ISO 9001:2015 Certified
Live Customer Support
4.5/5 on Trustpilot
100% Quality Guarantee

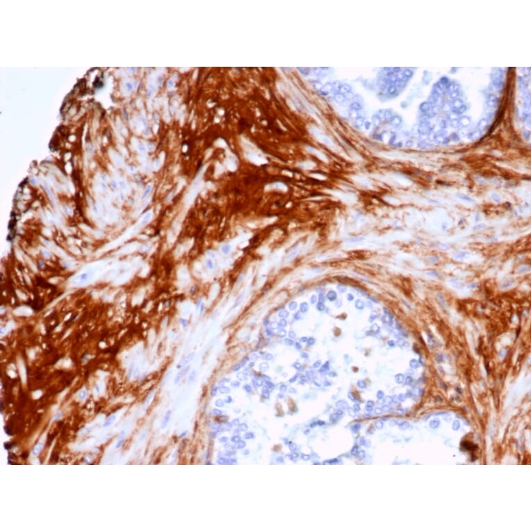
Recombinant Anti-Decorin Antibody [DCN/7031R] - BSA and Azide free (A278558)

Recombinant rabbit monoclonal [DCN/7031R] antibody to Decorin for IHC-P.

Alternative Formats and ConjugatesAlternative Formats

Shipping Information

$40
Dispatched from St. Louis, MO.
Lead Time: 5-8 business days.
Name
Anti-Decorin Antibody [DCN/7031R] - BSA and Azide free
Description
Recombinant rabbit monoclonal [DCN/7031R] antibody to Decorin.
Specificity
Decorin is a small leucine-rich proteoglycan (SLRP) family member that consists of a glycosaminoglycan chain-containing core protein. The core protein contains ten leucine rich repeats that contain sites for glycosylation, flanked by disulfide bond stabilizing loops. Decorin binds to Collagen Type I, II and IV in vivo and promotes the formation of fibers with variations in stability and solubility. The Decorin core protein binds to growth factors, intercellular matrix molecules, such as Fibronectin and Thrombospondin, and to the Decorin endocytosis receptor. Decorin binds to and inhibits TGFβ and is a direct or indirect negative modulator of TGFβ synthesis. Inhibition of Decorin core protein gene expression by the combination of IFN-γ and TNFα may contribute to cartilage destruction that is characteristic of inflammatory joint diseases. For immunostaining, pre-incubation with chondroitinase-SBC or testicular hyaluronidase may be required to expose the epitope.
Applications
IHC-P
Dilutions
IHC-P: 1-2 µg/ml
Reactivity
Human
Immunogen
Recombinant fragment, around amino acids 212-336, of human Decorin. The exact sequence is proprietary.
Host
Rabbit
Clonality
Monoclonal
Clone ID
DCN/7031R
Isotype
IgG
Conjugate

Unconjugated

Purification
Protein A/G chromatography.
Concentration
1 mg/ml
Molecular Weight
43 kDa
Product Form
Liquid
Formulation
Supplied in 10mM Phosphate Buffered Saline; without Sodium Azide and carrier free.
Storage
Shipped at 4°C. Upon delivery aliquot and store at -20°C. Avoid freeze / thaw cycles.
General Notes
This monoclonal antibody is also available in a different formulation with BSA and Sodium Azide - Anti-Decorin Antibody [DCN/7031R] (A277970).
Synonyms
Bone proteoglycan II, DCN, PG-S2, PG40, SLRR1B
Disclaimer
This product is for research use only. It is not intended for diagnostic or therapeutic use.
Publishing research using Recombinant Anti-Decorin Antibody [DCN/7031R] - BSA and Azide free (A278558)? Please let us know so that we can list the citation on this page.

Alternative products to Anti-Decorin Antibody [DCN/7031R] - BSA and Azide free (A278558)

Proteins predicted to interact with Decorin

Predicted protein interactions based upon String database. Revelancy score correlates with probability of interaction.
99.9% Relevancy Score
99.9% Relevancy Score
99.6% Relevancy Score
99.3% Relevancy Score
99% Relevancy Score
98.9% Relevancy Score
98.9% Relevancy Score
98.9% Relevancy Score
98.8% Relevancy Score