ISO 9001:2015 Certified
Live Customer Support
4.5/5 on Trustpilot
100% Quality Guarantee

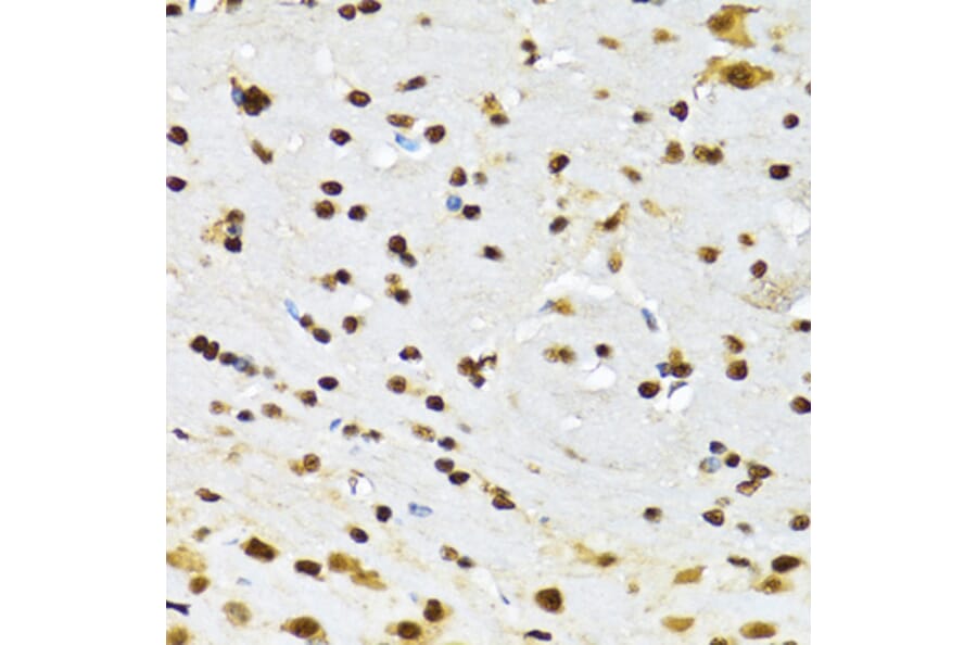
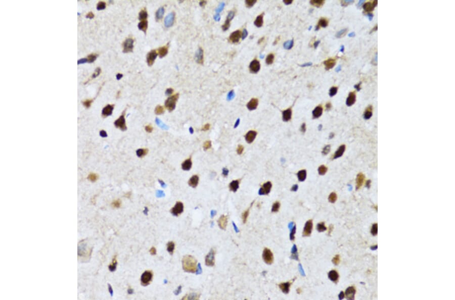
Anti-DBC-1 Antibody (A15555)

Rabbit polyclonal antibody to DBC-1 for WB and IHC.

Shipping Information

$40
Dispatched from St. Louis, MO.
Lead Time: 7-10 business days.
Name
Anti-DBC-1 Antibody
Description
Rabbit polyclonal antibody to DBC-1.
Applications
WB, IHC
Dilutions
WB: 1:500-1:2,000, IHC: 1:50-1:200
Reactivity
Human, Mouse, Rat
Immunogen
Recombinant fusion protein containing a sequence corresponding to amino acids 654-923 of human CCAR2 (NP_066997.3).
Sequence
LLRDDGEEEFAGAKLEDSEVRSVASNQSEMEFSSLQDMPKELDPSAVLPLDCLLAFVFFDANWCGYLHRRDLERILLTLGIRLSAEQAKQLVSRVVTQNICQYRSLQYSRQEGLDGGLPEEVLFGNLDLLPPPGKSTKPGAAPTEHKALVSHNGSLINVGSLLQRAEQQDSGRLYLENKIHTLELKLEESHNRFSATEVTNKTLAAEMQELRVRLAEAEETARTAERQKSQLQRLLQELRRRLTPLQLEIQRVVEKADSWVEKEEPAPSN
Host
Rabbit
Clonality
Polyclonal
Isotype
IgG
Conjugate

Unconjugated

Purification
Affinity purification.
Concentration
Lot Specific
Molecular Weight
130 kDa
Product Form
Liquid
Formulation
Supplied in Phosphate Buffered Saline, pH 7.3, with 50% Glycerol and 0.02% Sodium Azide.
Storage
Shipped at 4°C. Upon delivery aliquot and store at -20°C. Avoid freeze/thaw cycles.
Synonyms
BMP/retinoic acid-inducible neural-specific protein 1, BRINP1, CCAR2, Cell cycle and apoptosis regulator protein 2, Cell division cycle and apoptosis regulator protein 2, DBC.1, DBCCR1, DBIRD complex subunit KIAA1967, Deleted in bladder cancer protein 1, Deleted in breast cancer gene 1 protein, FAM5A, KIAA1967, NET35, p30 DBC
Disclaimer
This product is for research use only. It is not intended for diagnostic or therapeutic use.
Publishing research using Anti-DBC-1 Antibody (A15555)? Please let us know so that we can list the citation on this page.

Alternative products to Anti-DBC-1 Antibody (A15555)

Proteins predicted to interact with DBC1

Predicted protein interactions based upon String database. Revelancy score correlates with probability of interaction.
84.4% Relevancy Score
73% Relevancy Score
49.1% Relevancy Score
47.9% Relevancy Score
44.1% Relevancy Score
43.5% Relevancy Score
42.9% Relevancy Score
42.4% Relevancy Score
41.8% Relevancy Score