Primary Antibodies
Secondary Antibodies
Proteins & Peptides
ELISA Kits
About Us
Contact Us
Sign In/Register
0
ISO 9001:2015 Certified
Live Customer Support
4.5/5 on Trustpilot
100% Quality Guarantee
Home
Primary Antibodies
p22phox Antibodies
Anti-CYBA Antibody (A46787)
Anti-CYBA Antibody (A46787)
Overview
Specifications
Images
Enlarge Image
Enlarge Image
$405
Rabbit polyclonal antibody to CYBA for IHC.
100% Guarantee
Price Match Guarantee
Product Size:
100µl
Quantity:
1
2
3
4
5
6
7
8
9
10
Add To Cart
Request a Quotation
Custom or Bulk Request
Shipping Information
Freight/Packing Charges:
$40
Dispatched from St. Louis, MO.
Lead Time: 6-9 business days.
Specifications
Name
Anti-CYBA Antibody
Description
Rabbit polyclonal antibody to CYBA
Specificity
The antibody detects endogenous levels of total CYBA protein.
Applications
IHC
Reactivity
Human
Immunogen
Fusion protein corresponding to residues near the C terminal of human cytochrome b-245, alpha polypeptide
Host
Rabbit
Clonality
Polyclonal
Conjugate
Unconjugated
Purification
Antigen affinity purification.
Concentration
1.6 mg/ml
Formulation
Rabbit IgG in pH7.3 PBS, 0.05% NaN3, 50% Glycerol.
Storage
Store at -20˚C
Synonyms
Cytochrome b(558) alpha chain, Cytochrome b-245 light chain, Cytochrome b558 subunit alpha, Neutrophil cytochrome b 22 kDa polypeptide, p22 phagocyte B-cytochrome, p22-phox, Superoxide-generating NADPH oxidase light chain subunit
Suitable Secondaries
Goat Anti-Rabbit IgG H&L Antibody (AP) (A294874)
Goat Anti-Rabbit IgG H&L Antibody (Biotin) (A294795)
Goat Anti-Rabbit IgG H&L Antibody (FITC) (A294887)
Goat Anti-Rabbit IgG H&L Antibody (HRP) (A294888)
See all Anti-Rabbit IgG Secondaries →
Disclaimer
This product is for research use only. It is not intended for diagnostic or therapeutic use.
Scientific Validation Data
Validation Data
(2)
Enlarge Image
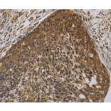
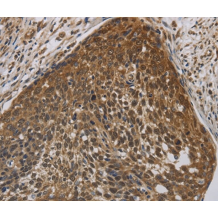
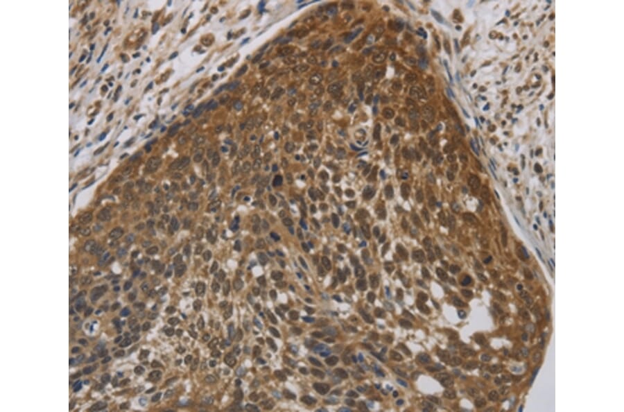
Immunohistochemistry - Anti-CYBA Antibody (A46787)
Immunohistochemical analysis of paraffin-embedded Human thyroid cancer tissue using #36394 at dilution 1/40.
Enlarge Image
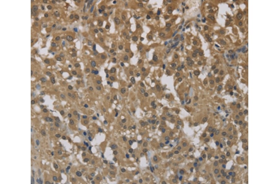
Immunohistochemistry - Anti-CYBA Antibody (A46787)
Immunohistochemical analysis of paraffin-embedded Human cervical cancer tissue using #36394 at dilution 1/40.
Publishing research using Anti-CYBA Antibody (A46787)? Please
let us know
so that we can list the citation on this page.
Alternative products to Anti-CYBA Antibody (A46787)
A28480
Anti-p22-phox Antibody
Rabbit polyclonal antibody to p22-phox for WB.
A28480
Anti-p22-phox Antibody
Rabbit polyclonal antibody to p22-phox for WB.
Proteins predicted to interact with p22phox
Predicted protein interactions based upon String database. Revelancy score correlates with probability of interaction.
NOXO1 Antibodies
99.9% Relevancy Score
NOX2 Antibodies
99.9% Relevancy Score
RAC2 Antibodies
99.9% Relevancy Score
p47phox Antibodies
99.9% Relevancy Score
NOX4 Antibodies
99.9% Relevancy Score
NOX1 Antibodies
99.9% Relevancy Score
NOXA1 Antibodies
99.9% Relevancy Score
p67phox Antibodies
99.9% Relevancy Score
p40-phox Antibodies
99.9% Relevancy Score
Top