Primary Antibodies
Secondary Antibodies
Proteins & Peptides
ELISA Kits
About Us
Contact Us
Sign In/Register
0
ISO 9001:2015 Certified
Live Customer Support
4.5/5 on Trustpilot
100% Quality Guarantee
Home
Primary Antibodies
CCNL1 Antibodies
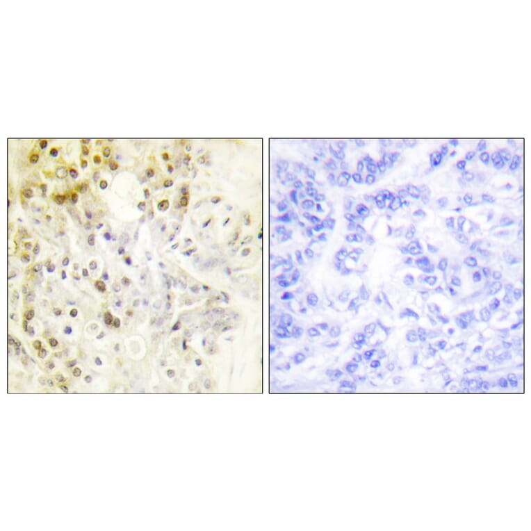
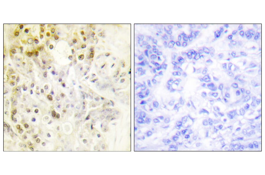
Anti-Cyclin L1 Antibody (A95186)
Anti-Cyclin L1 Antibody (A95186)
Overview
Specifications
$200
Product Datasheet
Rabbit polyclonal antibody to Cyclin L1 for WB, IHC, IF and ELISA.
100% Guarantee
Price Match Guarantee
Product Size:
10µg
100µg
Quantity:
1
2
3
4
5
6
7
8
9
10
Add To Cart
Request a Quotation
Custom or Bulk Request
Shipping Information
Freight/Packing Charges:
$40
Dispatched from St. Louis, MO.
Lead Time: 6-8 business days.
Specifications
Name
Anti-Cyclin L1 Antibody
Description
Rabbit polyclonal antibody to Cyclin L1.
Applications
WB
,
IHC
,
IF
,
ELISA
Dilutions
WB: 1:500~1:1000, IHC: 1:50~1:100, ELISA: 1:10000
Reactivity
Human, Mouse, Rat
Cross Reactivity
No reported cross-reactivity.
Immunogen
Synthetic peptide derived from human Cyclin L1 (amino acids 461-510).
Host
Rabbit
Clonality
Polyclonal
Isotype
IgG
Conjugate
Unconjugated
Purification
Purified from rabbit serum by antigen affinity chromatography using the immunizing peptide.
Molecular Weight
59kDa
Product Form
Liquid
Formulation
Supplied in Phosphate Buffered Saline (without Mg2+ and Ca2+), pH 7.4, with 150mM NaCl, 0.02% Sodium Azide, and 50% Glycerol.
Storage
Shipped at 4°C. Upon delivery aliquot and store at -20°C. Avoid freeze / thaw cycles.
Synonyms
Cyclin-L, Cyclin-L1
Isotype Controls
Rabbit IgG (A82272)
Rabbit IgG (A17360)
Suitable Secondaries
Goat Anti-Rabbit IgG H&L Antibody (AP) (A294874)
Goat Anti-Rabbit IgG H&L Antibody (Biotin) (A294795)
Goat Anti-Rabbit IgG H&L Antibody (FITC) (A294887)
Goat Anti-Rabbit IgG H&L Antibody (HRP) (A294888)
See all Anti-Rabbit IgG Secondaries →
Disclaimer
This product is for research use only. It is not intended for diagnostic or therapeutic use.
Publishing research using Anti-Cyclin L1 Antibody (A95186)? Please
let us know
so that we can list the citation on this page.
Alternative products to Anti-Cyclin L1 Antibody (A95186)
(3)
A36632
Anti-Cyclin-L1 Antibody
Rabbit polyclonal antibody to Cyclin-L1 for WB and IHC.
(3)
A36632
Anti-Cyclin-L1 Antibody
Rabbit polyclonal antibody to Cyclin-L1 for WB and IHC.
Proteins predicted to interact with CCNL1
Predicted protein interactions based upon String database. Revelancy score correlates with probability of interaction.
CDK11A Antibodies
98.2% Relevancy Score
CDC2L6 Antibodies
97.9% Relevancy Score
CDK11B Antibodies
83.9% Relevancy Score
SRSF2 Antibodies
76.2% Relevancy Score
SAP30BP Antibodies
64.8% Relevancy Score
CDK12 Antibodies
63.3% Relevancy Score
CKII alpha Antibodies
60.8% Relevancy Score
CLK1 Antibodies
56.8% Relevancy Score
CDK10 Antibodies
54.3% Relevancy Score
Top