ISO 9001:2015 Certified
Live Customer Support
4.5/5 on Trustpilot
100% Quality Guarantee

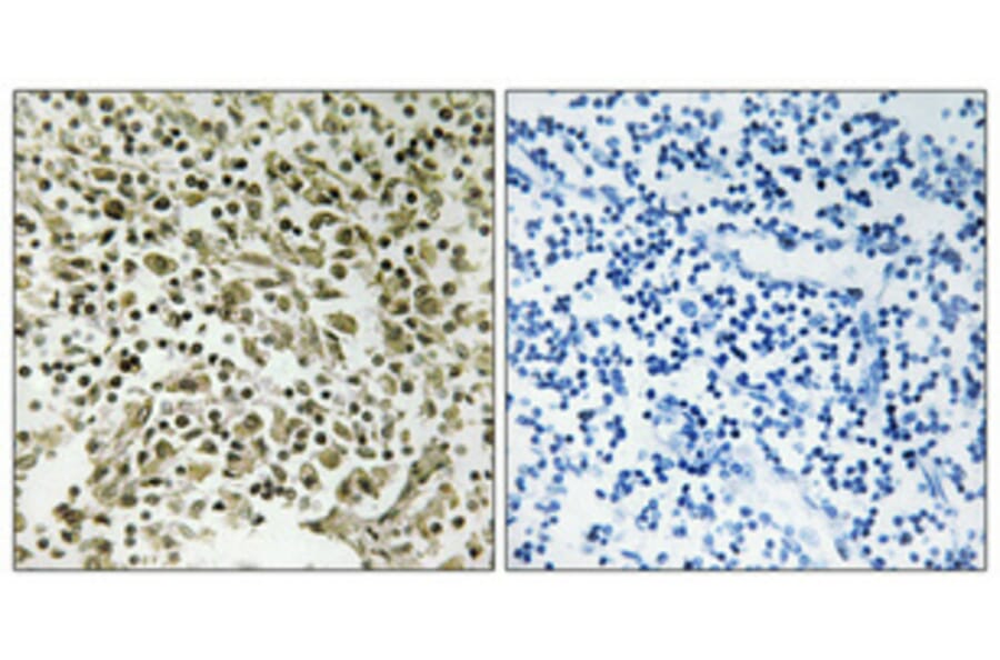
Anti-DDX55 Antibody (A99126)

Rabbit polyclonal antibody to DDX55 for WB, IHC, IF and ELISA.

Shipping Information

$40
Dispatched from St. Louis, MO.
Lead Time: 6-8 business days.
Name
Anti-DDX55 Antibody
Description
Rabbit polyclonal antibody to DDX55.
Applications
WB, IHC, IF, ELISA
Dilutions
WB: 1:500~1:1000, ELISA: 1:40000
Reactivity
Human, Mouse
Cross Reactivity
No reported cross-reactivity.
Immunogen
Synthetic peptide derived from human DDX55 (amino acids 91-140).
Host
Rabbit
Clonality
Polyclonal
Isotype
IgG
Conjugate

Unconjugated

Purification
Purified from rabbit serum by antigen affinity chromatography using the immunizing peptide.
Molecular Weight
68kDa
Product Form
Liquid
Formulation
Supplied in Phosphate Buffered Saline (without Mg2+ and Ca2+), pH 7.4, with 150mM NaCl, 0.02% Sodium Azide, and 50% Glycerol.
Storage
Shipped at 4°C. Upon delivery aliquot and store at -20°C. Avoid freeze / thaw cycles.
Synonyms
ATP-dependent RNA helicase DDX55, DEAD box protein 55, KIAA1595
Disclaimer
This product is for research use only. It is not intended for diagnostic or therapeutic use.
Publishing research using Anti-DDX55 Antibody (A99126)? Please let us know so that we can list the citation on this page.

Alternative products to Anti-DDX55 Antibody (A99126)

Proteins predicted to interact with DDX55

Predicted protein interactions based upon String database. Revelancy score correlates with probability of interaction.
98.4% Relevancy Score
97.7% Relevancy Score
97.2% Relevancy Score
96.2% Relevancy Score
96.2% Relevancy Score
96.2% Relevancy Score
95.7% Relevancy Score
95.1% Relevancy Score