Primary Antibodies
Secondary Antibodies
Proteins & Peptides
ELISA Kits
About Us
Contact Us
Sign In/Register
0
ISO 9001:2015 Certified
Live Customer Support
4.5/5 on Trustpilot
100% Quality Guarantee
Home
Primary Antibodies
DAP13 Antibodies
Anti-DAP13 Antibody (A35078)
Anti-DAP13 Antibody (A35078)
Overview
Specifications
Images
Enlarge Image
Enlarge Image
Enlarge Image
$645
Product Datasheet
Rabbit polyclonal antibody to DAP13 for WB, IHC and ICC/IF.
100% Guarantee
Price Match Guarantee
Product Size:
100µl
Quantity:
1
2
3
4
5
6
7
8
9
10
Add To Cart
Request a Quotation
Custom or Bulk Request
Shipping Information
Freight/Packing Charges:
$40
Dispatched from St. Louis, MO.
Lead Time: 6-9 business days.
Specifications
Name
Anti-DAP13 Antibody
Description
Rabbit polyclonal antibody to DAP13
Applications
WB
,
IHC
,
ICC/IF
Reactivity
Human
Immunogen
Recombinant protein fragment contain a sequence corresponding to a region within amino acids 1 and 120 of Human NDUFA12
Host
Rabbit
Clonality
Polyclonal
Conjugate
Unconjugated
Purification
Purified by antigen-affinity chromatography.
Formulation
Supplied in 0.1M Tris-buffered saline with 10% Glycerol (pH7.0). 0.01% Thimerosal was added as a preservative.
Storage
Shipped at 4°C. Upon delivery aliquot and store at -20°C. Avoid freeze/thaw cycles.
Synonyms
13 kDa differentiation-associated protein, CI-B17.2, CIB17.2, Complex I-B17.2, NADH dehydrogenase [ubiquinone] 1 alpha subcomplex subunit 12, NADH-ubiquinone oxidoreductase subunit B17.2, NDUFA12
Suitable Secondaries
Goat Anti-Rabbit IgG H&L Antibody (AP) (A294874)
Goat Anti-Rabbit IgG H&L Antibody (Biotin) (A294795)
Goat Anti-Rabbit IgG H&L Antibody (FITC) (A294887)
Goat Anti-Rabbit IgG H&L Antibody (HRP) (A294888)
See all Anti-Rabbit IgG Secondaries →
Disclaimer
This product is for research use only. It is not intended for diagnostic or therapeutic use.
Scientific Validation Data
Validation Data
(3)
Enlarge Image
Anti-DAP13 Antibody (A35078)
Sample (30 µg of whole cell lysate) Hep G2 12% SDS PAGE Primary antibody diluted at 1: 1000
Enlarge Image
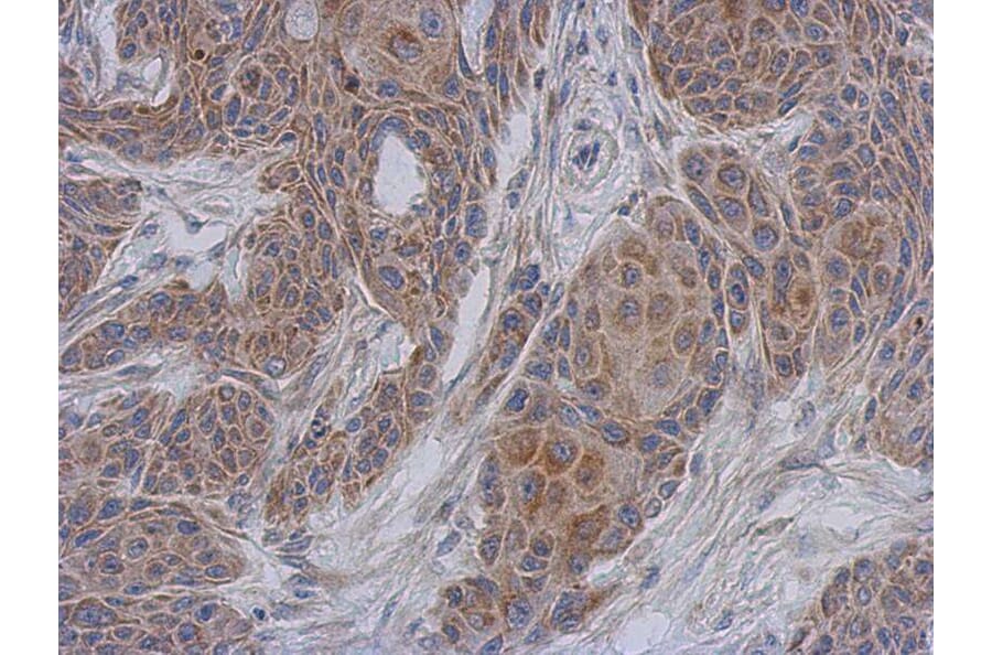
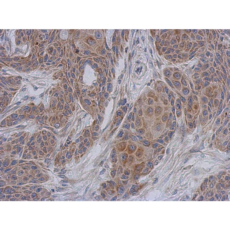
Immunohistochemistry - Anti-DAP13 Antibody (A35078)
Immunohistochemical analysis of paraffin-embedded Cal27 xenograft, using NDUFA12 antibody at 1: 500 dilution.
Enlarge Image
Immunofluorescence - Anti-DAP13 Antibody (A35078)
Immunofluorescence analysis of methanol-fixed HepG2, using NDUFA12 antibody at 1: 200 dilution.
Publishing research using Anti-DAP13 Antibody (A35078)? Please
let us know
so that we can list the citation on this page.
Alternative products to Anti-DAP13 Antibody (A35078)
(2)
A45143
Anti-NDUFA12 Antibody
Rabbit polyclonal antibody to NDUFA12 for IHC.
(2)
A45143
Anti-NDUFA12 Antibody
Rabbit polyclonal antibody to NDUFA12 for IHC.
Proteins predicted to interact with DAP13
Predicted protein interactions based upon String database. Revelancy score correlates with probability of interaction.
NADH Dehydrogenase Subunit 4 Antibodies
99.9% Relevancy Score
NDUFA4 Antibodies
99.9% Relevancy Score
MT-ND3 Antibodies
99.9% Relevancy Score
NDUFB5 Antibodies
99.9% Relevancy Score
NDUFC2 Antibodies
99.9% Relevancy Score
GRIM19 Antibodies
99.9% Relevancy Score
NDUFB3 Antibodies
99.9% Relevancy Score
NDUFAB1 Antibodies
99.9% Relevancy Score
NDUFS1 Antibodies
99.9% Relevancy Score
Top