ISO 9001:2015 Certified
Live Customer Support
4.5/5 on Trustpilot
100% Quality Guarantee

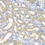
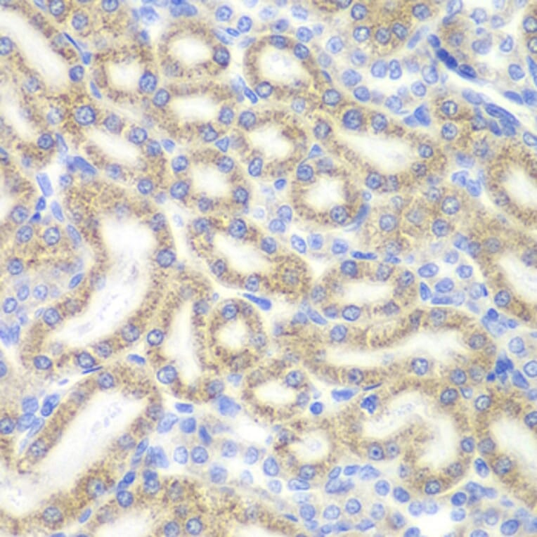
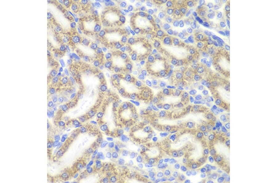
Anti-DAP1 Antibody (A15090)

Rabbit polyclonal antibody to DAP1 for WB, IHC and ICC/IF.

Shipping Information

$40
Dispatched from St. Louis, MO.
Lead Time: 7-10 business days.
Name
Anti-DAP1 Antibody
Description
Rabbit polyclonal antibody to DAP1.
Applications
WB, IHC, ICC/IF
Dilutions
WB: 1:500-1:2,000, IHC: 1:50-1:200, ICC/IF: 1:20-1:100
Reactivity
Human, Mouse, Rat
Immunogen
Recombinant fusion protein containing a sequence corresponding to amino acids 1-102 of human DAP (NP_004385.1).
Sequence
MSSPPEGKLETKAGHPPAVKAGGMRIVQKHPHTGDTKEEKDKDDQEWESPSPPKPTVFISGVIARGDKDFPPAAAQVAHQKPHASMDKHPSPRTQHIQQPRK
Host
Rabbit
Clonality
Polyclonal
Isotype
IgG
Conjugate

Unconjugated

Purification
Affinity purification.
Concentration
Lot Specific
Molecular Weight
17 kDa
Product Form
Liquid
Formulation
Supplied in Phosphate Buffered Saline, pH 7.3, with 50% Glycerol and 0.02% Sodium Azide.
Storage
Shipped at 4°C. Upon delivery aliquot and store at -20°C. Avoid freeze/thaw cycles.
Synonyms
DAP, DAP-1, Death-associated protein 1
Disclaimer
This product is for research use only. It is not intended for diagnostic or therapeutic use.
Publishing research using Anti-DAP1 Antibody (A15090)? Please let us know so that we can list the citation on this page.

Alternative products to Anti-DAP1 Antibody (A15090)

Proteins predicted to interact with DAP1

Predicted protein interactions based upon String database. Revelancy score correlates with probability of interaction.
87% Relevancy Score
60.8% Relevancy Score
58.8% Relevancy Score
58.1% Relevancy Score
58% Relevancy Score
57.1% Relevancy Score
54.2% Relevancy Score
54.1% Relevancy Score
48% Relevancy Score