Primary Antibodies
Secondary Antibodies
Proteins & Peptides
ELISA Kits
About Us
Contact Us
Sign In/Register
0
ISO 9001:2015 Certified
Live Customer Support
4.5/5 on Trustpilot
100% Quality Guarantee
Home
Primary Antibodies
CYFIP2 Antibodies
Anti-CYFIP2 Antibody (A36959)
Anti-CYFIP2 Antibody (A36959)
Overview
Specifications
Images
Enlarge Image
Enlarge Image
$645
Product Datasheet
Rabbit polyclonal antibody to CYFIP2 for WB and IHC.
100% Guarantee
Price Match Guarantee
Product Size:
100µl
Quantity:
1
2
3
4
5
6
7
8
9
10
Add To Cart
Request a Quotation
Custom or Bulk Request
Shipping Information
Freight/Packing Charges:
$40
Dispatched from St. Louis, MO.
Lead Time: 6-9 business days.
Specifications
Name
Anti-CYFIP2 Antibody
Description
Rabbit polyclonal antibody to CYFIP2
Applications
WB
,
IHC
Reactivity
Human
Immunogen
Recombinant protein fragment contain a sequence corresponding to a region within amino acids 346 and 610 of CYFIP2
Host
Rabbit
Clonality
Polyclonal
Conjugate
Unconjugated
Purification
Purified by antigen-affinity chromatography.
Formulation
Supplied in 0.1M Tris-buffered saline with 10% Glycerol (pH7.0). 0.01% Thimerosal was added as a preservative.
Storage
Shipped at 4°C. Upon delivery aliquot and store at -20°C. Avoid freeze/thaw cycles.
Synonyms
Cytoplasmic FMR1-interacting protein 2, KIAA1168, p53-inducible protein 121, PIR121
Suitable Secondaries
Goat Anti-Rabbit IgG H&L Antibody (AP) (A294874)
Goat Anti-Rabbit IgG H&L Antibody (Biotin) (A294795)
Goat Anti-Rabbit IgG H&L Antibody (FITC) (A294887)
Goat Anti-Rabbit IgG H&L Antibody (HRP) (A294888)
See all Anti-Rabbit IgG Secondaries →
Disclaimer
This product is for research use only. It is not intended for diagnostic or therapeutic use.
Scientific Validation Data
Validation Data
(2)
Enlarge Image
Anti-CYFIP2 Antibody (A36959)
Sample (30 µg of whole cell lysate) Molt-4 5% SDS PAGE Primary antibody diluted at 1: 1000
Enlarge Image
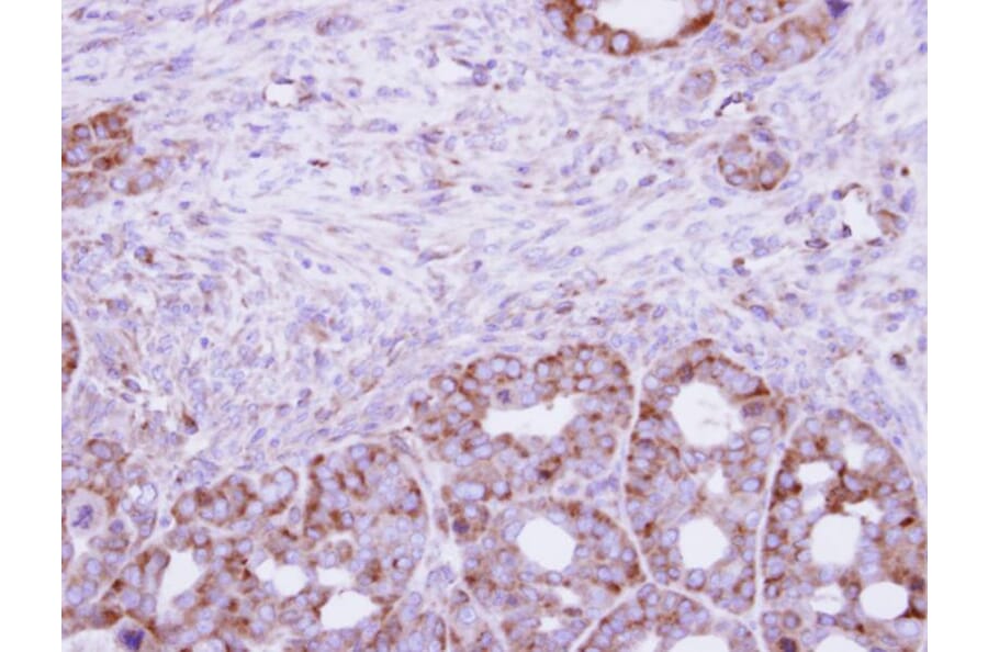
Immunohistochemistry - Anti-CYFIP2 Antibody (A36959)
Immunohistochemical analysis of paraffin-embedded NCIN87 xenograft, using CYFIP2 antibody at 1: 100 dilution.
Publishing research using Anti-CYFIP2 Antibody (A36959)? Please
let us know
so that we can list the citation on this page.
Alternative products to Anti-CYFIP2 Antibody (A36959)
(2)
A37215
Anti-CYFIP2 Antibody
Rabbit polyclonal antibody to CYFIP2 for WB and IHC.
(2)
A37215
Anti-CYFIP2 Antibody
Rabbit polyclonal antibody to CYFIP2 for WB and IHC.
Proteins predicted to interact with CYFIP2
Predicted protein interactions based upon String database. Revelancy score correlates with probability of interaction.
C3orf10 Antibodies
99.9% Relevancy Score
FMRP Antibodies
99.9% Relevancy Score
NCKAP1 Antibodies
99.9% Relevancy Score
WASF2 Antibodies
99.9% Relevancy Score
ABI1 Antibodies
99.9% Relevancy Score
FXR1 Antibodies
99.9% Relevancy Score
ABI2 Antibodies
99.9% Relevancy Score
FXR2 Antibodies
99.9% Relevancy Score
WAVE 1 Antibodies
99.9% Relevancy Score
Top