ISO 9001:2015 Certified
Live Customer Support
4.5/5 on Trustpilot
100% Quality Guarantee

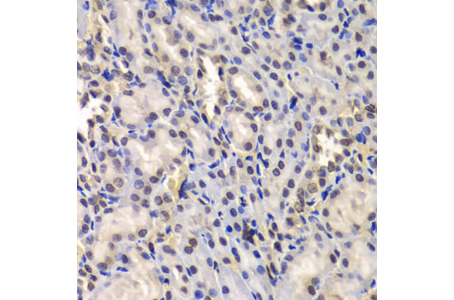
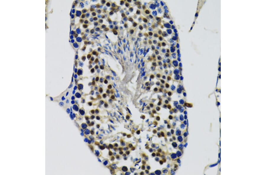
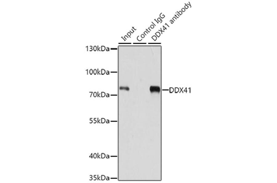
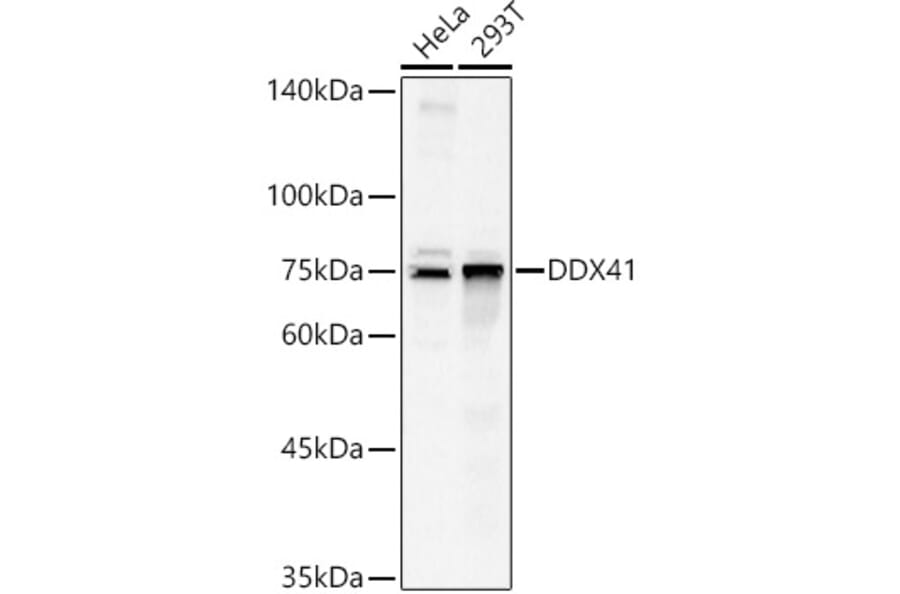
Anti-DDX41 Antibody (A15284)

Rabbit polyclonal antibody to DDX41 for WB, IHC, ICC/IF and IP.

Shipping Information

$40
Dispatched from St. Louis, MO.
Lead Time: 7-10 business days.
Name
Anti-DDX41 Antibody
Description
Rabbit polyclonal antibody to DDX41.
Applications
WB, IHC, ICC/IF, IP
Dilutions
WB: 1:500-1:1,000, IHC: 1:50-1:200, ICC/IF: 1:50-1:100, IP: 1:50-1:200
Reactivity
Human, Mouse, Rat
Immunogen
Recombinant fusion protein containing a sequence corresponding to amino acids 1-300 of human DDX41 (NP_057306.2).
Sequence
MEESEPERKRARTDEVPAGGSRSEAEDEDDEDYVPYVPLRQRRQLLLQKLLQRRRKGAAEEEQQDSGSEPRGDEDDIPLGPQSNVSLLDQHQHLKEKAEARKESAKEKQLKEEEKILESVAEGRALMSVKEMAKGITYDDPIKTSWTPPRYVLSMSEERHERVRKKYHILVEGDGIPPPIKSFKEMKFPAAILRGLKKKGIHHPTPIQIQGIPTILSGRDMIGIAFTGSGKTLVFTLPVIMFCLEQEKRLPFSKREGPYGLIICPSRELARQTHGILEYYCRLLQEDSSPLLRCALCIGG
Host
Rabbit
Clonality
Polyclonal
Isotype
IgG
Conjugate

Unconjugated

Purification
Affinity purification.
Concentration
Lot Specific
Molecular Weight
75 kDa
Product Form
Liquid
Formulation
Supplied in Phosphate Buffered Saline, pH 7.3, with 50% Glycerol and 0.02% Sodium Azide.
Storage
Shipped at 4°C. Upon delivery aliquot and store at -20°C. Avoid freeze/thaw cycles.
Synonyms
ABS, DEAD box protein 41, DEAD box protein abstrakt homolog, Probable ATP-dependent RNA helicase DDX41
Disclaimer
This product is for research use only. It is not intended for diagnostic or therapeutic use.
Publishing research using Anti-DDX41 Antibody (A15284)? Please let us know so that we can list the citation on this page.

Alternative products to Anti-DDX41 Antibody (A15284)

Proteins predicted to interact with DDX41

Predicted protein interactions based upon String database. Revelancy score correlates with probability of interaction.
93.6% Relevancy Score
92.9% Relevancy Score
92.6% Relevancy Score
91.3% Relevancy Score
87.4% Relevancy Score
87.4% Relevancy Score
87.3% Relevancy Score
85.7% Relevancy Score
85% Relevancy Score