ISO 9001:2015 Certified
Live Customer Support
4.5/5 on Trustpilot
100% Quality Guarantee

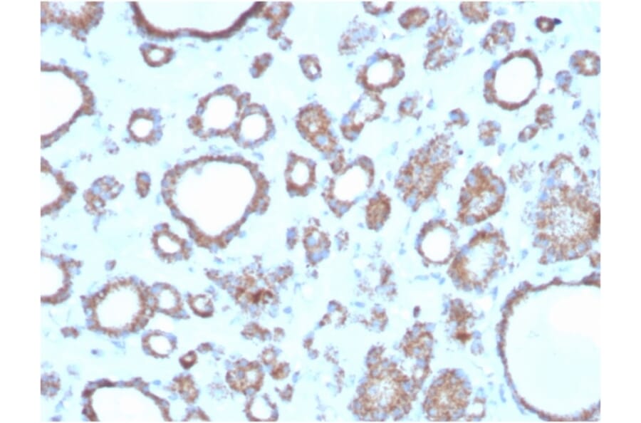
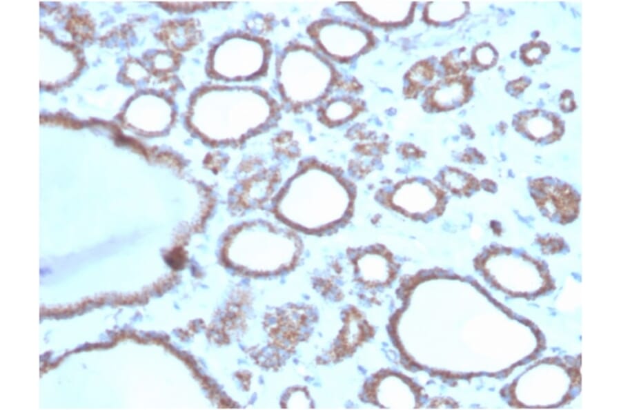
Anti-DBC2 Antibody [DBC2/3362] - BSA and Azide free (A251754)

Mouse monoclonal [DBC2/3362] antibody to DBC2 for IHC-P.

Alternative Formats and ConjugatesAlternative Formats

Shipping Information

$40
Dispatched from St. Louis, MO.
Lead Time: 5-8 business days.
Name
Anti-DBC2 Antibody [DBC2/3362] - BSA and Azide free
Description
Mouse monoclonal [DBC2/3362] antibody to DBC2.
Specificity
The Rho subfamily of Ras-related GTPases controls multiple aspects of cell function, including cytoskeletal rearrangement, nuclear signaling and cell growth. DBC-2 (deleted in breast cancer 2 gene protein), also known as RHOBTB2 (Rho-related BTB domain-containing protein 2), is a 727 amino acid member of the RhoBTB subfamily of Rho GTPases. Members of the RhoBTB subfamily are evolutionarily conserved and are characterized by a proline-rich region, a GTPase domain and two tandem BTB repeats. Expressed ubiquitously with highest levels in neural tissue, heart, brain and fetal lung, DBC-2 contains two BTB (POZ) domains through which it may bind to and regulate the function of target proteins, such as CUL-3. Additionally, DBC-2 is thought to function as a regulator of cell cycle and apoptosis events. Under normal conditions, DBC-2 is thought to exhibit tumor suppressor activity. Mutations in the gene encoding DBC-2 are associated with breast cancer, suggesting that mutated DBC-2 may play a role in carcinogenesis.
Applications
IHC-P
Dilutions
IHC-P: 1-2 µg/ml
Reactivity
Human
Immunogen
Recombinant fragment, around amino acids 554-604, of human RHOBTB2 protein. The exact sequence is proprietary.
Host
Mouse
Clonality
Monoclonal
Clone ID
DBC2/3362
Isotype
IgG2c
Light Chains
lambda
Conjugate

Unconjugated

Purification
Protein A/G chromatography.
Concentration
1 mg/ml
Molecular Weight
83 kDa
Product Form
Liquid
Formulation
Supplied in 10mM Phosphate Buffered Saline; without Sodium Azide and carrier free.
Storage
Shipped at 4°C. Upon delivery aliquot and store at -20°C. Avoid freeze / thaw cycles.
General Notes
This monoclonal antibody is also available in a different formulation with BSA and Sodium Azide - Anti-DBC2 Antibody [DBC2/3362] (A248572).
Synonyms
Deleted in breast cancer 2 gene protein, KIAA0717, p83, Rho-related BTB domain-containing protein 2, RHOBTB2
Disclaimer
This product is for research use only. It is not intended for diagnostic or therapeutic use.
Publishing research using Anti-DBC2 Antibody [DBC2/3362] - BSA and Azide free (A251754)? Please let us know so that we can list the citation on this page.

Alternative products to Anti-DBC2 Antibody [DBC2/3362] - BSA and Azide free (A251754)

Proteins predicted to interact with DBC2

Predicted protein interactions based upon String database. Revelancy score correlates with probability of interaction.
97.1% Relevancy Score
91.9% Relevancy Score
91.7% Relevancy Score
90.4% Relevancy Score
75.4% Relevancy Score
70.5% Relevancy Score
65.7% Relevancy Score
64.9% Relevancy Score
63.3% Relevancy Score