Synthetic peptide corresponding to the C terminal region of human DDB1.
Sequence
C-DLIKVVEELTRIH
Host
Goat
Clonality
Polyclonal
Isotype
IgG
Conjugate
Unconjugated
Purification
Purified from goat serum by ammonium sulphate precipitation followed by antigen affinity chromatography using the immunizing peptide.
Concentration
500 µg/ml
Molecular Weight
140 kDa
Predicted MW
126.9kDa
Product Form
Liquid
Formulation
Supplied in Tris Buffered Saline, pH 7.3, with 0.5% BSA and 0.02% Sodium Azide.
Storage
Shipped at 4°C. Upon delivery aliquot and store at -20°C. Avoid freeze/thaw cycles.
Synonyms
Damage-specific DNA-binding protein 1, DDB p127 subunit, DDBa, DNA damage-binding protein 1, DNA damage-binding protein a, HBV X-associated protein 1, UV-damaged DNA-binding factor, XAP-1, XAP1
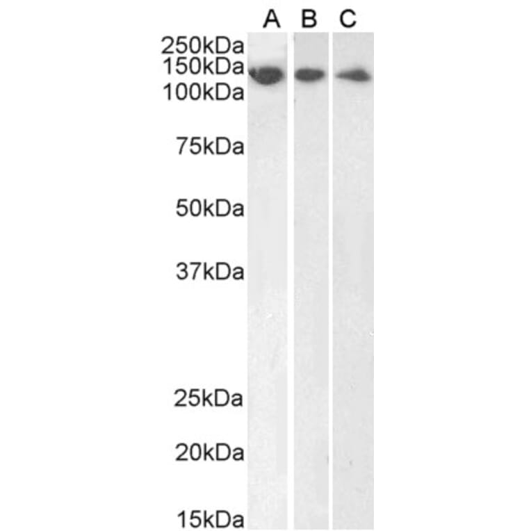
DDB1 expression in HeLa (A), HepG2 (B) and Jurkat (C) cell lysates analyzed by western blot. Cells were lysed in RIPA buffer and 35µg protein was run per lane. Primary antibody incubation was performed with Anti-DDB1 Antibody (A83757) at 1µg/ml and detected by chemiluminescence.
DDB1 expression in NIH3T3 (A) and NSO (B) cell lysates analyzed by western blot. Cells were lysed in RIPA buffer and 35µg protein was run per lane. Primary antibody incubation was performed with Anti-DDB1 Antibody (A83757) at 0.01µg/ml and detected by chemiluminescence.
DDB1 expression in Human Cortex analyzed by immunohistochemistry. Tissue was paraffin-embedded, and antigen retrieval was achieved by heating in citrate buffer, pH 6. Staining was performed with Anti-DDB1 Antibody (A83757) at 4µg/ml and revealed with horseradish peroxidase (HRP).
Negative control for DDB1 expression in Human Cortex analyzed by immunohistochemistry. Tissue was paraffin-embedded, and staining procedure was performed in the absence of primary antibody.
Publishing research using Anti-DDB1 Antibody (A83757)? Please let us know so that we can list the citation on this page.
Alternative products to Anti-DDB1 Antibody (A83757)