ISO 9001:2015 Certified
Live Customer Support
4.5/5 on Trustpilot
100% Quality Guarantee

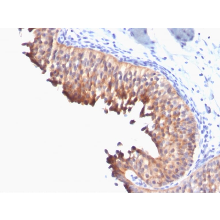
Anti-Cytokeratin 10 Antibody [DE-K10] - BSA and Azide free (A252342)

Mouse monoclonal [DE-K10] antibody to Cytokeratin 10 for IHC-P.

Alternative Formats and ConjugatesAlternative Formats

Shipping Information

$40
Dispatched from St. Louis, MO.
Lead Time: 5-8 business days.
Name
Anti-Cytokeratin 10 Antibody [DE-K10] - BSA and Azide free
Description
Mouse monoclonal [DE-K10] antibody to Cytokeratin 10.
Specificity
This antibody recognizes a protein of 56.5kDa, identified as cytokeratin 10 (CK10). CK10 is expressed in all suprabasal layers of the epidermis. In the epidermis, expression of CK10 strictly parallels the extent of differentiation; it is absent in the basal layer, appears in the first suprabasal layers and increases in concentration towards the granular layer. However, CK10 is rarely detected in early stages of vulvar squamous carcinomas (tumors less than 2 cm, clinical stage I) regardless of the tumor grade. In larger and more advanced tumors (greater than 2 cm, clinical stages II and III), CK10 is detected very frequently. Expression of CK10 is related to maturation of malignant keratinocytes, being preferentially detected in more-differentiated parts.
Applications
IHC-P
Dilutions
IHC-P: 1-2 µg/ml
Reactivity
Human, Canine, Feline
Immunogen
Cytoskeletal preparation extracted from human ectocervical epithelium.
Host
Mouse
Clonality
Monoclonal
Clone ID
DE-K10
Isotype
IgG1
Light Chains
kappa
Conjugate

Unconjugated

Purification
Protein A/G chromatography.
Concentration
1 mg/ml
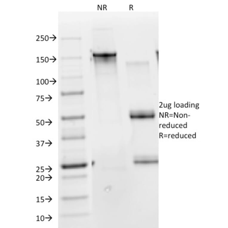
Molecular Weight
56.5 kDa
Product Form
Liquid
Formulation
Supplied in 10mM Phosphate Buffered Saline; without Sodium Azide and carrier free.
Storage
Shipped at 4°C. Upon delivery aliquot and store at -20°C. Avoid freeze / thaw cycles.
General Notes
This monoclonal antibody is also available in a different formulation with BSA and Sodium Azide - Anti-Cytokeratin 10 Antibody [DE-K10] (A249162).
Synonyms
CK-10, Cytokeratin-10, K10, Keratin, type I cytoskeletal 10, Keratin-10, KPP, KRT10
Disclaimer
This product is for research use only. It is not intended for diagnostic or therapeutic use.
Publishing research using Anti-Cytokeratin 10 Antibody [DE-K10] - BSA and Azide free (A252342)? Please let us know so that we can list the citation on this page.

Alternative products to Anti-Cytokeratin 10 Antibody [DE-K10] - BSA and Azide free (A252342)

Proteins predicted to interact with Cytokeratin 10

Predicted protein interactions based upon String database. Revelancy score correlates with probability of interaction.
99.9% Relevancy Score
93.3% Relevancy Score
93.2% Relevancy Score
90.4% Relevancy Score
80.4% Relevancy Score
79.3% Relevancy Score
78.8% Relevancy Score
78% Relevancy Score
73.1% Relevancy Score