ISO 9001:2015 Certified
Live Customer Support
4.5/5 on Trustpilot
100% Quality Guarantee

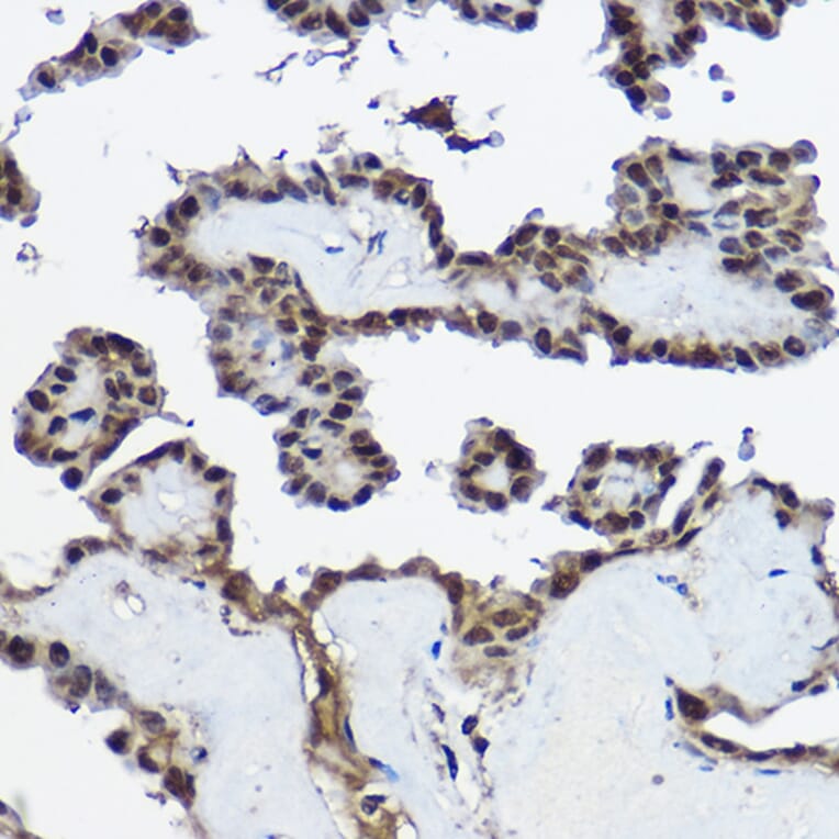
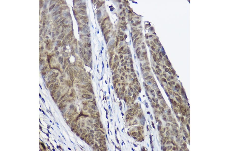
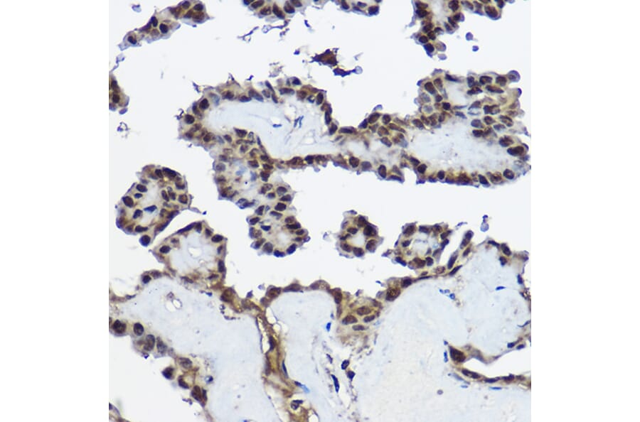
Anti-Cystatin-B Antibody (A307532)

Rabbit polyclonal antibody to Cystatin-B for WB and IHC.

Shipping Information

$40
Dispatched from St. Louis, MO.
Lead Time: 7-10 business days.
Name
Anti-Cystatin-B Antibody
Description
Rabbit polyclonal antibody to Cystatin-B.
Applications
WB, IHC
Dilutions
WB: 1:500-1:2,000, IHC: 1:50-1:200
Reactivity
Human
Immunogen
Recombinant fusion protein containing a sequence corresponding to amino acids 1-98 of human CSTB (NP_000091.1).
Sequence
MMCGAPSATQPATAETQHIADQVRSQLEEKENKKFPVFKAVSFKSQVVAGTNYFIKVHVGDEDFVHLRVFQSLPHENKPLTLSNYQTNKAKHDELTYF
Host
Rabbit
Clonality
Polyclonal
Isotype
IgG
Conjugate

Unconjugated

Purification
Affinity purification.
Concentration
Lot Specific
Product Form
Liquid
Formulation
Supplied in Phosphate Buffered Saline, pH 7.3, with 50% Glycerol and 0.02% Sodium Azide.
Storage
Shipped at 4°C. Upon delivery aliquot and store at -20°C. Avoid freeze/thaw cycles.
Synonyms
CPI-B, CST6, CSTB, Liver thiol proteinase inhibitor, Stefin-B, STFB
Disclaimer
This product is for research use only. It is not intended for diagnostic or therapeutic use.
Publishing research using Anti-Cystatin-B Antibody (A307532)? Please let us know so that we can list the citation on this page.

Alternative products to Anti-Cystatin-B Antibody (A307532)

Proteins predicted to interact with Cystatin B

Predicted protein interactions based upon String database. Revelancy score correlates with probability of interaction.
95.4% Relevancy Score
94.8% Relevancy Score
90.4% Relevancy Score
85.5% Relevancy Score
82.5% Relevancy Score
81.1% Relevancy Score
80.7% Relevancy Score
78.1% Relevancy Score
77.1% Relevancy Score