ISO 9001:2015 Certified
Live Customer Support
4.5/5 on Trustpilot
100% Quality Guarantee

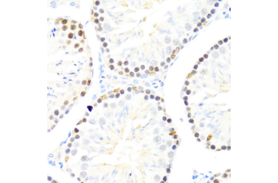
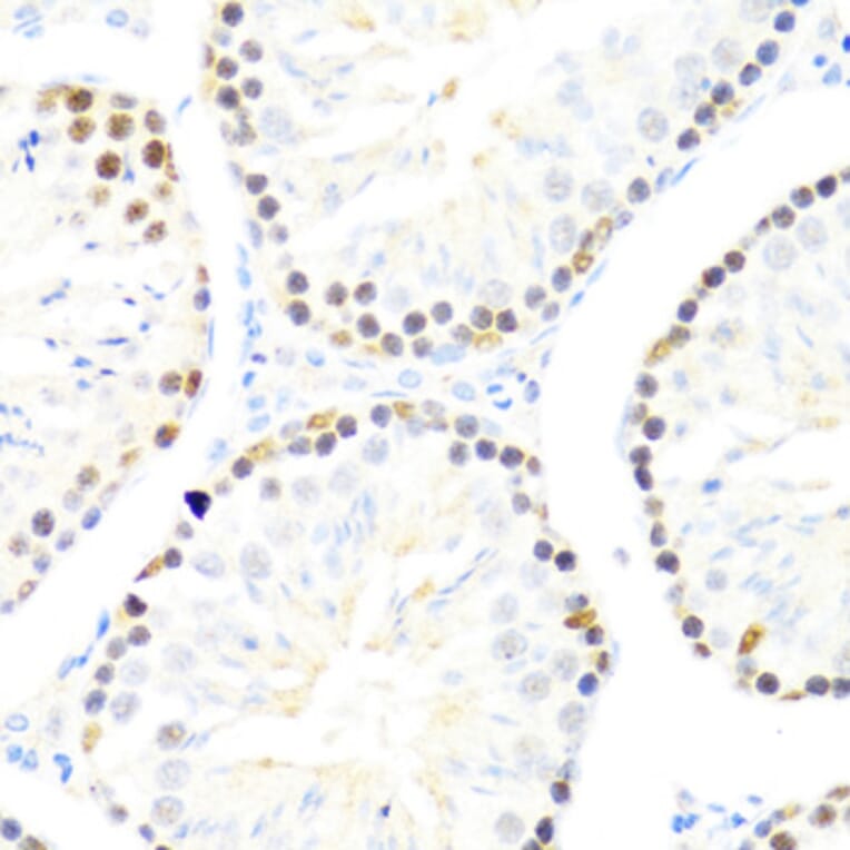
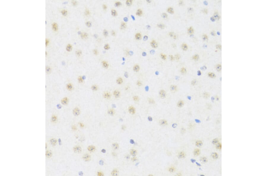
Anti-DDX50 Antibody (A87769)

Rabbit polyclonal antibody to DDX50 for WB, IHC and ICC/IF.

Shipping Information

$40
Dispatched from St. Louis, MO.
Lead Time: 7-10 business days.
Name
Anti-DDX50 Antibody
Description
Rabbit polyclonal antibody to DDX50.
Applications
WB, IHC, ICC/IF
Dilutions
WB: 1:200-1:2,000, IHC: 1:50-1:200, ICC/IF: 1:50-1:200
Reactivity
Human, Mouse, Rat
Immunogen
Recombinant fusion protein containing a sequence corresponding to amino acids 1-135 of human DDX50 (NP_076950.1).
Sequence
MPGKLLWGDIMELEAPLEESESQKKERQKSDRRKSRHHYDSDEKSETRENGVTDDLDAPKAKKSKMKEKLNGDTEEGFNRLSDEFSKSHKSRRKDLPNGDIDEYEKKSKRVSSLDTSTHKSSDNKLEETLTREQK
Host
Rabbit
Clonality
Polyclonal
Isotype
IgG
Conjugate

Unconjugated

Purification
Affinity purification.
Concentration
Lot Specific
Molecular Weight
105 kDa
Product Form
Liquid
Formulation
Supplied in Phosphate Buffered Saline, pH 7.3, with 50% Glycerol and 0.01% Thiomersal.
Storage
Shipped at 4°C. Upon delivery aliquot and store at -20°C. Avoid freeze/thaw cycles.
Synonyms
ATP-dependent RNA helicase DDX50, DEAD box protein 50, Gu-beta, Nucleolar protein Gu2
Disclaimer
This product is for research use only. It is not intended for diagnostic or therapeutic use.
Publishing research using Anti-DDX50 Antibody (A87769)? Please let us know so that we can list the citation on this page.

Alternative products to Anti-DDX50 Antibody (A87769)

Proteins predicted to interact with DDX50

Predicted protein interactions based upon String database. Revelancy score correlates with probability of interaction.
76.8% Relevancy Score
72% Relevancy Score
71.8% Relevancy Score
71% Relevancy Score
70.9% Relevancy Score
70.1% Relevancy Score
69.3% Relevancy Score
69.1% Relevancy Score
68.6% Relevancy Score