Overview
Specifications
Images
Enlarge Image
$375
Product Datasheet
Rabbit polyclonal antibody to CXCL11 for IHC.
100% Guarantee
Price Match Guarantee
Product Size:
100µl
Quantity:
1
2
3
4
5
6
7
8
9
10
Add To Cart
Request a Quotation
Custom or Bulk Request
Shipping Information
Freight/Packing Charges:
$40
Dispatched from St. Louis, MO.
Lead Time: 7-10 business days.
Specifications
Name
Anti-CXCL11 Antibody
Description
Rabbit polyclonal antibody to CXCL11.
Applications
IHC
Dilutions
IHC: 1:100-1:200
Reactivity
Human
Immunogen
Recombinant fusion protein containing a sequence corresponding to amino acids 22-94 of human CXCL11 (NP_005400.1).
Sequence
FPMFKRGRCLCIGPGVKAVKVADIEKASIMYPSNNCDKIEVIITLKENKGQRCLNPKSKQARLIIKKVERKNF
Host
Rabbit
Clonality
Polyclonal
Isotype
IgG
Conjugate
Unconjugated
Purification
Affinity purification.
Concentration
Lot Specific
Product Form
Liquid
Formulation
Supplied in Phosphate Buffered Saline, pH 7.3, with 50% Glycerol and 0.02% Sodium Azide.
Storage
Shipped at 4°C. Upon delivery aliquot and store at -20°C. Avoid freeze/thaw cycles.
Synonyms
Beta-R1, C-X-C motif chemokine 11, H174, I-TAC, Interferon gamma-inducible protein 9, Interferon-inducible T-cell alpha chemoattractant, IP-9, ITAC, SCYB11, SCYB9B, Small-inducible cytokine B11
Isotype Controls
Rabbit IgG (A82272)
Rabbit IgG (A17360)
Suitable Secondaries
Goat Anti-Rabbit IgG H&L Antibody (AP) (A294874)
Goat Anti-Rabbit IgG H&L Antibody (Biotin) (A294795)
Goat Anti-Rabbit IgG H&L Antibody (FITC) (A294887)
Goat Anti-Rabbit IgG H&L Antibody (HRP) (A294888)
See all Anti-Rabbit IgG Secondaries →
Disclaimer
This product is for research use only. It is not intended for diagnostic or therapeutic use.
Scientific Validation Data
Validation Data
(1)
Enlarge Image
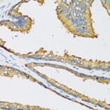
Immunohistochemistry - Anti-CXCL11 Antibody (A9814)
Immunohistochemistry analysis of paraffin-embedded human prostate using Anti-CXCL11 Antibody (A9814) at a dilution of 1:100 (40x lens).
Publishing research using Anti-CXCL11 Antibody (A9814)? Please
let us know
so that we can list the citation on this page.
Alternative products to Anti-CXCL11 Antibody (A9814)
(2)
A337643
Anti-CXCL11 Nanobody [Iv0089]
Recombinant human monoclonal [Iv0089] nanobody to CXCL11 for ELISA and Neutralization.
A345423
Anti-CXCL11 Antibody [23GB5640]
Recombinant rabbit monoclonal [23GB5640] antibody to CXCL11 for WB and ICC/IF.
A31144
Anti-CXCL11 Antibody
Rabbit polyclonal antibody to CXCL11 for WB and IHC.
A337715
Anti-CXCL11 Nanobody [SAA1272]
Recombinant alpaca monoclonal [SAA1272] nanobody to CXCL11 for ELISA and RIA.
A338291
Anti-CXCL11 Nanobody [11A7]
Recombinant alpaca monoclonal [11A7] nanobody to CXCL11 for ELISA and FuncS.
A337519
Anti-CXCL11 Nanobody [SAA0466]
Recombinant mouse monoclonal [SAA0466] nanobody to CXCL11 for ELISA and Flow Cytometry.
A42503
Anti-CXCL11 Antibody
Rabbit polyclonal antibody to CXCL11 for IHC.
A342154
Anti-CXCL11 Antibody [B-K43] - BSA and Azide free
Mouse monoclonal [B-K43] IVD antibody to CXCL11 for ELISA.
A342159
Anti-CXCL11 Antibody [B-S40] - BSA and Azide free
Mouse monoclonal [B-S40] IVD antibody to CXCL11 for ELISA.
(2)
A337643
Anti-CXCL11 Nanobody [Iv0089]
Recombinant human monoclonal [Iv0089] nanobody to CXCL11 for ELISA and Neutralization.
A345423
Anti-CXCL11 Antibody [23GB5640]
Recombinant rabbit monoclonal [23GB5640] antibody to CXCL11 for WB and ICC/IF.
A31144
Anti-CXCL11 Antibody
Rabbit polyclonal antibody to CXCL11 for WB and IHC.
A337715
Anti-CXCL11 Nanobody [SAA1272]
Recombinant alpaca monoclonal [SAA1272] nanobody to CXCL11 for ELISA and RIA.
A338291
Anti-CXCL11 Nanobody [11A7]
Recombinant alpaca monoclonal [11A7] nanobody to CXCL11 for ELISA and FuncS.
A337519
Anti-CXCL11 Nanobody [SAA0466]
Recombinant mouse monoclonal [SAA0466] nanobody to CXCL11 for ELISA and Flow Cytometry.
A42503
Anti-CXCL11 Antibody
Rabbit polyclonal antibody to CXCL11 for IHC.
A342154
Anti-CXCL11 Antibody [B-K43] - BSA and Azide free
Mouse monoclonal [B-K43] IVD antibody to CXCL11 for ELISA.
A342159
Anti-CXCL11 Antibody [B-S40] - BSA and Azide free
Mouse monoclonal [B-S40] IVD antibody to CXCL11 for ELISA.
See all CXCL11 Antibodies
Proteins predicted to interact with CXCL11
Predicted protein interactions based upon String database. Revelancy score correlates with probability of interaction.
CXCL7 Antibodies
99.9% Relevancy Score
CCL20 Antibodies
99.9% Relevancy Score
CCL25 Antibodies
99.9% Relevancy Score
MCP-4 Antibodies
99.9% Relevancy Score
CXCL12 Antibodies
99.9% Relevancy Score
CCL21 Antibodies
99.9% Relevancy Score
MCP-2 Antibodies
99.9% Relevancy Score
RANTES Antibodies
99.9% Relevancy Score
CXCL2 Antibodies
99.9% Relevancy Score
Top