Primary Antibodies
Secondary Antibodies
Proteins & Peptides
ELISA Kits
About Us
Contact Us
Sign In/Register
0
ISO 9001:2015 Certified
Live Customer Support
4.5/5 on Trustpilot
100% Quality Guarantee
Home
Primary Antibodies
CXCR5 Antibodies
Anti-CXCR5 Antibody (A46060)
Anti-CXCR5 Antibody (A46060)
Overview
Specifications
Images
Enlarge Image
$405
Rabbit polyclonal antibody to CXCR5 for IHC.
100% Guarantee
Price Match Guarantee
Product Size:
100µl
Quantity:
1
2
3
4
5
6
7
8
9
10
Add To Cart
Request a Quotation
Custom or Bulk Request
Shipping Information
Freight/Packing Charges:
$40
Dispatched from St. Louis, MO.
Lead Time: 6-9 business days.
Tags:
B Cell Marker
T Follicular Helper Cell Marker
Specifications
Name
Anti-CXCR5 Antibody
Description
Rabbit polyclonal antibody to CXCR5
Specificity
The antibody detects endogenous levels of total CXCR5 protein.
Applications
IHC
Reactivity
Human
Immunogen
Synthetic peptide corresponding to residues near the N terminal of human chemokine (C-X-C motif) receptor 5
Host
Rabbit
Clonality
Polyclonal
Conjugate
Unconjugated
Purification
Antigen affinity purification.
Concentration
1 mg/ml
Formulation
Rabbit IgG in pH7.3 PBS, 0.05% NaN3, 50% Glycerol.
Storage
Store at -20˚C
Synonyms
BLR1, Burkitt lymphoma receptor 1, C-X-C chemokine receptor type 5, CD185, CXC-R5, CXCR-5, MDR-15, MDR15, Monocyte-derived receptor 15
Suitable Secondaries
Goat Anti-Rabbit IgG H&L Antibody (AP) (A294874)
Goat Anti-Rabbit IgG H&L Antibody (Biotin) (A294795)
Goat Anti-Rabbit IgG H&L Antibody (FITC) (A294887)
Goat Anti-Rabbit IgG H&L Antibody (HRP) (A294888)
See all Anti-Rabbit IgG Secondaries →
Disclaimer
This product is for research use only. It is not intended for diagnostic or therapeutic use.
Scientific Validation Data
Validation Data
(1)
Enlarge Image
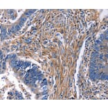
Immunohistochemistry - Anti-CXCR5 Antibody (A46060)
Immunohistochemical analysis of paraffin-embedded Human rectal cancer tissue using #36815 at dilution 1/25.
Publishing research using Anti-CXCR5 Antibody (A46060)? Please
let us know
so that we can list the citation on this page.
Alternative products to Anti-CXCR5 Antibody (A46060)
(3)
A308772
1 Citation
Anti-CXCR5 Antibody [ARC1363]
Rabbit monoclonal [ARC1363] antibody to CXCR5 for WB and ICC/IF.
(2)
A323989
Anti-CXCR5 Antibody [SAR113244] - Low endotoxin, Azide free
Recombinant human monoclonal [SAR113244] antibody to CXCR5 for ELISA, FACS, Functional Assay and In Vivo.
(3)
A101124
Anti-CXCR5 Antibody
Rabbit polyclonal antibody to CXCR5 for WB and ELISA.
(2)
A40780
Anti-Blr1 Antibody
Rabbit polyclonal antibody to Blr1 for WB and ELISA.
A54660
Anti-CXCR5 Antibody
Rabbit polyclonal antibody to CXCR5 for ELISA, IP and WB.
A9692
Anti-CXCR5 Antibody
Rabbit polyclonal antibody to CXCR5 for WB.
A318689
Anti-CXCR5 Antibody [DMC679] - BSA and Azide free
Recombinant chimeric monoclonal [DMC679] antibody to CXCR5 for Flow Cytometry.
A316216
Anti-CXCR5 Antibody [CXCR5/8279R] - BSA and Azide free
Recombinant rabbit monoclonal [CXCR5/8279R] antibody to CXCR5 for IHC-P.
A316215
Anti-CXCR5 Antibody [CXCR5/8146R] - BSA and Azide free
Recombinant rabbit monoclonal [CXCR5/8146R] antibody to CXCR5 for IHC-P.
A314832
Anti-CXCR5 Antibody [CXCR5/8279R]
Recombinant rabbit monoclonal [CXCR5/8279R] antibody to CXCR5 for IHC-P.
A314831
Anti-CXCR5 Antibody [CXCR5/8146R]
Recombinant rabbit monoclonal [CXCR5/8146R] antibody to CXCR5 for IHC-P.
(3)
A308772
1 Citation
Anti-CXCR5 Antibody [ARC1363]
Rabbit monoclonal [ARC1363] antibody to CXCR5 for WB and ICC/IF.
(2)
A323989
Anti-CXCR5 Antibody [SAR113244] - Low endotoxin, Azide free
Recombinant human monoclonal [SAR113244] antibody to CXCR5 for ELISA, FACS, Functional Assay and In Vivo.
(3)
A101124
Anti-CXCR5 Antibody
Rabbit polyclonal antibody to CXCR5 for WB and ELISA.
(2)
A40780
Anti-Blr1 Antibody
Rabbit polyclonal antibody to Blr1 for WB and ELISA.
A54660
Anti-CXCR5 Antibody
Rabbit polyclonal antibody to CXCR5 for ELISA, IP and WB.
A9692
Anti-CXCR5 Antibody
Rabbit polyclonal antibody to CXCR5 for WB.
A318689
Anti-CXCR5 Antibody [DMC679] - BSA and Azide free
Recombinant chimeric monoclonal [DMC679] antibody to CXCR5 for Flow Cytometry.
A316216
Anti-CXCR5 Antibody [CXCR5/8279R] - BSA and Azide free
Recombinant rabbit monoclonal [CXCR5/8279R] antibody to CXCR5 for IHC-P.
A316215
Anti-CXCR5 Antibody [CXCR5/8146R] - BSA and Azide free
Recombinant rabbit monoclonal [CXCR5/8146R] antibody to CXCR5 for IHC-P.
A314832
Anti-CXCR5 Antibody [CXCR5/8279R]
Recombinant rabbit monoclonal [CXCR5/8279R] antibody to CXCR5 for IHC-P.
A314831
Anti-CXCR5 Antibody [CXCR5/8146R]
Recombinant rabbit monoclonal [CXCR5/8146R] antibody to CXCR5 for IHC-P.
See all CXCR5 Antibodies
Proteins predicted to interact with CXCR5
Predicted protein interactions based upon String database. Revelancy score correlates with probability of interaction.
CXCL13 Antibodies
99.9% Relevancy Score
CXCL12 Antibodies
99.8% Relevancy Score
CCL21 Antibodies
99.7% Relevancy Score
CXCL10 Antibodies
97% Relevancy Score
RANTES Antibodies
96.2% Relevancy Score
CCR7 Antibodies
96.2% Relevancy Score
CXCL9 Antibodies
96% Relevancy Score
ICOS Antibodies
95% Relevancy Score
LEC Antibodies
94.7% Relevancy Score
Top