ISO 9001:2015 Certified
Live Customer Support
4.5/5 on Trustpilot
100% Quality Guarantee

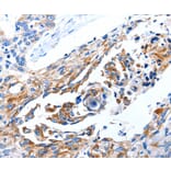
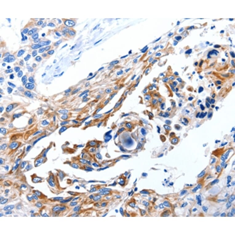
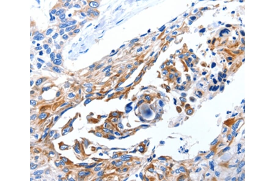
Anti-DAP Antibody (A47185)

Rabbit polyclonal antibody to DAP for IHC.

Shipping Information

$40
Dispatched from St. Louis, MO.
Lead Time: 6-9 business days.
Name
Anti-DAP Antibody
Description
Rabbit polyclonal antibody to DAP
Specificity
The antibody detects endogenous levels of total DAP protein.
Applications
IHC
Reactivity
Human
Immunogen
Fusion protein corresponding to residues near the C terminal of human death-associated protein
Host
Rabbit
Clonality
Polyclonal
Conjugate

Unconjugated

Purification
Antigen affinity purification.
Concentration
0.8 mg/mL
Formulation
Supplied in PBS, pH 7.3, containing 0.05% sodium azide and 50% glycerol.
Storage
Shipped at 4°C. Upon delivery aliquot and store at -20°C. Avoid freeze/thaw cycles.
Synonyms
DAP 1, DAP-1, DAP1, DAP1_HUMAN, Death associated protein, Death associated protein 1, Death-associated protein 1, MGC99796, OTTHUMP00000161670, OTTHUMP00000221331
Disclaimer
This product is for research use only. It is not intended for diagnostic or therapeutic use.
Publishing research using Anti-DAP Antibody (A47185)? Please let us know so that we can list the citation on this page.