Primary Antibodies
Secondary Antibodies
Proteins & Peptides
ELISA Kits
About Us
Contact Us
Sign In/Register
0
ISO 9001:2015 Certified
Live Customer Support
4.5/5 on Trustpilot
100% Quality Guarantee
Home
Primary Antibodies
DDX11 Antibodies
Anti-DDX11 Antibody (A46018)
Anti-DDX11 Antibody (A46018)
Overview
Specifications
Images
Enlarge Image
Enlarge Image
$430
Product Datasheet
Rabbit polyclonal antibody to DDX11 for IHC.
100% Guarantee
Price Match Guarantee
Product Size:
100µl
Quantity:
1
2
3
4
5
6
7
8
9
10
Add To Cart
Request a Quotation
Custom or Bulk Request
Shipping Information
Freight/Packing Charges:
$40
Dispatched from St. Louis, MO.
Lead Time: 6-9 business days.
Specifications
Name
Anti-DDX11 Antibody
Description
Rabbit polyclonal antibody to DDX11
Specificity
The antibody detects endogenous levels of total DDX11 protein.
Applications
IHC
Reactivity
Human
Immunogen
Fusion protein corresponding to a region derived from internal residues of human DEAD / H (Asp-Glu-Ala-Asp / His) box helicase 11
Host
Rabbit
Clonality
Polyclonal
Conjugate
Unconjugated
Purification
Antigen affinity purification.
Concentration
1.2 mg/mL
Formulation
Supplied in PBS, pH 7.3, containing 0.05% sodium azide and 50% glycerol.
Storage
Shipped at 4°C. Upon delivery aliquot and store at -20°C. Avoid freeze/thaw cycles.
Synonyms
ATP-dependent DNA helicase DDX11, CHL1, CHL1-related protein 1, CHLR1, DEAD/H-box protein 11, DNA 5'-3' helicase DDX11, hCHLR1, Keratinocyte growth factor-regulated gene 2 protein, KRG-2, KRG2
Suitable Secondaries
Goat Anti-Rabbit IgG H&L Antibody (AP) (A294874)
Goat Anti-Rabbit IgG H&L Antibody (Biotin) (A294795)
Goat Anti-Rabbit IgG H&L Antibody (FITC) (A294887)
Goat Anti-Rabbit IgG H&L Antibody (HRP) (A294888)
See all Anti-Rabbit IgG Secondaries →
Disclaimer
This product is for research use only. It is not intended for diagnostic or therapeutic use.
Scientific Validation Data
Validation Data
(2)
Enlarge Image
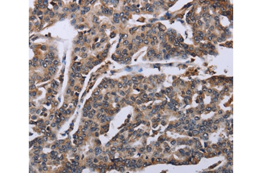
Immunohistochemistry - Anti-DDX11 Antibody (A46018)
Immunohistochemical analysis of paraffin-embedded Human ovarian cancer tissue using #36579 at dilution 1/30.
Enlarge Image
Immunohistochemistry - Anti-DDX11 Antibody (A46018)
Immunohistochemical analysis of paraffin-embedded Human brain cancer tissue using #36579 at dilution 1/30.
Publishing research using Anti-DDX11 Antibody (A46018)? Please
let us know
so that we can list the citation on this page.
Alternative products to Anti-DDX11 Antibody (A46018)
A10187
Anti-DDX11 Antibody
Rabbit polyclonal antibody to DDX11 for WB.
A10187
Anti-DDX11 Antibody
Rabbit polyclonal antibody to DDX11 for WB.
Proteins predicted to interact with DDX11
Predicted protein interactions based upon String database. Revelancy score correlates with probability of interaction.
Symplekin Antibodies
95.9% Relevancy Score
Timeless Antibodies
95.6% Relevancy Score
CHTF18 Antibodies
92.7% Relevancy Score
WDHD1 Antibodies
91.6% Relevancy Score
BICD1 Antibodies
85.5% Relevancy Score
FEN1 Antibodies
85.3% Relevancy Score
DSCC1 Antibodies
81.3% Relevancy Score
XPB Antibodies
78.2% Relevancy Score
BRD4 Antibodies
77.3% Relevancy Score
Top