Primary Antibodies
Secondary Antibodies
Proteins & Peptides
ELISA Kits
About Us
Contact Us
Sign In/Register
0
ISO 9001:2015 Certified
Live Customer Support
4.5/5 on Trustpilot
100% Quality Guarantee
Home
Primary Antibodies
DcR3 Antibodies
Anti-DcR3 Antibody (A48295)
Anti-DcR3 Antibody (A48295)
Overview
Specifications
Images
Enlarge Image
Enlarge Image
$780
Product Datasheet
Rabbit polyclonal antibody to DcR3 for ELISA, WB and IHC.
100% Guarantee
Price Match Guarantee
Product Size:
100µl
Quantity:
1
2
3
4
5
6
7
8
9
10
Add To Cart
Request a Quotation
Custom or Bulk Request
Shipping Information
Freight/Packing Charges:
$40
Dispatched from St. Louis, MO.
Lead Time: 6-9 business days.
Specifications
Name
Anti-DcR3 Antibody
Description
Rabbit polyclonal antibody to DcR3
Applications
ELISA
,
WB
,
IHC
Reactivity
Human, Mouse, Rat
Immunogen
Raised against a peptide corresponding to amino acids near the amino terminus of human DcR3 precursor.
Host
Rabbit
Clonality
Polyclonal
Conjugate
Unconjugated
Purification
Ion exchange chromatography purified
Formulation
Supplied in phosphate-buffered saline with 0.02% Sodium Azide.
Storage
Shipped at 4°C. Upon delivery aliquot and store at -20°C. Avoid freeze/thaw cycles.
Synonyms
Decoy receptor 3, Decoy receptor for Fas ligand, M68, TNFRSF6B, TR6, Tumor necrosis factor receptor superfamily member 6B
Suitable Secondaries
Goat Anti-Rabbit IgG H&L Antibody (AP) (A294874)
Goat Anti-Rabbit IgG H&L Antibody (Biotin) (A294795)
Goat Anti-Rabbit IgG H&L Antibody (FITC) (A294887)
Goat Anti-Rabbit IgG H&L Antibody (HRP) (A294888)
See all Anti-Rabbit IgG Secondaries →
Disclaimer
This product is for research use only. It is not intended for diagnostic or therapeutic use.
Scientific Validation Data
Validation Data
(2)
Enlarge Image
Anti-DcR3 Antibody (A48295)
Western blot analysis of DcR3 in human heart (H), brain (B), and kidney (K) tissue lysates with DcR3 antibody at 1: 500 dilution.
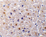
Enlarge Image
Immunohistochemistry - Anti-DcR3 Antibody (A48295)
Immunohistochemistry of DcR3 in human heart tissue with DcR3 antibody at 1 µg/mL.
Publishing research using Anti-DcR3 Antibody (A48295)? Please
let us know
so that we can list the citation on this page.
Alternative products to Anti-DcR3 Antibody (A48295)
(3)
A98706
Anti-TNFRSF6B Antibody
Rabbit polyclonal antibody to TNFRSF6B for WB, IHC, IF and ELISA.
(2)
A26353
Anti-DcR3 (G287) Antibody
Rabbit polyclonal antibody to DcR3 (G287) for WB, IHC and IF.
A16781
Anti-DcR3 Antibody
Rabbit polyclonal antibody to DcR3 for WB.
A41737
Anti-TNFRSF6B Antibody
Rabbit polyclonal antibody to TNFRSF6B for WB.
(3)
A98706
Anti-TNFRSF6B Antibody
Rabbit polyclonal antibody to TNFRSF6B for WB, IHC, IF and ELISA.
(2)
A26353
Anti-DcR3 (G287) Antibody
Rabbit polyclonal antibody to DcR3 (G287) for WB, IHC and IF.
A16781
Anti-DcR3 Antibody
Rabbit polyclonal antibody to DcR3 for WB.
A41737
Anti-TNFRSF6B Antibody
Rabbit polyclonal antibody to TNFRSF6B for WB.
Proteins predicted to interact with DcR3
Predicted protein interactions based upon String database. Revelancy score correlates with probability of interaction.
LIGHT Antibodies
99.9% Relevancy Score
Fas Ligand Antibodies
99.9% Relevancy Score
TL1A Antibodies
99.9% Relevancy Score
DR3 Antibodies
84.8% Relevancy Score
TNFR1 Antibodies
73.5% Relevancy Score
CD30 Ligand Antibodies
71.3% Relevancy Score
TNF alpha Antibodies
69.7% Relevancy Score
Stathmin 1 Antibodies
67% Relevancy Score
TR4 Antibodies
60.8% Relevancy Score
Top