ISO 9001:2015 Certified
Live Customer Support
4.5/5 on Trustpilot
100% Quality Guarantee

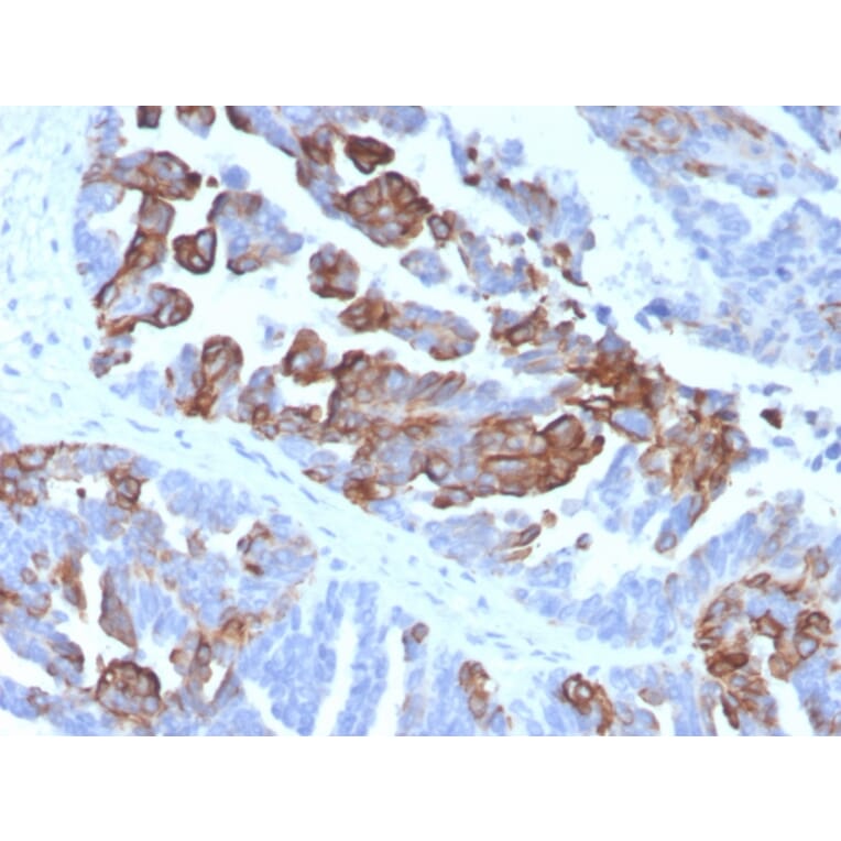
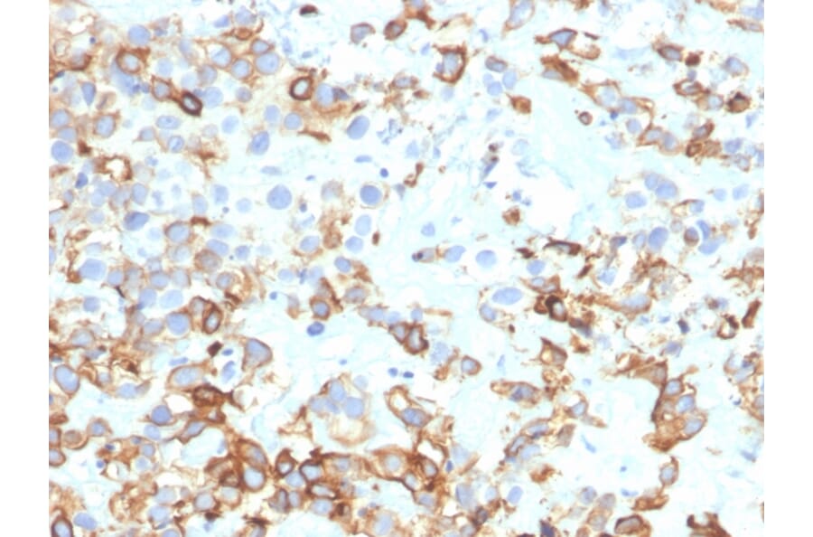
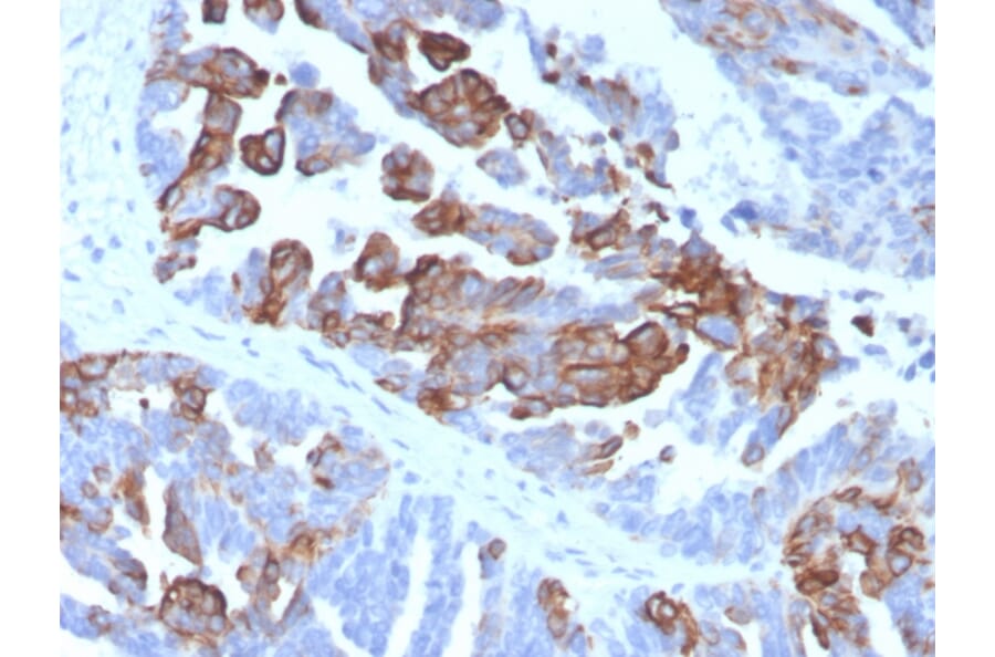
Anti-Cytokeratin 17 Antibody [KRT17/4604] - BSA and Azide free (A278276)

Mouse monoclonal [KRT17/4604] antibody to Cytokeratin 17 for IHC-P.

Alternative Formats and ConjugatesAlternative Formats

Shipping Information

$40
Dispatched from St. Louis, MO.
Lead Time: 5-8 business days.
Name
Anti-Cytokeratin 17 Antibody [KRT17/4604] - BSA and Azide free
Description
Mouse monoclonal [KRT17/4604] antibody to Cytokeratin 17.
Specificity
Cytokeratin 17 (CK17) is normally expressed in the basal cells of complex epithelia but not in stratified or simple epithelia. Antibody to CK17 is an excellent tool to distinguish myoepithelial cells from luminal epithelium of various glandssuch as mammary, sweat and salivary. CK17 is expressed in epithelial cells of various origins, such as bronchial epithelial cells and skin appendages. It may be considered as epithelial stem cell marker because CK17 Ab marks basal cell differentiation. CK17 is expressed in SCLC much higher than in LADC. Eighty-five percent of the triple negative breast carcinomas immunoreact with basal cytokeratins including anti-CK17. Also important is that cases of triple negative breast carcinoma with expression of CK17 show an aggressive clinical course. Additionally, anti-CK17 and anti-MUC1 immunoreactivity represents pancreatobiliary subtype whereas anti-MUC2 and anti-CDX-2 positivity defines intestinal subtype.
Applications
IHC-P
Dilutions
IHC-P: 1-2 µg/ml
Reactivity
Human
Immunogen
Recombinant full-length human Cytokeratin 17.
Host
Mouse
Clonality
Monoclonal
Clone ID
KRT17/4604
Isotype
IgG1
Light Chains
kappa
Conjugate

Unconjugated

Purification
Protein A/G chromatography.
Concentration
1 mg/ml
Molecular Weight
46 kDa
Product Form
Liquid
Formulation
Supplied in 10mM Phosphate Buffered Saline; without Sodium Azide and carrier free.
Storage
Shipped at 4°C. Upon delivery aliquot and store at -20°C. Avoid freeze / thaw cycles.
General Notes
This monoclonal antibody is also available in a different formulation with BSA and Sodium Azide - Anti-Cytokeratin 17 Antibody [KRT17/4604] (A277688).
Synonyms
39.1, CK-17, Cytokeratin-17, K17, Keratin, type I cytoskeletal 17, Keratin-17, KRT17
Disclaimer
This product is for research use only. It is not intended for diagnostic or therapeutic use.
Publishing research using Anti-Cytokeratin 17 Antibody [KRT17/4604] - BSA and Azide free (A278276)? Please let us know so that we can list the citation on this page.

Alternative products to Anti-Cytokeratin 17 Antibody [KRT17/4604] - BSA and Azide free (A278276)

Proteins predicted to interact with Cytokeratin 17

Predicted protein interactions based upon String database. Revelancy score correlates with probability of interaction.
96.7% Relevancy Score
89.8% Relevancy Score
88% Relevancy Score
87.4% Relevancy Score
86.6% Relevancy Score
81.4% Relevancy Score
81.1% Relevancy Score
77.2% Relevancy Score
68.6% Relevancy Score