Western blot analysis of extracts of various cell lines, using Anti-Cyclin B1 Antibody (A90461) at 1:500 dilution. The secondary antibody was Goat Anti-Rabbit IgG H&L Antibody (HRP) at 1:10,000 dilution. Lysates/proteins were present at 25µg per lane. The blocking buffer used was 3% non-fat dry milk in TBST. Detection was with a ECL Basic Kit. Exposure time: 30s.
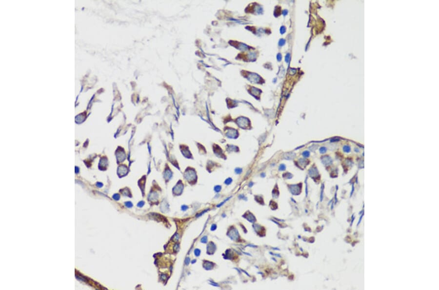
Immunohistochemistry analysis of paraffin-embedded rat testis using Anti-Cyclin B1 Antibody (A90461) at a dilution of 1:100 (40x lens). Perform microwave antigen retrieval with 10 mM PBS buffer pH 7.2 before commencing with IHC staining protocol.
Immunohistochemistry analysis of paraffin-embedded human lung cancer using Anti-Cyclin B1 Antibody (A90461) at a dilution of 1:100 (40x lens). Perform microwave antigen retrieval with 10 mM PBS buffer pH 7.2 before commencing with IHC staining protocol.
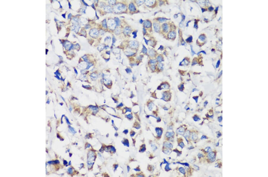
Immunohistochemistry analysis of paraffin-embedded human breast cancer tissue using Anti-Cyclin B1 Antibody (A90461) at a dilution of 1:100 (40x lens). Perform microwave antigen retrieval with 10 mM PBS buffer pH 7.2 before commencing with IHC staining protocol.
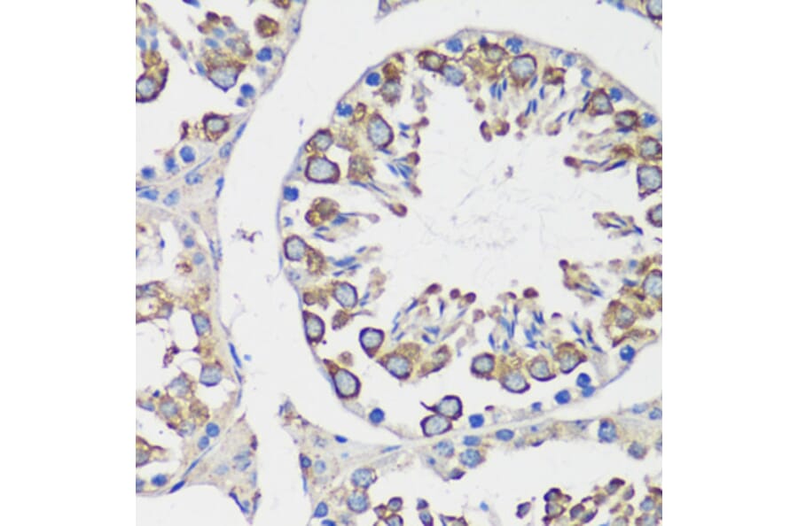
Immunohistochemistry analysis of paraffin-embedded mouse testis using Anti-Cyclin B1 Antibody (A90461) at a dilution of 1:100 (40x lens). Perform microwave antigen retrieval with 10 mM PBS buffer pH 7.2 before commencing with IHC staining protocol.
Immunofluorescence analysis of HeLa cells using Anti-Cyclin B1 Antibody (A90461) at a dilution of 1:100 (40x lens). DAPI was used to stain the cell nuclei (blue).
Immunofluorescence analysis of NIH/3T3 cells using Anti-Cyclin B1 Antibody (A90461) at a dilution of 1:100 (40x lens). DAPI was used to stain the cell nuclei (blue).
Immunofluorescence analysis of PC-12 cells using Anti-Cyclin B1 Antibody (A90461) at a dilution of 1:100 (40x lens). DAPI was used to stain the cell nuclei (blue).
Immunoprecipitation analysis of 200µg extracts of HeLa cells using 3µg of Anti-Cyclin B1 Antibody (A90461). This Western blot was performed on the immunoprecipitate using Anti-Cyclin B1 Antibody (A90461) at a dilution of 1:1000.