ISO 9001:2015 Certified
Live Customer Support
4.5/5 on Trustpilot
100% Quality Guarantee

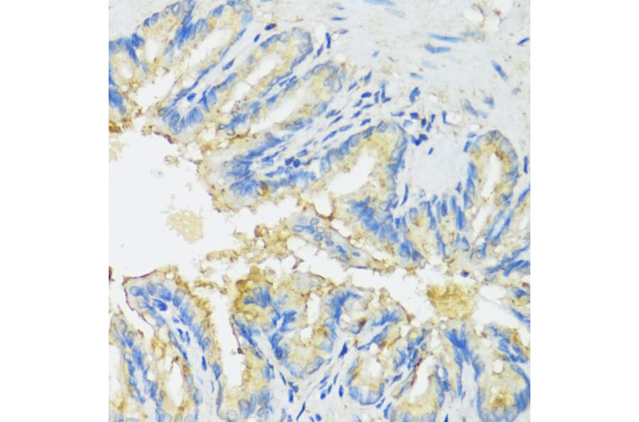
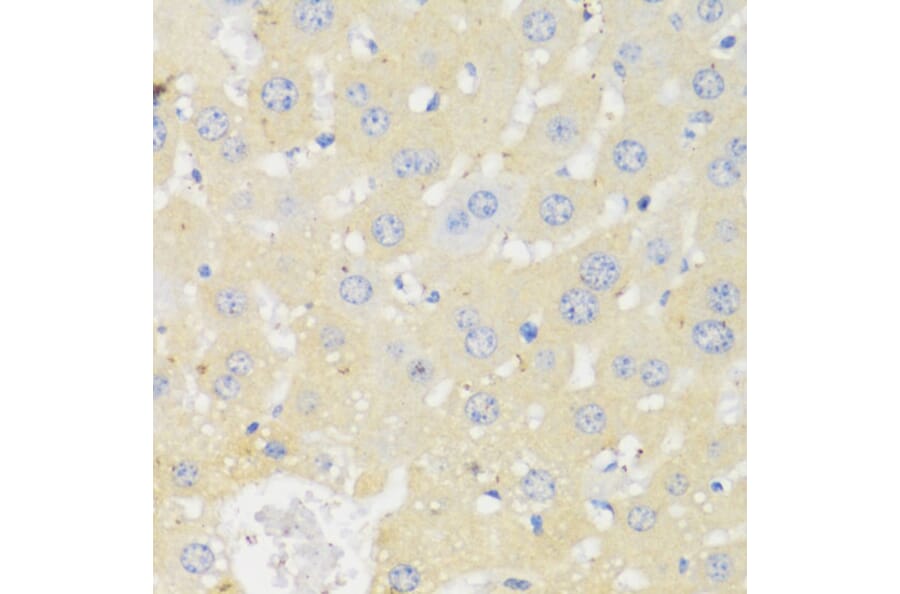
Anti-CYP11A1 Antibody (A90201)

Rabbit polyclonal antibody to CYP11A1 for WB, IHC and ICC/IF.

Shipping Information

$40
Dispatched from St. Louis, MO.
Lead Time: 7-10 business days.
Name
Anti-CYP11A1 Antibody
Description
Rabbit polyclonal antibody to CYP11A1.
Applications
WB, IHC, ICC/IF
Dilutions
WB: 1:500-1:1,000, IHC: 1:50-1:200, ICC/IF: 1:50-1:200
Reactivity
Human, Mouse, Rat
Immunogen
A synthetic peptide corresponding to a sequence within amino acids 1-100 of human CYP11A1 (NP_000772.2).
Sequence
MLAKGLPPRSVLVKGCQTFLSAPREGLGRLRVPTGEGAGISTRSPRPFNEIPSPGDNGWLNLYHFWRETGTHKVHLHHVQNFQKYGPIYREKLGNVESVY
Host
Rabbit
Clonality
Polyclonal
Isotype
IgG
Conjugate

Unconjugated

Purification
Affinity purification.
Concentration
Lot Specific
Molecular Weight
50 kDa
Product Form
Liquid
Formulation
Supplied in Phosphate Buffered Saline, pH 7.3, with 50% Glycerol and 0.01% Thiomersal.
Storage
Shipped at 4°C. Upon delivery aliquot and store at -20°C. Avoid freeze/thaw cycles.
Synonyms
Cholesterol desmolase, Cholesterol side-chain cleavage enzyme, mitochondrial, CYP11A, CYPXIA1, Cytochrome P450 11A1, Cytochrome P450(scc)
Disclaimer
This product is for research use only. It is not intended for diagnostic or therapeutic use.
Publishing research using Anti-CYP11A1 Antibody (A90201)? Please let us know so that we can list the citation on this page.

Alternative products to Anti-CYP11A1 Antibody (A90201)

Proteins predicted to interact with CYP11A1

Predicted protein interactions based upon String database. Revelancy score correlates with probability of interaction.
99.9% Relevancy Score
99.7% Relevancy Score
99.7% Relevancy Score
99.4% Relevancy Score
97.9% Relevancy Score
96.5% Relevancy Score
96.3% Relevancy Score
94.8% Relevancy Score
93.4% Relevancy Score