Primary Antibodies
Secondary Antibodies
Proteins & Peptides
ELISA Kits
About Us
Contact Us
Sign In/Register
0
ISO 9001:2015 Certified
Live Customer Support
4.5/5 on Trustpilot
100% Quality Guarantee
Home
Primary Antibodies
Cytokeratin 16 Antibodies
Anti-Cytokeratin 16 Antibody [SPM264] (A249186)
Anti-Cytokeratin 16 Antibody [SPM264] (A249186)
Overview
Specifications
Images
Enlarge Image
$545
Product Datasheet
Mouse monoclonal [SPM264] antibody to Cytokeratin 16 for Flow Cytometry, IF, WB and IHC.
100% Guarantee
Price Match Guarantee
Product Size:
100µg
Quantity:
1
2
3
4
5
6
7
8
9
10
Add To Cart
Request a Quotation
Custom or Bulk Request
Alternative Formats and Conjugates
Alternative Formats
Carrier Free and Preservative Free
Shipping Information
Freight/Packing Charges:
$40
Dispatched from St. Louis, MO.
Lead Time: 5-8 business days.
Tags:
Epithelial Cell Marker
Specifications
Name
Anti-Cytokeratin 16 Antibody [SPM264]
Description
Mouse monoclonal [SPM264] antibody to Cytokeratin 16.
Applications
Flow Cytometry
,
IF
,
WB
,
IHC
Dilutions
Flow Cytometry: 1-2 µg/million cells, IF: 1-2 µg/ml, WB: 1-2 µg/ml, IHC: 1-2 µg/ml
Reactivity
Human
Immunogen
Recombinant fragment from the C terminal of human Cytokeratin 16.
Host
Mouse
Clonality
Monoclonal
Clone ID
SPM264
Isotype
IgG1
Light Chains
kappa
Conjugate
Unconjugated
Purification
Protein A/G chromatography.
Concentration
200 µg/ml
Molecular Weight
48 kDa
Product Form
Liquid
Formulation
Supplied in 10mM Phosphate Buffered Saline with 0.05% BSA and 0.05% Sodium Azide.
Storage
Shipped at 4°C. Upon delivery aliquot and store at -20°C. Avoid freeze / thaw cycles.
General Notes
This monoclonal antibody is also available in a different formulation without BSA and Sodium Azide -
Anti-Cytokeratin 16 Antibody [SPM264] - BSA and Azide free (A252366)
.
Synonyms
CK-16, Cytokeratin-16, K16, Keratin, type I cytoskeletal 16, Keratin-16, KRT16, KRT16A
Isotype Controls
Mouse IgG1 [PPV-06] (A86755)
Mouse IgG1 [MOPC-21] (A86202)
Mouse IgG1 [MOPC-21] - BSA and Azide Free (A86206)
Suitable Secondaries
Goat Anti-Mouse IgG H&L Antibody (AP) (A301438)
Goat Anti-Mouse IgG H&L Antibody (Biotin) (A301439)
Goat Anti-Mouse IgG H&L Antibody (FITC) (A301669)
Goat Anti-Mouse IgG H&L Antibody (HRP) (A301445)
See all Anti-Mouse IgG Secondaries →
Disclaimer
This product is for research use only. It is not intended for diagnostic or therapeutic use.
Scientific Validation Data
Validation Data
(1)
Enlarge Image
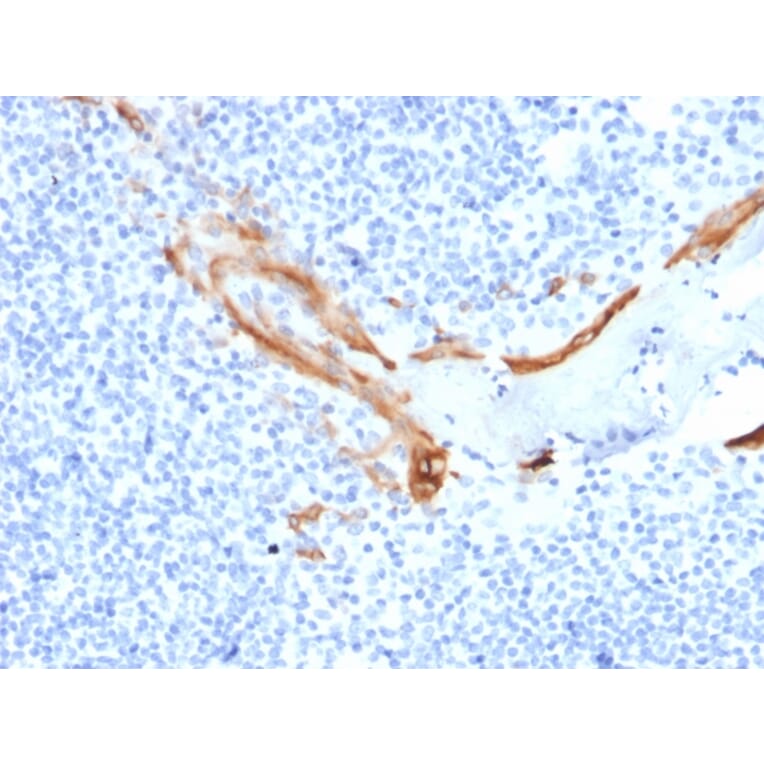
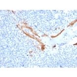
Immunohistochemistry - Anti-Cytokeratin 16 Antibody [SPM264] (A249186)
Immunohistochemical analysis of formalin-fixed, paraffin-embedded human tonsil using Anti-Cytokeratin 16 Antibody [SPM264].
Publishing research using Anti-Cytokeratin 16 Antibody [SPM264] (A249186)? Please
let us know
so that we can list the citation on this page.
Alternative products to Anti-Cytokeratin 16 Antibody [SPM264] (A249186)
(2)
A25230
Anti-Cytokeratin 16 (S451) Antibody
Rabbit polyclonal antibody to Cytokeratin 16 (S451) for WB and IHC.
(2)
A48124
Anti-KRT16 Antibody
Rabbit polyclonal antibody to KRT16 for E, WB and IHC.
A252366
Anti-Cytokeratin 16 Antibody [SPM264] - BSA and Azide free
Mouse monoclonal [SPM264] antibody to Cytokeratin 16 for Flow Cytometry, IF, WB and IHC.
A8220
Anti-Cytokeratin 16 Antibody [R20-S]
Rabbit monoclonal (R20-S) antibody to Cytokeratin 16 for IHC-P and IHC-Fr.
(2)
A249187
Anti-Cytokeratin 16 Antibody [rKRT16/1714]
Recombinant mouse monoclonal [rKRT16/1714] antibody to Cytokeratin 16 for IHC-P.
(2)
A252367
Anti-Cytokeratin 16 Antibody [rKRT16/1714] - BSA and Azide free
Recombinant mouse monoclonal [rKRT16/1714] antibody to Cytokeratin 16 for IHC-P.
(2)
A249188
Anti-Cytokeratin 16 Antibody [KRT16/2043R]
Recombinant rabbit monoclonal [KRT16/2043R] antibody to Cytokeratin 16 for IHC-P.
(2)
A252368
Anti-Cytokeratin 16 Antibody [KRT16/2043R] - BSA and Azide free
Recombinant rabbit monoclonal [KRT16/2043R] antibody to Cytokeratin 16 for IHC-P.
(2)
A249184
Anti-Cytokeratin 16 Antibody [LL025]
Mouse monoclonal [LL025] antibody to Cytokeratin 16 for IHC-P.
(2)
A252364
Anti-Cytokeratin 16 Antibody [LL025] - BSA and Azide free
Mouse monoclonal [LL025] antibody to Cytokeratin 16 for IHC-P.
(2)
A249185
Anti-Cytokeratin 16 Antibody [KRT16/1714]
Mouse monoclonal [KRT16/1714] antibody to Cytokeratin 16 for IHC-P.
(2)
A252365
Anti-Cytokeratin 16 Antibody [KRT16/1714] - BSA and Azide free
Mouse monoclonal [KRT16/1714] antibody to Cytokeratin 16 for IHC-P.
(2)
A25230
Anti-Cytokeratin 16 (S451) Antibody
Rabbit polyclonal antibody to Cytokeratin 16 (S451) for WB and IHC.
(2)
A48124
Anti-KRT16 Antibody
Rabbit polyclonal antibody to KRT16 for E, WB and IHC.
A252366
Anti-Cytokeratin 16 Antibody [SPM264] - BSA and Azide free
Mouse monoclonal [SPM264] antibody to Cytokeratin 16 for Flow Cytometry, IF, WB and IHC.
A8220
Anti-Cytokeratin 16 Antibody [R20-S]
Rabbit monoclonal (R20-S) antibody to Cytokeratin 16 for IHC-P and IHC-Fr.
(2)
A249187
Anti-Cytokeratin 16 Antibody [rKRT16/1714]
Recombinant mouse monoclonal [rKRT16/1714] antibody to Cytokeratin 16 for IHC-P.
(2)
A252367
Anti-Cytokeratin 16 Antibody [rKRT16/1714] - BSA and Azide free
Recombinant mouse monoclonal [rKRT16/1714] antibody to Cytokeratin 16 for IHC-P.
(2)
A249188
Anti-Cytokeratin 16 Antibody [KRT16/2043R]
Recombinant rabbit monoclonal [KRT16/2043R] antibody to Cytokeratin 16 for IHC-P.
(2)
A252368
Anti-Cytokeratin 16 Antibody [KRT16/2043R] - BSA and Azide free
Recombinant rabbit monoclonal [KRT16/2043R] antibody to Cytokeratin 16 for IHC-P.
(2)
A249184
Anti-Cytokeratin 16 Antibody [LL025]
Mouse monoclonal [LL025] antibody to Cytokeratin 16 for IHC-P.
(2)
A252364
Anti-Cytokeratin 16 Antibody [LL025] - BSA and Azide free
Mouse monoclonal [LL025] antibody to Cytokeratin 16 for IHC-P.
(2)
A249185
Anti-Cytokeratin 16 Antibody [KRT16/1714]
Mouse monoclonal [KRT16/1714] antibody to Cytokeratin 16 for IHC-P.
(2)
A252365
Anti-Cytokeratin 16 Antibody [KRT16/1714] - BSA and Azide free
Mouse monoclonal [KRT16/1714] antibody to Cytokeratin 16 for IHC-P.
See all Cytokeratin 16 Antibodies
Proteins predicted to interact with Cytokeratin 16
Predicted protein interactions based upon String database. Revelancy score correlates with probability of interaction.
KRT6B Antibodies
93.8% Relevancy Score
Cytokeratin 6A Antibodies
92.8% Relevancy Score
Cytokeratin 17 Antibodies
88% Relevancy Score
Cytokeratin 14 Antibodies
86.8% Relevancy Score
Cytokeratin 5 Antibodies
86.1% Relevancy Score
S100A7 Antibodies
81.8% Relevancy Score
Cytokeratin 10 Antibodies
78.8% Relevancy Score
Filaggrin Antibodies
68.2% Relevancy Score
Involucrin Antibodies
67.7% Relevancy Score
Top