ISO 9001:2015 Certified
Live Customer Support
4.5/5 on Trustpilot
100% Quality Guarantee

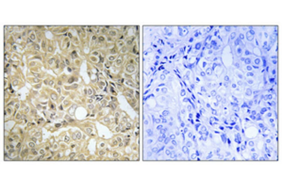
Anti-DAK Antibody (A98531)

Rabbit polyclonal antibody to DAK for WB, IHC, IF and ELISA.

Shipping Information

$40
Dispatched from St. Louis, MO.
Lead Time: 6-8 business days.
Name
Anti-DAK Antibody
Description
Rabbit polyclonal antibody to DAK.
Applications
WB, IHC, IF, ELISA
Dilutions
WB: 1:500~1:1000, ELISA: 1:20000
Reactivity
Human, Mouse, Rat
Cross Reactivity
No reported cross-reactivity.
Immunogen
Synthetic peptide derived from human DAK (amino acids 91-140).
Host
Rabbit
Clonality
Polyclonal
Isotype
IgG
Conjugate

Unconjugated

Purification
Purified from rabbit serum by antigen affinity chromatography using the immunizing peptide.
Molecular Weight
58kDa
Product Form
Liquid
Formulation
Supplied in Phosphate Buffered Saline (without Mg2+ and Ca2+), pH 7.4, with 150mM NaCl, 0.02% Sodium Azide, and 50% Glycerol.
Storage
Shipped at 4°C. Upon delivery aliquot and store at -20°C. Avoid freeze / thaw cycles.
Synonyms
Bifunctional ATP-dependent dihydroxyacetone kinase/FAD-AMP lyase, cyclizing, DHA kinase, TKFC, Triokinase/FMN cyclase
Disclaimer
This product is for research use only. It is not intended for diagnostic or therapeutic use.
Publishing research using Anti-DAK Antibody (A98531)? Please let us know so that we can list the citation on this page.

Alternative products to Anti-DAK Antibody (A98531)

Proteins predicted to interact with DAK

Predicted protein interactions based upon String database. Revelancy score correlates with probability of interaction.
99.2% Relevancy Score
97.9% Relevancy Score
97% Relevancy Score
96.4% Relevancy Score
95.5% Relevancy Score
92% Relevancy Score
91.5% Relevancy Score