Primary Antibodies
Secondary Antibodies
Proteins & Peptides
ELISA Kits
About Us
Contact Us
Sign In/Register
0
ISO 9001:2015 Certified
Live Customer Support
4.5/5 on Trustpilot
100% Quality Guarantee
Home
Primary Antibodies
CXCL3 Antibodies
Anti-CXCL3 Antibody (A45896)
Anti-CXCL3 Antibody (A45896)
Overview
Specifications
Images
Enlarge Image
Enlarge Image
$430
Product Datasheet
Rabbit polyclonal antibody to CXCL3 for IHC.
100% Guarantee
Price Match Guarantee
Product Size:
100µl
Quantity:
1
2
3
4
5
6
7
8
9
10
Add To Cart
Request a Quotation
Custom or Bulk Request
Shipping Information
Freight/Packing Charges:
$40
Dispatched from St. Louis, MO.
Lead Time: 6-9 business days.
Specifications
Name
Anti-CXCL3 Antibody
Description
Rabbit polyclonal antibody to CXCL3
Specificity
The antibody detects endogenous levels of total CXCL3 protein.
Applications
IHC
Reactivity
Human
Immunogen
Full length fusion protein
Host
Rabbit
Clonality
Polyclonal
Conjugate
Unconjugated
Purification
Antigen affinity purification.
Concentration
0.9 mg/mL
Formulation
Supplied in PBS, pH 7.3, containing 0.05% sodium azide and 50% glycerol.
Storage
Shipped at 4°C. Upon delivery aliquot and store at -20°C. Avoid freeze/thaw cycles.
Synonyms
C-X-C motif chemokine 3, GRO-gamma, GRO-gamma(1-73, GRO3, GROG, Growth-regulated protein gamma, Macrophage inflammatory protein 2-beta, MIP2-beta, SCYB3
Suitable Secondaries
Goat Anti-Rabbit IgG H&L Antibody (AP) (A294874)
Goat Anti-Rabbit IgG H&L Antibody (Biotin) (A294795)
Goat Anti-Rabbit IgG H&L Antibody (FITC) (A294887)
Goat Anti-Rabbit IgG H&L Antibody (HRP) (A294888)
See all Anti-Rabbit IgG Secondaries →
Disclaimer
This product is for research use only. It is not intended for diagnostic or therapeutic use.
Scientific Validation Data
Validation Data
(2)
Enlarge Image
Immunohistochemistry - Anti-CXCL3 Antibody (A45896)
Immunohistochemical analysis of paraffin-embedded Human liver cancer tissue using #35751 at dilution 1/20.
Enlarge Image
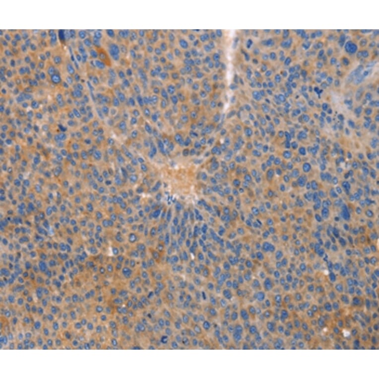
Immunohistochemistry - Anti-CXCL3 Antibody (A45896)
Immunohistochemical analysis of paraffin-embedded Human thyroid cancer tissue using #35751 at dilution 1/20.
Publishing research using Anti-CXCL3 Antibody (A45896)? Please
let us know
so that we can list the citation on this page.
Alternative products to Anti-CXCL3 Antibody (A45896)
A99754
Anti-GROgamma Antibody
Rabbit polyclonal antibody to GROgamma for IHC, IF and ELISA.
A99754
Anti-GROgamma Antibody
Rabbit polyclonal antibody to GROgamma for IHC, IF and ELISA.
Proteins predicted to interact with CXCL3
Predicted protein interactions based upon String database. Revelancy score correlates with probability of interaction.
CXCL5 Antibodies
99.9% Relevancy Score
CXCR2 Antibodies
99.9% Relevancy Score
CXCL6 Antibodies
99.8% Relevancy Score
CXCL1 Antibodies
99.6% Relevancy Score
CXCR1 Antibodies
99.6% Relevancy Score
Eotaxin Antibodies
99.6% Relevancy Score
CXCL2 Antibodies
99.5% Relevancy Score
XCL2 Antibodies
99.5% Relevancy Score
CXCL10 Antibodies
97.1% Relevancy Score
Top