ISO 9001:2015 Certified
Live Customer Support
4.5/5 on Trustpilot
100% Quality Guarantee

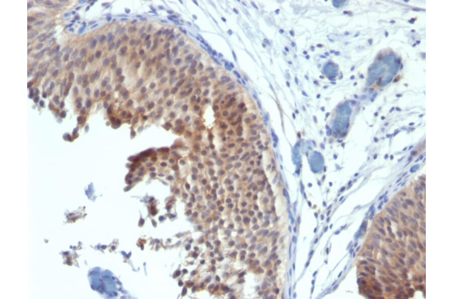
Anti-Cytokeratin 6 Antibody [SPM269] (A249128)

Mouse monoclonal [SPM269] antibody to Cytokeratin 6 for Flow Cytometry, IF and IHC-P.

Alternative Formats and ConjugatesAlternative Formats

Shipping Information

$40
Dispatched from St. Louis, MO.
Lead Time: 5-8 business days.
Name
Anti-Cytokeratin 6 Antibody [SPM269]
Description
Mouse monoclonal [SPM269] antibody to Cytokeratin 6.
Specificity
This antibody recognizes a protein of 56kDa, identified as cytokeratin 6 (CK6). In humans, multiple isoforms of Cytokeratin 6 (6A-6F), encoded by several highly homologous genes, have distinct tissue expression patterns, and Cytokeratin 6A is the dominant form in epithelial tissue. The gene encoding human Cytokeratin 6A maps to chromosome 12q13, and mutations in this gene are linked to several inheritable hair and skin pathologies. Keratins 6 and 16 are expressed in keratinocytes, which are undergoing rapid turnover in the suprabasal region (also known as hyper-proliferation-related keratins). Keratin 6 is found in hair follicles, suprabasal cells of a variety of internal stratified epithelia, in epidermis, in both normal and hyper-proliferative situations. Epidermal injury results in activation of keratinocytes, which express CK6 and CK16. CK6 is strongly expressed in about 75% of head and neck squamous cell carcinomas. Expression of CK6 is particularly associated with differentiation.
Applications
Flow Cytometry, IF, IHC-P
Dilutions
Flow Cytometry: 1-2 µg/million cells, IF: 1-2 µg/ml, IHC-P: 1-2 µg/ml
Reactivity
Human, Mouse
Immunogen
Synthetic peptide corresponding to the C terminus of human Keratin 6.
Sequence
GSSTIKYTTTS
Host
Mouse
Clonality
Monoclonal
Clone ID
SPM269
Isotype
IgG2a
Light Chains
kappa
Conjugate

Unconjugated

Purification
Protein A/G chromatography.
Concentration
200 µg/ml
Molecular Weight
56 kDa
Product Form
Liquid
Formulation
Supplied in 10mM Phosphate Buffered Saline with 0.05% BSA and 0.05% Sodium Azide.
Storage
Shipped at 4°C. Upon delivery aliquot and store at -20°C. Avoid freeze / thaw cycles.
General Notes
This monoclonal antibody is also available in a different formulation without BSA and Sodium Azide - Anti-Cytokeratin 6 Antibody [SPM269] - BSA and Azide free (A252308).
Synonyms
CK-6C, CK-6E, Cytokeratin-6C, Cytokeratin-6E, K6C, Keratin K6h, Keratin, type II cytoskeletal 6C, Keratin-6C, KRT6C, KRT6E, Type-II keratin Kb12
Disclaimer
This product is for research use only. It is not intended for diagnostic or therapeutic use.
Publishing research using Anti-Cytokeratin 6 Antibody [SPM269] (A249128)? Please let us know so that we can list the citation on this page.

Alternative products to Anti-Cytokeratin 6 Antibody [SPM269] (A249128)

Proteins predicted to interact with Cytokeratin 6

Predicted protein interactions based upon String database. Revelancy score correlates with probability of interaction.
77.2% Relevancy Score
72.3% Relevancy Score
71% Relevancy Score
58% Relevancy Score
57.6% Relevancy Score
55.4% Relevancy Score
53.2% Relevancy Score
50.3% Relevancy Score
50.2% Relevancy Score