ISO 9001:2015 Certified
Live Customer Support
4.5/5 on Trustpilot
100% Quality Guarantee

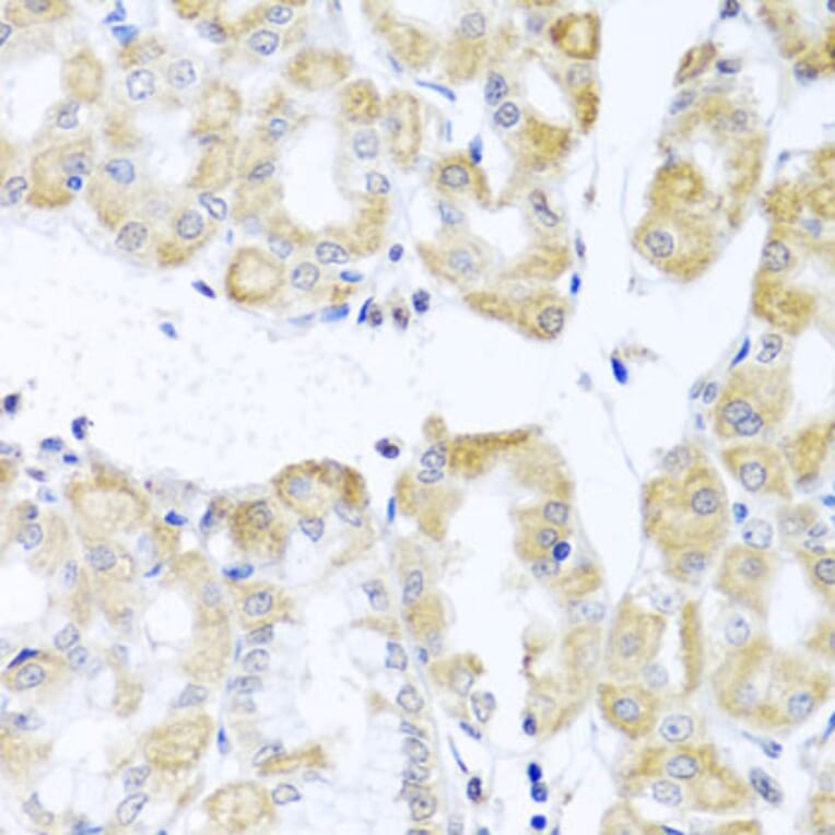
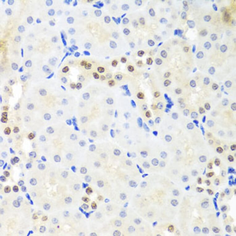
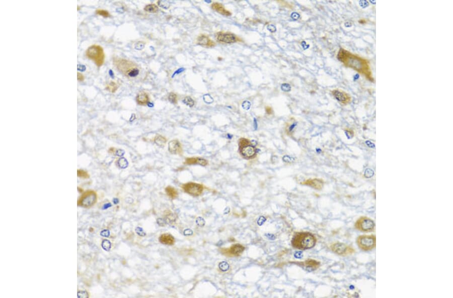
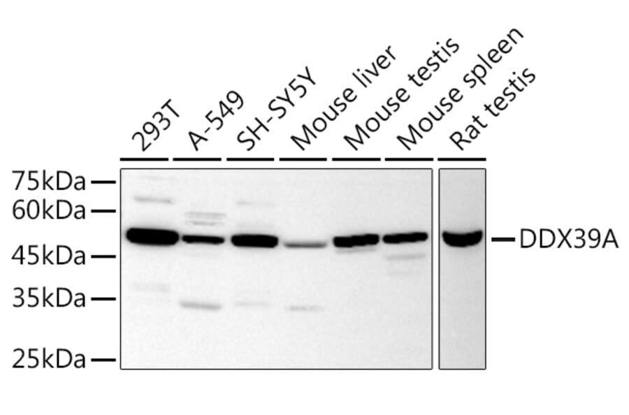
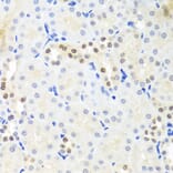
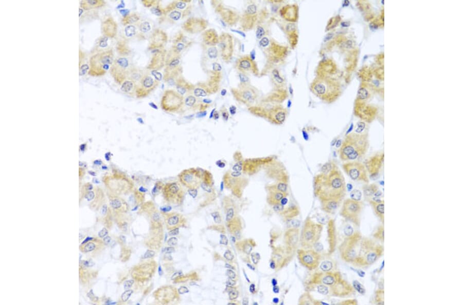
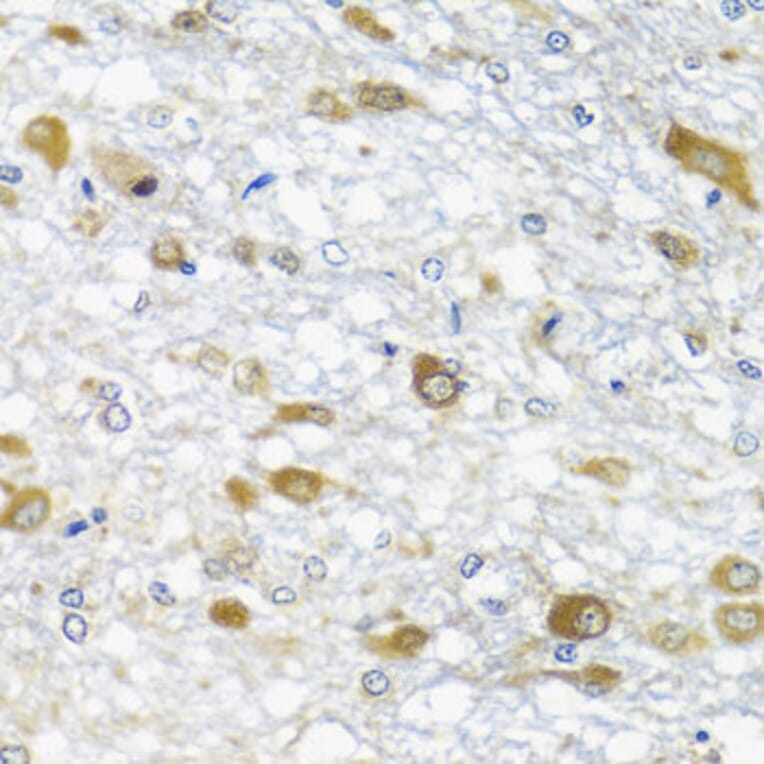
Anti-DDX39 Antibody (A16003)

Rabbit polyclonal antibody to DDX39 for WB, IHC and ICC/IF.

Shipping Information

$40
Dispatched from St. Louis, MO.
Lead Time: 7-10 business days.
Name
Anti-DDX39 Antibody
Description
Rabbit polyclonal antibody to DDX39.
Applications
WB, IHC, ICC/IF
Dilutions
WB: 1:500-1:1,000, IHC: 1:50-1:200, ICC/IF: 1:50-1:200
Reactivity
Human, Mouse, Rat
Immunogen
A synthetic peptide corresponding to a sequence within amino acids 1-100 of human DDX39A (NP_005795.2).
Sequence
MAEQDVENDLLDYDEEEEPQAPQESTPAPPKKDIKGSYVSIHSSGFRDFLLKPELLRAIVDCGFEHPSEVQHECIPQAILGMDVLCQAKSGMGKTAVFVL
Host
Rabbit
Clonality
Polyclonal
Isotype
IgG
Conjugate

Unconjugated

Purification
Affinity purification.
Concentration
Lot Specific
Molecular Weight
49 kDa
Product Form
Liquid
Formulation
Supplied in Phosphate Buffered Saline, pH 7.3, with 50% Glycerol and 0.05% Proclin 300.
Storage
Shipped at 4°C. Upon delivery aliquot and store at -20°C. Avoid freeze/thaw cycles.
Synonyms
ATP-dependent RNA helicase DDX39A, DEAD box protein 39, Nuclear RNA helicase URH49
Disclaimer
This product is for research use only. It is not intended for diagnostic or therapeutic use.
Publishing research using Anti-DDX39 Antibody (A16003)? Please let us know so that we can list the citation on this page.

Alternative products to Anti-DDX39 Antibody (A16003)

Proteins predicted to interact with DDX39A

Predicted protein interactions based upon String database. Revelancy score correlates with probability of interaction.
99.9% Relevancy Score
99.4% Relevancy Score
96.7% Relevancy Score
92.4% Relevancy Score
91.9% Relevancy Score
91.1% Relevancy Score
89.3% Relevancy Score
88.5% Relevancy Score