ISO 9001:2015 Certified
Live Customer Support
4.5/5 on Trustpilot
100% Quality Guarantee

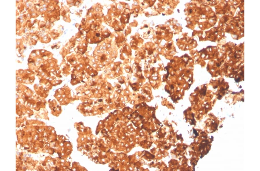
Recombinant Anti-Cytokeratin 6A Antibody [rKRT6A/2100] - BSA and Azide free (A252311)

Recombinant mouse monoclonal [rKRT6A/2100] antibody to Cytokeratin 6A for IHC-P.

Alternative Formats and ConjugatesAlternative Formats

Shipping Information

$40
Dispatched from St. Louis, MO.
Lead Time: 5-8 business days.
Name
Anti-Cytokeratin 6A Antibody [rKRT6A/2100] - BSA and Azide free
Description
Recombinant mouse monoclonal [rKRT6A/2100] antibody to Cytokeratin 6A.
Specificity
This antibody recognizes a protein of 56kDa, identified as cytokeratin 6A (KRT6A). In humans, multiple isoforms of Cytokeratin 6 (6A-6F), encoded by several highly homologous genes, have distinct tissue expression patterns. Cytokeratin 6A is the dominant form in epithelial tissue. Cytokeratin 6 and 16 are expressed in keratinocytes, which are undergoing rapid turnover in the suprabasal region (also known as hyper-proliferation-related keratins). Cytokeratin 6 is found in hair follicles, suprabasal cells of a variety of internal stratified epithelia, in epidermis, in both normal and hyper-proliferative situations. Epidermal injury results in activation of keratinocytes, which express KRT6 and KRT16. KRT6 is strongly expressed in about 75% of head and neck squamous cell carcinomas.
Applications
IHC-P
Dilutions
IHC-P: 1-2 µg/ml
Reactivity
Human
Immunogen
Recombinant full-length human Cytokeratin 6A protein.
Host
Mouse
Clonality
Monoclonal
Clone ID
rKRT6A/2100
Isotype
IgG1
Light Chains
kappa
Conjugate

Unconjugated

Purification
Protein A/G chromatography.
Concentration
1 mg/ml
Molecular Weight
58 kDa
Product Form
Liquid
Formulation
Supplied in 10mM Phosphate Buffered Saline; without Sodium Azide and carrier free.
Storage
Shipped at 4°C. Upon delivery aliquot and store at -20°C. Avoid freeze / thaw cycles.
General Notes
This monoclonal antibody is also available in a different formulation with BSA and Sodium Azide - Anti-Cytokeratin 6A Antibody [rKRT6A/2100] (A249131).
Synonyms
CK-6A, CK-6D, Cytokeratin-6A, Cytokeratin-6D, K6A, Keratin, type II cytoskeletal 6A, Keratin-6A, KRT6A, KRT6D, Type-II keratin Kb6
Disclaimer
This product is for research use only. It is not intended for diagnostic or therapeutic use.
Publishing research using Recombinant Anti-Cytokeratin 6A Antibody [rKRT6A/2100] - BSA and Azide free (A252311)? Please let us know so that we can list the citation on this page.

Alternative products to Anti-Cytokeratin 6A Antibody [rKRT6A/2100] - BSA and Azide free (A252311)

Proteins predicted to interact with Cytokeratin 6A

Predicted protein interactions based upon String database. Revelancy score correlates with probability of interaction.
92.8% Relevancy Score
91.5% Relevancy Score
90% Relevancy Score
88.6% Relevancy Score
81.1% Relevancy Score
76.6% Relevancy Score
73.2% Relevancy Score
73.2% Relevancy Score
71% Relevancy Score