Western Blot - Anti-Cytokeratin 1 Antibody [ARC1745] (A306008)
Western blot analysis of extracts of various cell lines, using Anti-Cytokeratin 1 Antibody [ARC1745] (A306008) at 1:1,000 dilution. The secondary antibody was Goat Anti-Rabbit IgG H&L Antibody (HRP) at 1:10,000 dilution. Lysates/proteins were present at 25µg per lane. The blocking buffer used was 3% non-fat dry milk in TBST. Detection was with a ECL Basic Kit. Exposure time: 1s.
Western Blot - Anti-Cytokeratin 1 Antibody [ARC1745] (A306008)
Western blot analysis of extracts of A375 cells, using Anti-Cytokeratin 1 Antibody [ARC1745] (A306008) at 1:1,000 dilution. The secondary antibody was Goat Anti-Rabbit IgG H&L Antibody (HRP) at 1:10,000 dilution. Lysates/proteins were present at 25µg per lane. The blocking buffer used was 3% non-fat dry milk in TBST. Detection was with a ECL Basic Kit. Exposure time: 3min.
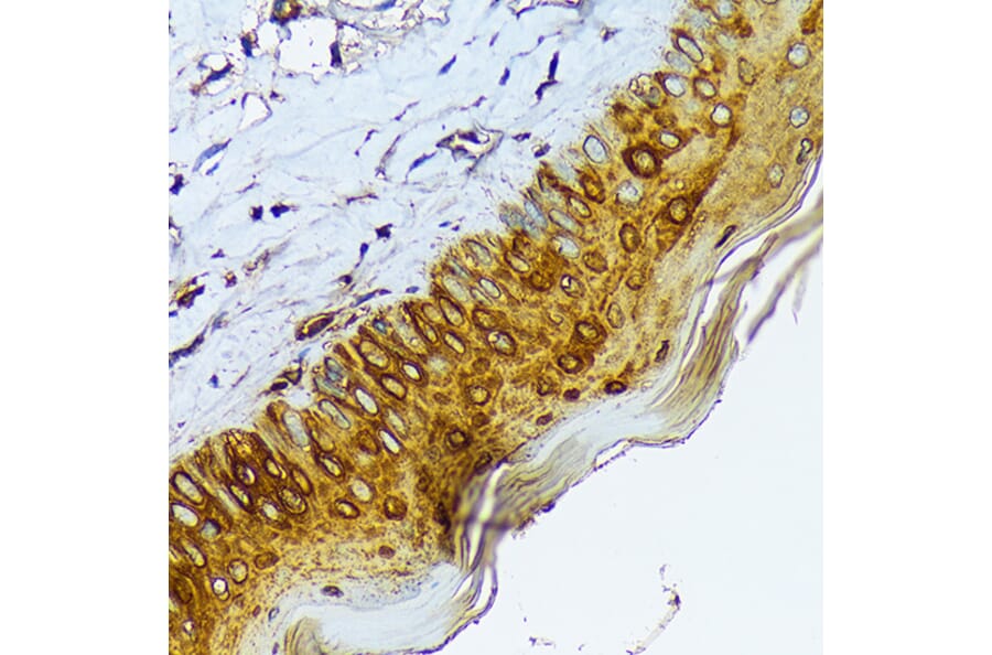
Immunohistochemistry analysis of paraffin-embedded rat skin using Anti-Cytokeratin 1 Antibody [ARC1745] (A306008) at a dilution of 1:100 (40x lens). Perform microwave antigen retrieval with 10 mM Tris/EDTA buffer pH 9.0 before commencing with IHC staining protocol.
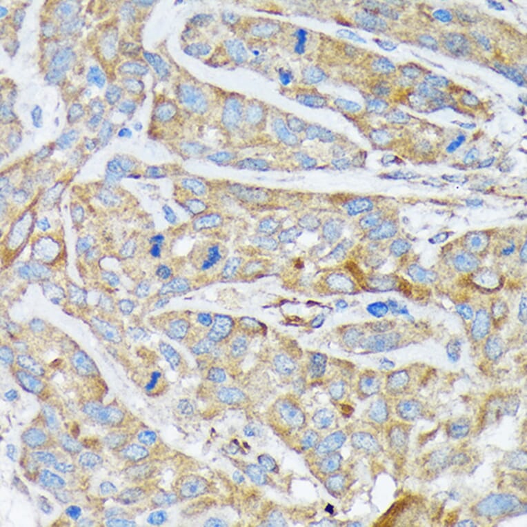
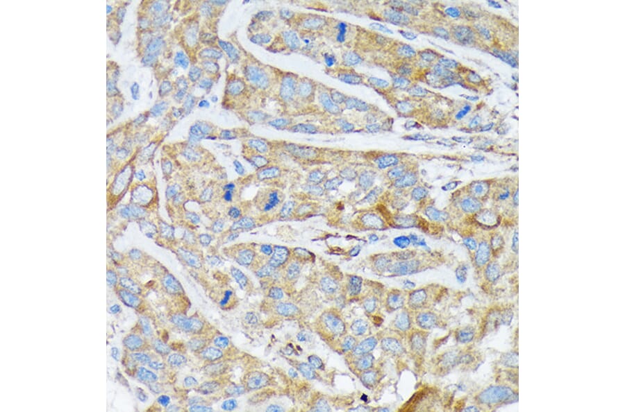
Immunohistochemistry analysis of paraffin-embedded human esophageal cancer using Anti-Cytokeratin 1 Antibody [ARC1745] (A306008) at a dilution of 1:100 (40x lens). Perform microwave antigen retrieval with 10 mM Tris/EDTA buffer pH 9.0 before commencing with IHC staining protocol.
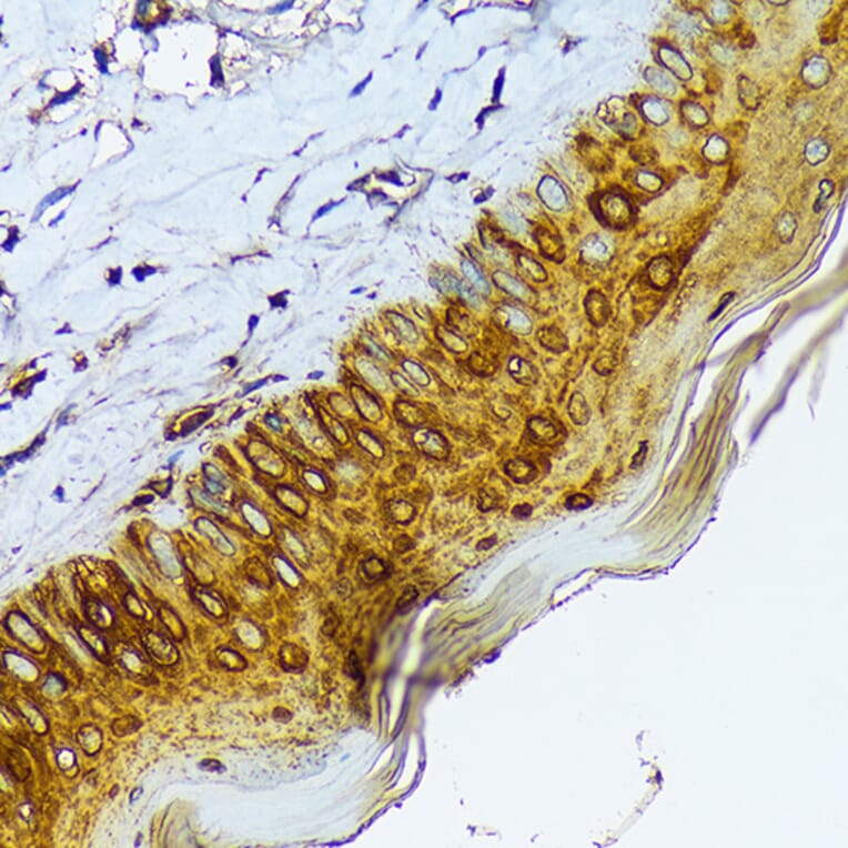
Immunohistochemistry analysis of paraffin-embedded mouse skin using Anti-Cytokeratin 1 Antibody [ARC1745] (A306008) at a dilution of 1:100 (40x lens). Perform microwave antigen retrieval with 10 mM Tris/EDTA buffer pH 9.0 before commencing with IHC staining protocol.
Immunofluorescence analysis of rat skin using Anti-Cytokeratin 1 Antibody [ARC1745] (A306008) at a dilution of 1:100 (40x lens). DAPI was used to stain the cell nuclei (blue).
Immunofluorescence analysis of human skin using Anti-Cytokeratin 1 Antibody [ARC1745] (A306008) at a dilution of 1:100 (40x lens). DAPI was used to stain the cell nuclei (blue).
Immunofluorescence analysis of mouse tail and ear using Anti-Cytokeratin 1 Antibody [ARC1745] (A306008) at a dilution of 1:100 (40x lens). DAPI was used to stain the cell nuclei (blue).