Primary Antibodies
Secondary Antibodies
Proteins & Peptides
ELISA Kits
About Us
Contact Us
Sign In/Register
0
ISO 9001:2015 Certified
Live Customer Support
4.5/5 on Trustpilot
100% Quality Guarantee
Home
Primary Antibodies
DARC Antibodies
Anti-DARC Antibody (A48370)
Anti-DARC Antibody (A48370)
Overview
Specifications
Images
Enlarge Image
Enlarge Image
$780
Product Datasheet
Rabbit polyclonal antibody to DARC for ELISA, WB and IHC.
100% Guarantee
Price Match Guarantee
Product Size:
100µl
Quantity:
1
2
3
4
5
6
7
8
9
10
Add To Cart
Request a Quotation
Custom or Bulk Request
Shipping Information
Freight/Packing Charges:
$40
Dispatched from St. Louis, MO.
Lead Time: 6-9 business days.
Specifications
Name
Anti-DARC Antibody
Description
Rabbit polyclonal antibody to DARC
Applications
ELISA
,
WB
,
IHC
Reactivity
Human
Immunogen
Raised against a 18 amino acid peptide from near the amino terminus of human DARC.
Host
Rabbit
Clonality
Polyclonal
Conjugate
Unconjugated
Purification
Affinity chromatography purified via peptide column
Formulation
Supplied in phosphate-buffered saline with 0.02% Sodium Azide.
Storage
Shipped at 4°C. Upon delivery aliquot and store at -20°C. Avoid freeze/thaw cycles.
Synonyms
ACKR1, Atypical chemokine receptor 1, CD234, Duffy antigen/chemokine receptor, FY, Fy glycoprotein, Glycoprotein D, GPD, GpFy, Plasmodium vivax receptor
Suitable Secondaries
Goat Anti-Rabbit IgG H&L Antibody (AP) (A294874)
Goat Anti-Rabbit IgG H&L Antibody (Biotin) (A294795)
Goat Anti-Rabbit IgG H&L Antibody (FITC) (A294887)
Goat Anti-Rabbit IgG H&L Antibody (HRP) (A294888)
See all Anti-Rabbit IgG Secondaries →
Disclaimer
This product is for research use only. It is not intended for diagnostic or therapeutic use.
Scientific Validation Data
Validation Data
(2)
Enlarge Image
Anti-DARC Antibody (A48370)
Western blot analysis of DARC in PC-3 cell lysate with DARC antibody at (A) 0.5, (B) 1 and (C) 2 µg/mL.
Enlarge Image
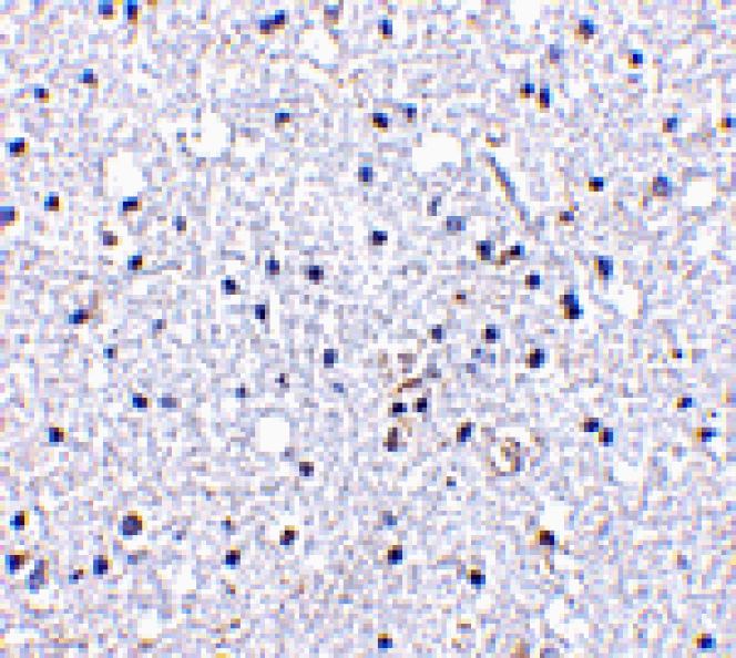
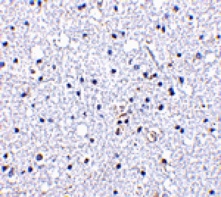
Immunohistochemistry - Anti-DARC Antibody (A48370)
Immunohistochemistry of DARC in human brain tissue with DARC antibody at 5 µg/mL.
Publishing research using Anti-DARC Antibody (A48370)? Please
let us know
so that we can list the citation on this page.
Alternative products to Anti-DARC Antibody (A48370)
(4)
A82945
Anti-DARC Antibody
Goat polyclonal antibody to DARC for ELISA, WB, IHC and Flow Cytometry.
(2)
A48369
Anti-DARC Antibody
Rabbit polyclonal antibody to DARC for ELISA, WB and IHC.
A283188
Anti-DARC Antibody
Rabbit polyclonal antibody to DARC for WB and IHC-P.
A338396
Anti-DARC Nanobody [SAA2301]
Recombinant alpaca monoclonal [SAA2301] nanobody to DARC for ELISA, WB, IP and Flow Cytometry.
A28762
Anti-DARC Antibody
Rabbit polyclonal antibody to DARC for WB.
A101175
Anti-CD234 Antibody
Rabbit polyclonal antibody to CD234 for IF and ELISA.
(4)
A82945
Anti-DARC Antibody
Goat polyclonal antibody to DARC for ELISA, WB, IHC and Flow Cytometry.
(2)
A48369
Anti-DARC Antibody
Rabbit polyclonal antibody to DARC for ELISA, WB and IHC.
A283188
Anti-DARC Antibody
Rabbit polyclonal antibody to DARC for WB and IHC-P.
A338396
Anti-DARC Nanobody [SAA2301]
Recombinant alpaca monoclonal [SAA2301] nanobody to DARC for ELISA, WB, IP and Flow Cytometry.
A28762
Anti-DARC Antibody
Rabbit polyclonal antibody to DARC for WB.
A101175
Anti-CD234 Antibody
Rabbit polyclonal antibody to CD234 for IF and ELISA.
See all DARC Antibodies
Proteins predicted to interact with DARC
Predicted protein interactions based upon String database. Revelancy score correlates with probability of interaction.
IL-8 Antibodies
99.9% Relevancy Score
TNFRSF14 Antibodies
99.8% Relevancy Score
PVRL1 Antibodies
99.4% Relevancy Score
MCP 1 Antibodies
99.4% Relevancy Score
RANTES Antibodies
99.3% Relevancy Score
CXCL1 Antibodies
99.3% Relevancy Score
Nectin 2 Antibodies
98.6% Relevancy Score
CD82 Antibodies
97.3% Relevancy Score
CXCL5 Antibodies
89.7% Relevancy Score
Top