ISO 9001:2015 Certified
Live Customer Support
4.5/5 on Trustpilot
100% Quality Guarantee

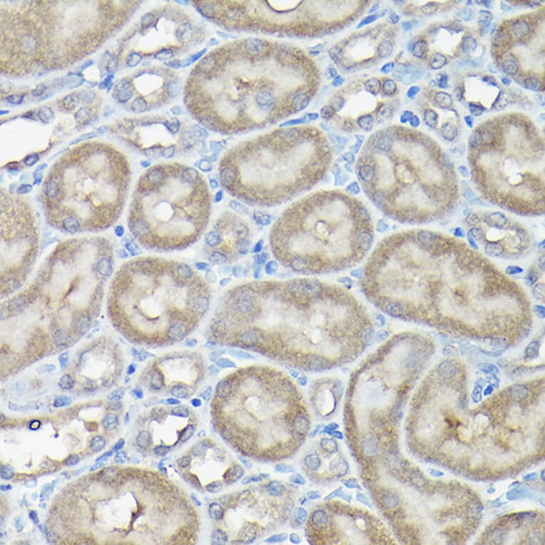
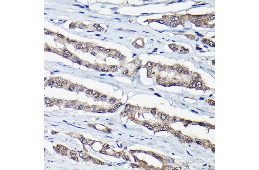
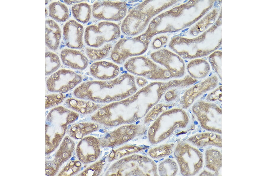
Anti-DDIT3 Antibody (A89024)

This product is discontinued

Anti-DDIT3 Antibody (A89024) has been discontinued and is no longer available.

View all DDIT3 Antibodies.

Name
Anti-DDIT3 Antibody
Description
Rabbit polyclonal antibody to DDIT3.
Applications
WB, IHC, ICC/IF
Dilutions
WB: 1:500-1:2,000, ICC/IF: 1:50-1:200, IHC: 1:50-1:200
Reactivity
Human, Mouse, Rat
Immunogen
Recombinant fusion protein containing a sequence corresponding to amino acids 1-80 of human DDIT3/CHOP (NP_004074.2).
Sequence
MAAESLPFSFGTLSSWELEAWYEDLQEVLSSDENGGTYVSPPGNEEEESKIFTTLDPASLAWLTEEEPEPAEVTSTSQSP
Host
Rabbit
Clonality
Polyclonal
Isotype
IgG
Conjugate

Unconjugated

Purification
Affinity purification.
Molecular Weight
27 kDa
Product Form
Liquid
Formulation
Supplied in Phosphate Buffered Saline, pH 7.3, with 50% Glycerol and 0.05% Proclin 300.
Storage
Shipped at 4°C. Upon delivery aliquot and store at -20°C. Avoid freeze / thaw cycles.
Synonyms
C/EBP zeta, C/EBP-homologous protein, C/EBP-homologous protein 10, CCAAT/enhancer-binding protein homologous protein, CHOP-10, CHOP10, DDIT-3, DNA damage-inducible transcript 3 protein, GADD153, Growth arrest and DNA damage-inducible protein GADD153
Disclaimer
This product is for research use only. It is not intended for diagnostic or therapeutic use.

Alternative products to Anti-DDIT3 Antibody (A89024)

Proteins predicted to interact with CHOP

Predicted protein interactions based upon String database. Revelancy score correlates with probability of interaction.
99.6% Relevancy Score
99.4% Relevancy Score
98.9% Relevancy Score
98.8% Relevancy Score
98.8% Relevancy Score
97.2% Relevancy Score
96.8% Relevancy Score
95.6% Relevancy Score
95.1% Relevancy Score