ISO 9001:2015 Certified
Live Customer Support
4.5/5 on Trustpilot
100% Quality Guarantee

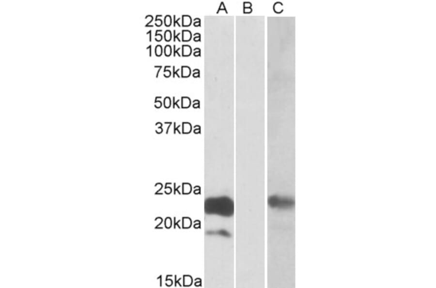
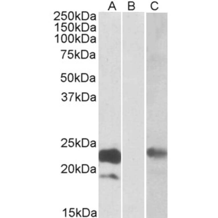
Anti-Cystatin 8 Antibody (A84765)

Goat polyclonal antibody to Cystatin 8 for ELISA and WB.

Shipping Information

$40
Dispatched from St. Louis, MO.
Lead Time: 7-10 business days.
Name
Anti-Cystatin 8 Antibody
Description
Goat polyclonal antibody to Cystatin 8.
Applications
ELISA, WB
Dilutions
ELISA: 1:64,000, WB: 0.1-0.3µg/ml
Reactivity
Human
Immunogen
Synthetic peptide corresponding to the internal region, amino acids 23-34, of human Cystatin 8.
Sequence
C-DPKKNETGVLRK
Host
Goat
Clonality
Polyclonal
Isotype
IgG
Conjugate

Unconjugated

Purification
Purified from goat serum by ammonium sulphate precipitation followed by antigen affinity chromatography using the immunizing peptide.
Concentration
500 µg/ml
Molecular Weight
23 kDa
Product Form
Liquid
Formulation
Supplied in Tris Buffered Saline, pH 7.3, with 0.5% BSA and 0.02% Sodium Azide.
Storage
Shipped at 4°C. Upon delivery aliquot and store at -20°C. Avoid freeze/thaw cycles.
Isotype Controls
Disclaimer
This product is for research use only. It is not intended for diagnostic or therapeutic use.
Publishing research using Anti-Cystatin 8 Antibody (A84765)? Please let us know so that we can list the citation on this page.