Primary Antibodies
Secondary Antibodies
Proteins & Peptides
ELISA Kits
About Us
Contact Us
Sign In/Register
0
ISO 9001:2015 Certified
Live Customer Support
4.5/5 on Trustpilot
100% Quality Guarantee
Home
Primary Antibodies
DDX4 Antibodies
Anti-DDX4 Antibody (A38647)
Anti-DDX4 Antibody (A38647)
Overview
Specifications
Images
Enlarge Image
Enlarge Image
$430
Product Datasheet
Rabbit polyclonal antibody to DDX4 for WB and IHC.
100% Guarantee
Price Match Guarantee
Product Size:
100µl
Quantity:
1
2
3
4
5
6
7
8
9
10
Add To Cart
Request a Quotation
Custom or Bulk Request
Shipping Information
Freight/Packing Charges:
$40
Dispatched from St. Louis, MO.
Lead Time: 6-9 business days.
Specifications
Name
Anti-DDX4 Antibody
Description
Rabbit polyclonal antibody to DDX4
Specificity
The antibody detects endogenous levels of total DDX4 protein.
Applications
WB
,
IHC
Reactivity
Human
Immunogen
Fusion protein corresponding to a region derived from internal residues of human DEAD (Asp-Glu-Ala-Asp) box polypeptide 4
Host
Rabbit
Clonality
Polyclonal
Conjugate
Unconjugated
Purification
Antigen affinity purification.
Concentration
0.7 mg/mL
Formulation
Supplied in PBS, pH 7.3, containing 0.05% sodium azide and 50% glycerol.
Storage
Shipped at 4°C. Upon delivery aliquot and store at -20°C. Avoid freeze/thaw cycles.
Synonyms
DEAD box protein 4, Probable ATP-dependent RNA helicase DDX4, VASA, Vasa homolog
Suitable Secondaries
Goat Anti-Rabbit IgG H&L Antibody (AP) (A294874)
Goat Anti-Rabbit IgG H&L Antibody (Biotin) (A294795)
Goat Anti-Rabbit IgG H&L Antibody (FITC) (A294887)
Goat Anti-Rabbit IgG H&L Antibody (HRP) (A294888)
See all Anti-Rabbit IgG Secondaries →
Disclaimer
This product is for research use only. It is not intended for diagnostic or therapeutic use.
Scientific Validation Data
Validation Data
(2)
Enlarge Image
Anti-DDX4 Antibody (A38647)
Gel: 8% SDS-PAGE Lysates (from left to right): SKOV3 and hela cell Amount of lysate: 40ug per lane Primary antibody: 1/300 dilution Secondary antibody dilution: 1/8000 Exposure time: 45 seconds
Enlarge Image
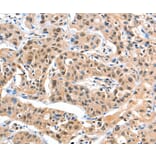
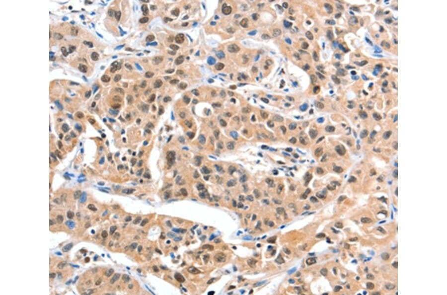
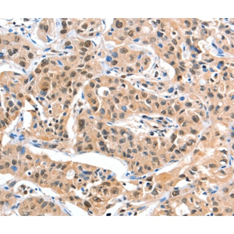
Immunohistochemistry - Anti-DDX4 Antibody (A38647)
Immunohistochemical analysis of paraffin-embedded Human lung cancer tissue using #35554 at dilution 1/20.
Publishing research using Anti-DDX4 Antibody (A38647)? Please
let us know
so that we can list the citation on this page.
Alternative products to Anti-DDX4 Antibody (A38647)
A42619
Anti-DDX4 Antibody
Rabbit polyclonal antibody to DDX4 for WB.
A345577
Anti-DDX4 Antibody [25GB1535]
Recombinant rabbit monoclonal [25GB1535] antibody to DDX4 for WB and Flow Cytometry.
A42619
Anti-DDX4 Antibody
Rabbit polyclonal antibody to DDX4 for WB.
A345577
Anti-DDX4 Antibody [25GB1535]
Recombinant rabbit monoclonal [25GB1535] antibody to DDX4 for WB and Flow Cytometry.
Proteins predicted to interact with DDX4
Predicted protein interactions based upon String database. Revelancy score correlates with probability of interaction.
PIWIL2 Antibodies
93.9% Relevancy Score
TDRD1 Antibodies
93% Relevancy Score
DAZL Antibodies
92.2% Relevancy Score
RanBP9 Antibodies
91% Relevancy Score
PP1C gamma Antibodies
84.3% Relevancy Score
TDRD9 Antibodies
82.7% Relevancy Score
PIWIL4 Antibodies
79.2% Relevancy Score
BOULE Antibodies
79.1% Relevancy Score
TOP1 Antibodies
78.7% Relevancy Score
Top