Primary Antibodies
Secondary Antibodies
Proteins & Peptides
ELISA Kits
About Us
Contact Us
Sign In/Register
0
ISO 9001:2015 Certified
Live Customer Support
4.5/5 on Trustpilot
100% Quality Guarantee
Home
Primary Antibodies
MGME1 Antibodies
Anti-DDK1 Antibody (A46998)
Anti-DDK1 Antibody (A46998)
Overview
Specifications
Images
Enlarge Image
Enlarge Image
$430
Product Datasheet
Rabbit polyclonal antibody to DDK1 for IHC.
100% Guarantee
Price Match Guarantee
Product Size:
100µl
Quantity:
1
2
3
4
5
6
7
8
9
10
Add To Cart
Request a Quotation
Custom or Bulk Request
Shipping Information
Freight/Packing Charges:
$40
Dispatched from St. Louis, MO.
Lead Time: 6-9 business days.
Specifications
Name
Anti-DDK1 Antibody
Description
Rabbit polyclonal antibody to DDK1
Specificity
The antibody detects endogenous levels of total DDK1 protein.
Applications
IHC
Reactivity
Human, Mouse
Immunogen
Synthetic peptide corresponding to residues near the C terminal of human dickkopf WNT signaling pathway inhibitor 1
Host
Rabbit
Clonality
Polyclonal
Conjugate
Unconjugated
Purification
Antigen affinity purification.
Concentration
2.2 mg/mL
Formulation
Rabbit IgG in pH7.4 PBS, 0.05% NaN3, 40% Glycerol.
Storage
Shipped at 4°C. Upon delivery aliquot and store at -20°C. Avoid freeze/thaw cycles.
Synonyms
C20orf72, Mitochondrial genome maintenance exonuclease 1
Suitable Secondaries
Goat Anti-Rabbit IgG H&L Antibody (AP) (A294874)
Goat Anti-Rabbit IgG H&L Antibody (Biotin) (A294795)
Goat Anti-Rabbit IgG H&L Antibody (FITC) (A294887)
Goat Anti-Rabbit IgG H&L Antibody (HRP) (A294888)
See all Anti-Rabbit IgG Secondaries →
Disclaimer
This product is for research use only. It is not intended for diagnostic or therapeutic use.
Scientific Validation Data
Validation Data
(2)
Enlarge Image
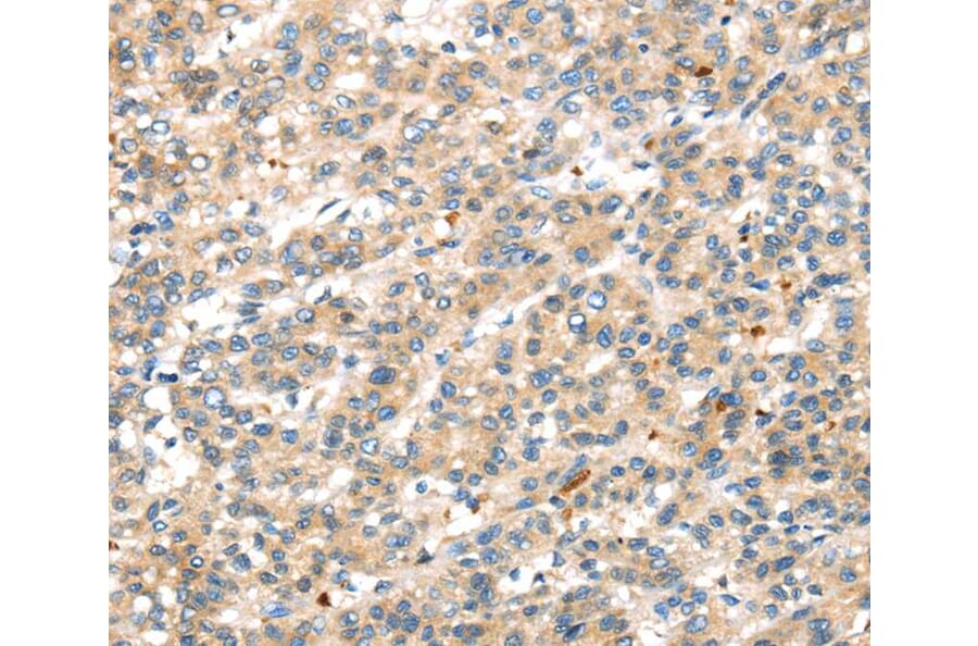
Immunohistochemistry - Anti-DDK1 Antibody (A46998)
Immunohistochemical analysis of paraffin-embedded Human liver cancer tissue using #40397 at dilution 1/35.
Enlarge Image
Immunohistochemistry - Anti-DDK1 Antibody (A46998)
Immunohistochemical analysis of paraffin-embedded Human brain tissue using #40397 at dilution 1/35.
Publishing research using Anti-DDK1 Antibody (A46998)? Please
let us know
so that we can list the citation on this page.
Proteins predicted to interact with MGME1
Predicted protein interactions based upon String database. Revelancy score correlates with probability of interaction.
Twinkle Antibodies
85.7% Relevancy Score
POLG2 Antibodies
79.6% Relevancy Score
ECSIT Antibodies
74.7% Relevancy Score
mtRNA Polymerase Antibodies
71.3% Relevancy Score
DNA Polymerase gamma Antibodies
70.9% Relevancy Score
dGK Antibodies
70.6% Relevancy Score
ENDOGL1 Antibodies
65% Relevancy Score
DNA Ligase III Antibodies
63.6% Relevancy Score
SSBP1 Antibodies
62.4% Relevancy Score
Top