ISO 9001:2015 Certified
Live Customer Support
4.5/5 on Trustpilot
100% Quality Guarantee

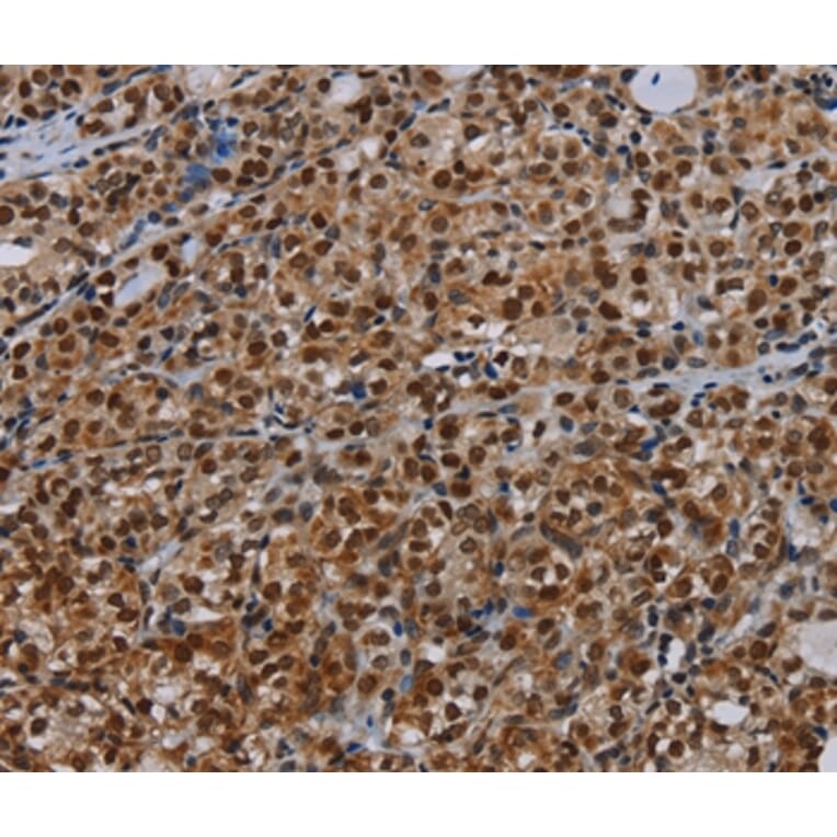
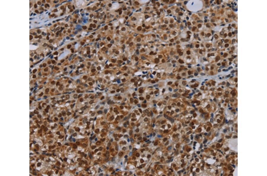
Anti-DCAF6 Antibody (A46259)

Rabbit polyclonal antibody to DCAF6 for IHC.

Shipping Information

$40
Dispatched from St. Louis, MO.
Lead Time: 6-9 business days.
Name
Anti-DCAF6 Antibody
Description
Rabbit polyclonal antibody to DCAF6
Specificity
The antibody detects endogenous levels of total DCAF6 protein.
Applications
IHC
Reactivity
Human, Mouse
Immunogen
Synthetic peptide corresponding to residues near the C terminal of human DDB1 and CUL4 associated factor 6
Host
Rabbit
Clonality
Polyclonal
Conjugate

Unconjugated

Purification
Antigen affinity purification.
Concentration
1.7 mg/mL
Formulation
Supplied in PBS, pH 7.3, containing 0.05% sodium azide and 50% glycerol.
Storage
Shipped at 4°C. Upon delivery aliquot and store at -20°C. Avoid freeze/thaw cycles.
Synonyms
Androgen receptor complex-associated protein, ARCAP, DDB1- and CUL4-associated factor 6, IQ motif and WD repeat-containing protein 1, IQWD1, Nuclear receptor interaction protein
Disclaimer
This product is for research use only. It is not intended for diagnostic or therapeutic use.
Publishing research using Anti-DCAF6 Antibody (A46259)? Please let us know so that we can list the citation on this page.

Proteins predicted to interact with NRIP

Predicted protein interactions based upon String database. Revelancy score correlates with probability of interaction.
99.8% Relevancy Score
98.9% Relevancy Score
96.9% Relevancy Score
95.1% Relevancy Score
94.8% Relevancy Score
93.2% Relevancy Score
93.2% Relevancy Score
92.5% Relevancy Score
92.3% Relevancy Score