ISO 9001:2015 Certified
Live Customer Support
4.5/5 on Trustpilot
100% Quality Guarantee

Anti-Cyclophilin B Antibody (A15850)

This product is discontinued

Anti-Cyclophilin B Antibody (A15850) has been discontinued and is no longer available.

View all Cyclophilin B Antibodies.

Name
Anti-Cyclophilin B Antibody
Description
Rabbit polyclonal antibody to Cyclophilin B.
Applications
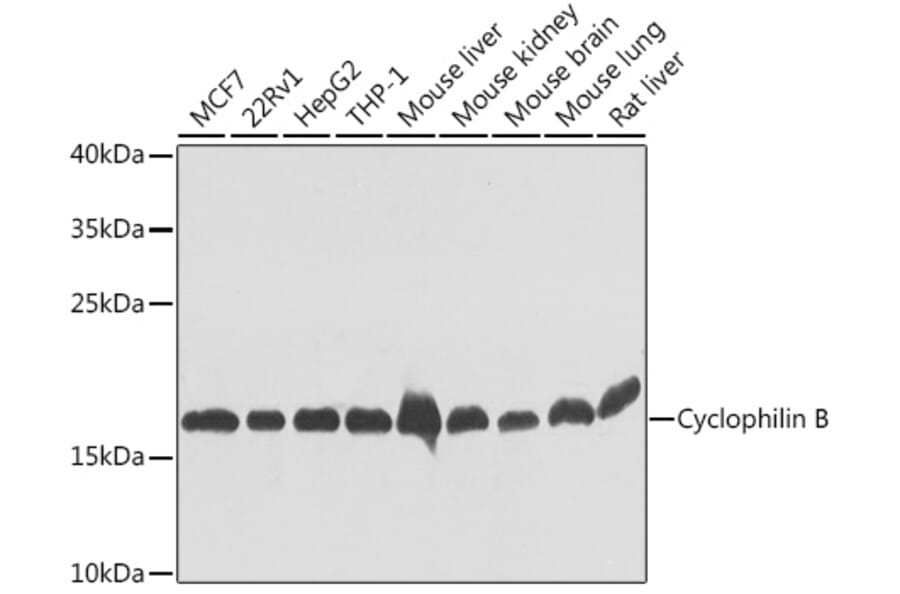
WB
Dilutions
WB: 1:500-1:2,000
Reactivity
Human, Mouse, Rat
Immunogen
Recombinant fusion protein containing a sequence corresponding to amino acids 34-216 of human Cyclophilin B (NP_000933.1).
Sequence
DEKKKGPKVTVKVYFDLRIGDEDVGRVIFGLFGKTVPKTVDNFVALATGEKGFGYKNSKFHRVIKDFMIQGGDFTRGDGTGGKSIYGERFPDENFKLKHYGPGWVSMANAGKDTNGSQFFITTVKTAWLDGKHVVFGKVLEGMEVVRKVESTKTDSRDKPLKDVIIADCGKIEVEKPFAIAKE
Host
Rabbit
Clonality
Polyclonal
Isotype
IgG
Conjugate

Unconjugated

Purification
Affinity purification.
Molecular Weight
24 kDa
Product Form
Liquid
Formulation
Supplied in Phosphate Buffered Saline, pH 7.3, with 50% Glycerol and 0.02% Sodium Azide.
Storage
Shipped at 4°C. Upon delivery aliquot and store at -20°C. Avoid freeze / thaw cycles.
Synonyms
CYP-S1, CYPB, Peptidyl-prolyl cis-trans isomerase B, PPIase B, PPIB, Rotamase B, S-cyclophilin, SCYLP
Disclaimer
This product is for research use only. It is not intended for diagnostic or therapeutic use.

Alternative products to Anti-Cyclophilin B Antibody (A15850)

Proteins predicted to interact with Cyclophilin B

Predicted protein interactions based upon String database. Revelancy score correlates with probability of interaction.
99.9% Relevancy Score
99.6% Relevancy Score
99.4% Relevancy Score
99.4% Relevancy Score
98.7% Relevancy Score
96.6% Relevancy Score
95.5% Relevancy Score
95.5% Relevancy Score
94.3% Relevancy Score