Primary Antibodies
Secondary Antibodies
Proteins & Peptides
ELISA Kits
About Us
Contact Us
Sign In/Register
0
ISO 9001:2015 Certified
Live Customer Support
4.5/5 on Trustpilot
100% Quality Guarantee
Home
Primary Antibodies
CXCR6 Antibodies
Anti-CXCR6 Antibody (A37909)
Anti-CXCR6 Antibody (A37909)
Overview
Specifications
Images
Enlarge Image
Enlarge Image
$430
Product Datasheet
Rabbit polyclonal antibody to CXCR6 for WB and IHC.
100% Guarantee
Price Match Guarantee
Product Size:
100µl
Quantity:
1
2
3
4
5
6
7
8
9
10
Add To Cart
Request a Quotation
Custom or Bulk Request
Shipping Information
Freight/Packing Charges:
$40
Dispatched from St. Louis, MO.
Lead Time: 6-9 business days.
Specifications
Name
Anti-CXCR6 Antibody
Description
Rabbit polyclonal antibody to CXCR6
Specificity
The antibody detects endogenous levels of total CXCR6 protein.
Applications
WB
,
IHC
Reactivity
Human, Mouse
Immunogen
Fusion protein corresponding to a region derived from internal residues of human chemokine (C-X-C motif) receptor 6
Host
Rabbit
Clonality
Polyclonal
Conjugate
Unconjugated
Purification
Antigen affinity purification.
Concentration
1.4 mg/mL
Formulation
Supplied in PBS, pH 7.3, containing 0.05% sodium azide and 50% glycerol.
Storage
Shipped at 4°C. Upon delivery aliquot and store at -20°C. Avoid freeze/thaw cycles.
Synonyms
BONZO, C-X-C chemokine receptor type 6, CD186, CDw186, CXC-R6, CXCR-6, G-protein coupled receptor bonzo, G-protein coupled receptor STRL33, STRL33, TYMSTR
Suitable Secondaries
Goat Anti-Rabbit IgG H&L Antibody (AP) (A294874)
Goat Anti-Rabbit IgG H&L Antibody (Biotin) (A294795)
Goat Anti-Rabbit IgG H&L Antibody (FITC) (A294887)
Goat Anti-Rabbit IgG H&L Antibody (HRP) (A294888)
See all Anti-Rabbit IgG Secondaries →
Disclaimer
This product is for research use only. It is not intended for diagnostic or therapeutic use.
Scientific Validation Data
Validation Data
(2)
Enlarge Image
Anti-CXCR6 Antibody (A37909)
Gel: 8% SDS-PAGE Lysates (from left to right): Human fetal brain and mouse brain tissue Amount of lysate: 40ug per lane Primary antibody: 1/350 dilution Secondary antibody dilution: 1/8000 Exposure time: 2 minutes
Enlarge Image
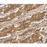
Immunohistochemistry - Anti-CXCR6 Antibody (A37909)
Immunohistochemical analysis of paraffin-embedded Human gastric cancer tissue using #36380 at dilution 1/30.
Publishing research using Anti-CXCR6 Antibody (A37909)? Please
let us know
so that we can list the citation on this page.
Alternative products to Anti-CXCR6 Antibody (A37909)
(4)
A101123
Anti-CXCR6 Antibody
Rabbit polyclonal antibody to CXCR6 for WB, IHC, IF and ELISA.
A54661
Anti-CXCR6 Antibody
Rabbit polyclonal antibody to CXCR6 for ELISA, IHC, IP and WB.
(2)
A84805
Anti-CXCR6 Antibody
Goat polyclonal antibody to CXCR6 for ELISA, WB and IHC.
(2)
A47842
Anti-Bonzo Antibody
Rabbit polyclonal antibody to Bonzo for ELISA, WB and IHC.
A29052
Anti-CXCR6 Antibody
Rabbit polyclonal antibody to CXCR6 for WB.
A40587
Anti-Bonzo Antibody
Rabbit polyclonal antibody to Bonzo for ELISA and WB.
A329293
Anti-CXCR6 Antibody
Rabbit polyclonal antibody to CXCR6 for WB and ELISA.
A49359
Anti-Bonzo Antibody
Rabbit polyclonal antibody to Bonzo for ELISA and WB.
(4)
A101123
Anti-CXCR6 Antibody
Rabbit polyclonal antibody to CXCR6 for WB, IHC, IF and ELISA.
A54661
Anti-CXCR6 Antibody
Rabbit polyclonal antibody to CXCR6 for ELISA, IHC, IP and WB.
(2)
A84805
Anti-CXCR6 Antibody
Goat polyclonal antibody to CXCR6 for ELISA, WB and IHC.
(2)
A47842
Anti-Bonzo Antibody
Rabbit polyclonal antibody to Bonzo for ELISA, WB and IHC.
A29052
Anti-CXCR6 Antibody
Rabbit polyclonal antibody to CXCR6 for WB.
A40587
Anti-Bonzo Antibody
Rabbit polyclonal antibody to Bonzo for ELISA and WB.
A329293
Anti-CXCR6 Antibody
Rabbit polyclonal antibody to CXCR6 for WB and ELISA.
A49359
Anti-Bonzo Antibody
Rabbit polyclonal antibody to Bonzo for ELISA and WB.
See all CXCR6 Antibodies
Proteins predicted to interact with CXCR6
Predicted protein interactions based upon String database. Revelancy score correlates with probability of interaction.
CXCL16 Antibodies
99.9% Relevancy Score
CXCL9 Antibodies
98.4% Relevancy Score
CXCL12 Antibodies
97.8% Relevancy Score
CXCL10 Antibodies
96.9% Relevancy Score
CCL20 Antibodies
95.6% Relevancy Score
RANTES Antibodies
95.5% Relevancy Score
CX3CL1 Antibodies
93.9% Relevancy Score
CCL3 Antibodies
93.4% Relevancy Score
CCR5 Antibodies
93.1% Relevancy Score
Top