ISO 9001:2015 Certified
Live Customer Support
4.5/5 on Trustpilot
100% Quality Guarantee

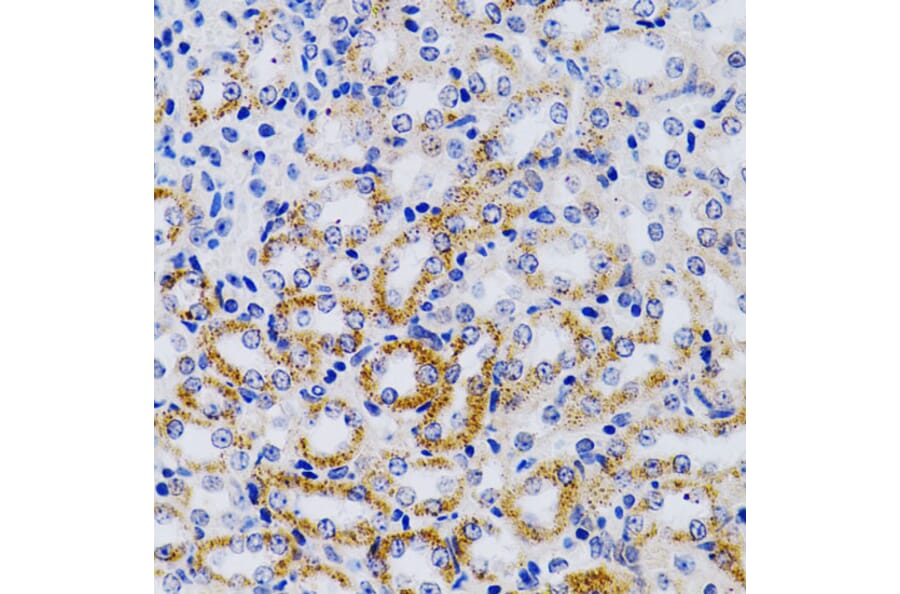
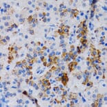
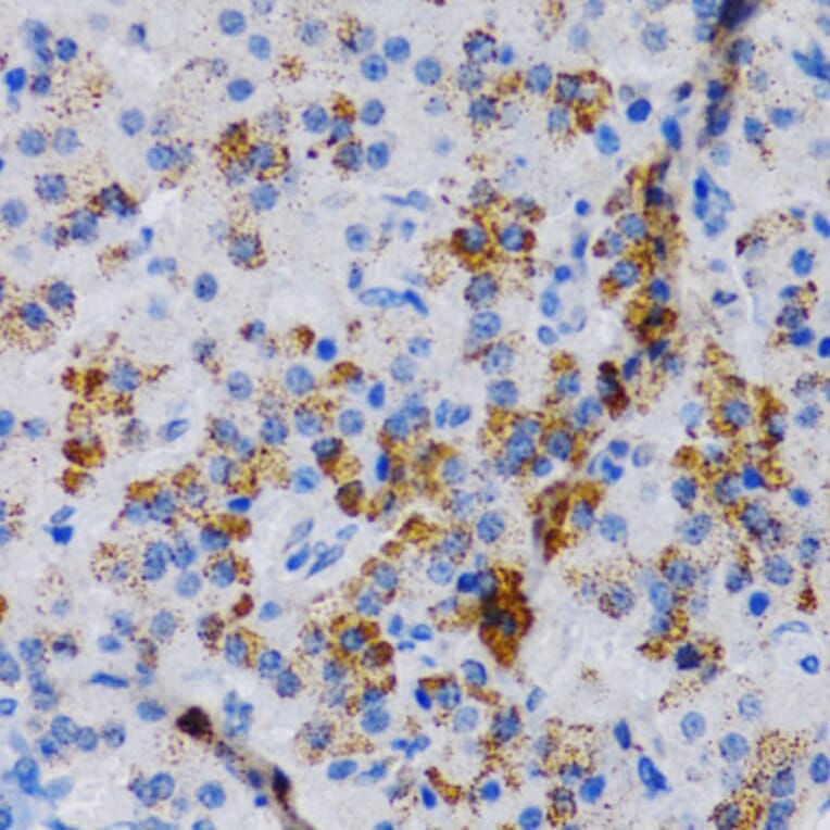
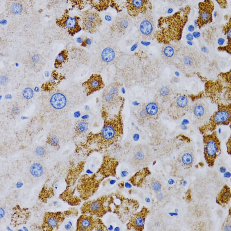
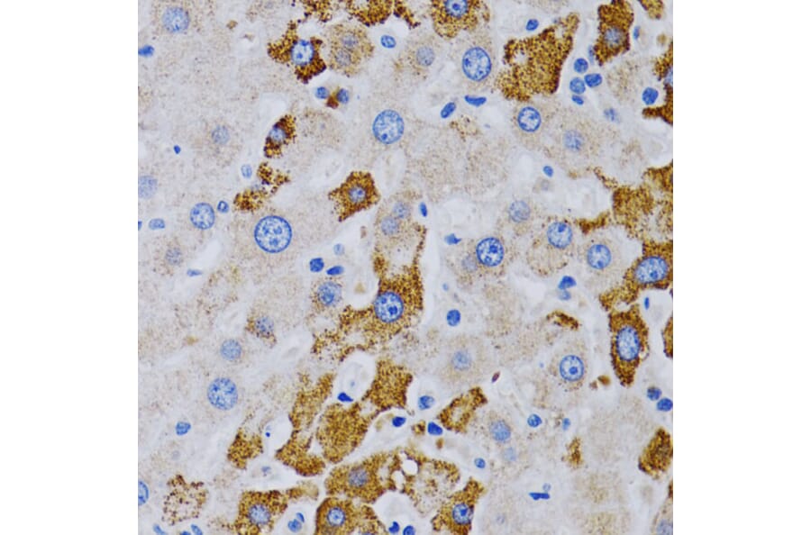
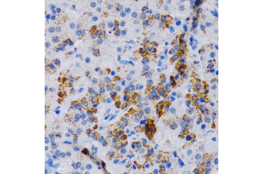
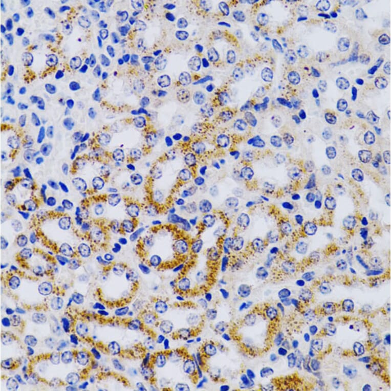
Anti-CYP24A1 Antibody (A13669)

Rabbit polyclonal antibody to CYP24A1 for WB and IHC.

Shipping Information

$40
Dispatched from St. Louis, MO.
Lead Time: 7-10 business days.
Name
Anti-CYP24A1 Antibody
Description
Rabbit polyclonal antibody to CYP24A1.
Applications
WB, IHC
Dilutions
WB: 1:500-1:1,000, IHC: 1:50-1:100
Reactivity
Human, Mouse, Rat
Immunogen
Recombinant fusion protein containing a sequence corresponding to amino acids 36-448 of human CYP24A1 (NP_001122387.1).
Sequence
PQPREVPVCPLTAGGETQNAAALPGPTSWPLLGSLLQILWKGGLKKQHDTLVEYHKKYGKIFRMKLGSFESVHLGSPCLLEALYRTESAYPQRLEIKPWKAYRDYRKEGYGLLILEGEDWQRVRSAFQKKLMKPGEVMKLDNKINEVLADFMGRIDELCDERGHVEDLYSELNKWSFESICLVLYEKRFGLLQKNAGDEAVNFIMAIKTMMSTFGRMMVTPVELHKSLNTKVWQDHTLAWDTIFKSVKACIDNRLEKYSQQPSADFLCDIYHQNRLSKKELYAAVTELQLAAVETTANSLMWILYNLSRNPQVQQKLLKEIQSVLPENQVPRAEDLRNMPYLKACLKESMRLTPSVPFTTRTLDKATVLGEYALPKGIVRKYDIQATDNEPVEMLHSGTLVPSRELPIAFCQR
Host
Rabbit
Clonality
Polyclonal
Isotype
IgG
Conjugate

Unconjugated

Purification
Affinity purification.
Concentration
Lot Specific
Molecular Weight
65 kDa
Product Form
Liquid
Formulation
Supplied in Phosphate Buffered Saline, pH 7.3, with 50% Glycerol and 0.02% Sodium Azide.
Storage
Shipped at 4°C. Upon delivery aliquot and store at -20°C. Avoid freeze/thaw cycles.
Synonyms
1,25-dihydroxyvitamin D(3) 24-hydroxylase, mitochondrial, 24-OHase, CYP24, Cytochrome P450 24A1, Cytochrome P450-CC24, Vitamin D(3) 24-hydroxylase
Disclaimer
This product is for research use only. It is not intended for diagnostic or therapeutic use.
Publishing research using Anti-CYP24A1 Antibody (A13669)? Please let us know so that we can list the citation on this page.

Alternative products to Anti-CYP24A1 Antibody (A13669)

Proteins predicted to interact with CYP24A1

Predicted protein interactions based upon String database. Revelancy score correlates with probability of interaction.
95.5% Relevancy Score
94.7% Relevancy Score
88.3% Relevancy Score
87.6% Relevancy Score
87.5% Relevancy Score
85.4% Relevancy Score
85% Relevancy Score
84.9% Relevancy Score