ISO 9001:2015 Certified
Live Customer Support
4.5/5 on Trustpilot
100% Quality Guarantee

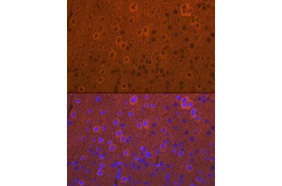
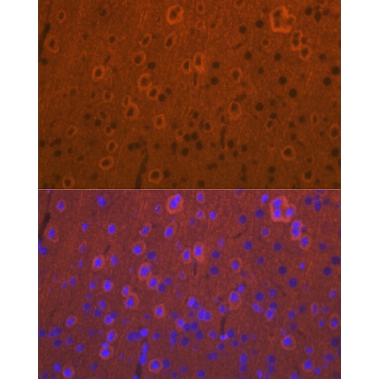
Anti-DCAMKL1 Antibody (A12365)

Rabbit polyclonal antibody to DCAMKL1 for WB, IHC and ICC/IF.

Shipping Information

$40
Dispatched from St. Louis, MO.
Lead Time: 7-10 business days.
Name
Anti-DCAMKL1 Antibody
Description
Rabbit polyclonal antibody to DCAMKL1.
Applications
WB, IHC, ICC/IF
Dilutions
WB: 1:500-1:1,000, IHC: 1:50-1:200, ICC/IF: 1:50-1:200
Reactivity
Human, Mouse, Rat
Immunogen
Recombinant fusion protein containing a sequence corresponding to amino acids 590-740 of DCAMKL1/DCLK1 (NP_001317000.1).
Sequence
SGDDQEVLFDQILMGQVDFPSPYWDNVSDSAKELITMMLLVDVDQRFSAVQVLEHPWVNDDGLPENEHQLSVAGKIKKHFNTGPKPNSTAAGVSVIATTALDKERQVFRRRRNQDVRSRYKAQPAPPELNSESEDYSPSSSETVRSPNSPF
Host
Rabbit
Clonality
Polyclonal
Isotype
IgG
Conjugate

Unconjugated

Purification
Affinity purification.
Concentration
Lot Specific
Molecular Weight
82 kDa
Product Form
Liquid
Formulation
Supplied in Phosphate Buffered Saline, pH 7.3, with 50% Glycerol and 0.01% Thiomersal.
Storage
Shipped at 4°C. Upon delivery aliquot and store at -20°C. Avoid freeze/thaw cycles.
Synonyms
DCDC3A, Doublecortin domain-containing protein 3A, Doublecortin-like and CAM kinase-like 1, Doublecortin-like kinase 1, KIAA0369, Serine/threonine-protein kinase DCLK1
Disclaimer
This product is for research use only. It is not intended for diagnostic or therapeutic use.
Publishing research using Anti-DCAMKL1 Antibody (A12365)? Please let us know so that we can list the citation on this page.

Alternative products to Anti-DCAMKL1 Antibody (A12365)

Proteins predicted to interact with DCLK1

Predicted protein interactions based upon String database. Revelancy score correlates with probability of interaction.
88.6% Relevancy Score
81.6% Relevancy Score
77.4% Relevancy Score
77.3% Relevancy Score
72.7% Relevancy Score
71.8% Relevancy Score
67.1% Relevancy Score
63.4% Relevancy Score
59.5% Relevancy Score