Primary Antibodies
Secondary Antibodies
Proteins & Peptides
ELISA Kits
About Us
Contact Us
Sign In/Register
0
ISO 9001:2015 Certified
Live Customer Support
4.5/5 on Trustpilot
100% Quality Guarantee
Home
Primary Antibodies
Anti-D-Dimer Antibody [IHC085] (A324585)
Anti-D-Dimer Antibody [IHC085] (A324585)
Overview
Specifications
Images
Enlarge Image
$415
Product Datasheet
Mouse monoclonal [IHC085] antibody to D-Dimer for IHC-P.
100% Guarantee
Price Match Guarantee
Product Size:
100µl
Quantity:
1
2
3
4
5
6
7
8
9
10
Add To Cart
Request a Quotation
Custom or Bulk Request
Shipping Information
Freight/Packing Charges:
$40
Dispatched from St. Louis, MO.
Lead Time: 7-10 business days.
Specifications
Name
Anti-D-Dimer Antibody [IHC085]
Description
Mouse monoclonal [IHC085] antibody to D-Dimer.
Applications
IHC-P
Positive Control
Glioma
Dilutions
IHC-P: 1:50-1:100
Reactivity
Human
Host
Mouse
Clonality
Monoclonal
Clone ID
IHC085
Isotype
IgG
Conjugate
Unconjugated
Concentration
Lot Specific
Product Form
Liquid
Formulation
Supplied in Tris Buffered Saline, pH 7.3-7.7, with 1% BSA and < 0.1% Sodium Azide.
Storage
Shipped at 4°C. Store at 4°C.
Synonyms
D Dimer
Isotype Controls
Mouse IgG (A17361)
Suitable Secondaries
Goat Anti-Mouse IgG H&L Antibody (AP) (A301438)
Goat Anti-Mouse IgG H&L Antibody (Biotin) (A301439)
Goat Anti-Mouse IgG H&L Antibody (FITC) (A301669)
Goat Anti-Mouse IgG H&L Antibody (HRP) (A301445)
See all Anti-Mouse IgG Secondaries →
Disclaimer
This product is for research use only. It is not intended for diagnostic or therapeutic use.
Scientific Validation Data
Validation Data
(1)
Enlarge Image
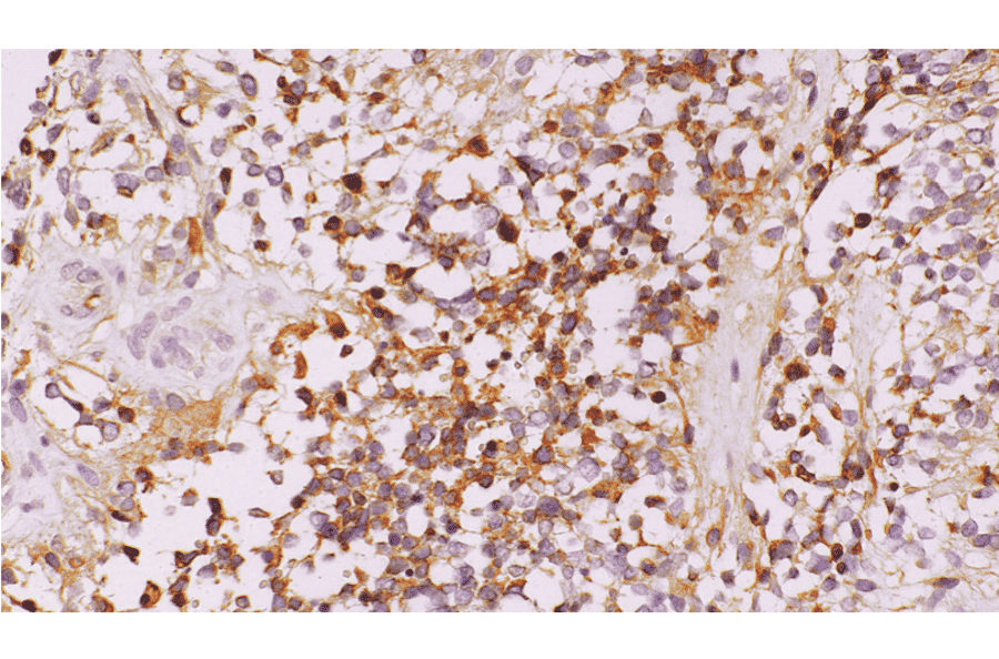
Immunohistochemistry - Anti-D-Dimer Antibody [IHC085] (A324585)
Immunohistochemical analysis of formalin-fixed, pariffin-embedded human glioma tissue using Anti-D-Dimer Antibody [IHC085] (A324585).
Publishing research using Anti-D-Dimer Antibody [IHC085] (A324585)? Please
let us know
so that we can list the citation on this page.
Alternative products to Anti-D-Dimer Antibody [IHC085] (A324585)
A334595
Anti-D-Dimer Antibody [33B10]
Recombinant mouse monoclonal [33B10] antibody to D-Dimer for ELISA, CLIA, FIA and GICA.
A334596
Anti-D-Dimer Antibody [21B2]
Recombinant mouse monoclonal [21B2] antibody to D-Dimer for ELISA, CLIA, FIA and GICA.
A496
Anti-D-Dimer Antibody
Mouse monoclonal (D10 ) antibody to D-Dimer for WB, ELISA and Lateral Flow.
A495
Anti-D-Dimer Antibody
Mouse monoclonal (C9 ) antibody to D-Dimer for WB, ELISA and Lateral Flow.
A108052
Anti-D-dimer Antibody
Mouse monoclonal antibody to D-dimer for Lateral Flow, ELISA and LTIA.
A108049
Anti-D-dimer Antibody
Mouse monoclonal antibody to D-dimer for Lateral Flow, ELISA and CLIA.
A33676
Anti-D-dimer Antibody
Mouse monoclonal antibody to D-dimer for Lateral Flow, ELISA and WB.
A33677
Anti-D-dimer Antibody
Mouse monoclonal antibody to D-dimer for Lateral Flow, ELISA and WB.
A108048
Anti-D-dimer Antibody
Mouse monoclonal antibody to D-dimer for Lateral Flow, ELISA and CLIA.
A280233
Anti-D-Dimer Antibody [DD5]
Mouse monoclonal [DD5] antibody to D-Dimer for ELISA and WB.
A280234
Anti-D-Dimer Antibody [DD6]
Mouse monoclonal [DD6] antibody to D-Dimer for ELISA and WB.
A280232
Anti-D-Dimer Antibody [DD1]
Mouse monoclonal [DD1] antibody to D-Dimer for ELISA and WB.
A334595
Anti-D-Dimer Antibody [33B10]
Recombinant mouse monoclonal [33B10] antibody to D-Dimer for ELISA, CLIA, FIA and GICA.
A334596
Anti-D-Dimer Antibody [21B2]
Recombinant mouse monoclonal [21B2] antibody to D-Dimer for ELISA, CLIA, FIA and GICA.
A496
Anti-D-Dimer Antibody
Mouse monoclonal (D10 ) antibody to D-Dimer for WB, ELISA and Lateral Flow.
A495
Anti-D-Dimer Antibody
Mouse monoclonal (C9 ) antibody to D-Dimer for WB, ELISA and Lateral Flow.
A108052
Anti-D-dimer Antibody
Mouse monoclonal antibody to D-dimer for Lateral Flow, ELISA and LTIA.
A108049
Anti-D-dimer Antibody
Mouse monoclonal antibody to D-dimer for Lateral Flow, ELISA and CLIA.
A33676
Anti-D-dimer Antibody
Mouse monoclonal antibody to D-dimer for Lateral Flow, ELISA and WB.
A33677
Anti-D-dimer Antibody
Mouse monoclonal antibody to D-dimer for Lateral Flow, ELISA and WB.
A108048
Anti-D-dimer Antibody
Mouse monoclonal antibody to D-dimer for Lateral Flow, ELISA and CLIA.
A280233
Anti-D-Dimer Antibody [DD5]
Mouse monoclonal [DD5] antibody to D-Dimer for ELISA and WB.
A280234
Anti-D-Dimer Antibody [DD6]
Mouse monoclonal [DD6] antibody to D-Dimer for ELISA and WB.
A280232
Anti-D-Dimer Antibody [DD1]
Mouse monoclonal [DD1] antibody to D-Dimer for ELISA and WB.
Top