ISO 9001:2015 Certified
Live Customer Support
4.5/5 on Trustpilot
100% Quality Guarantee

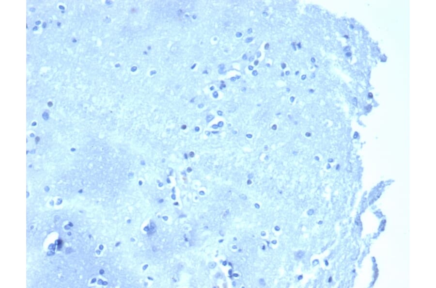
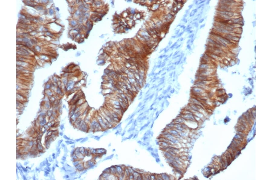
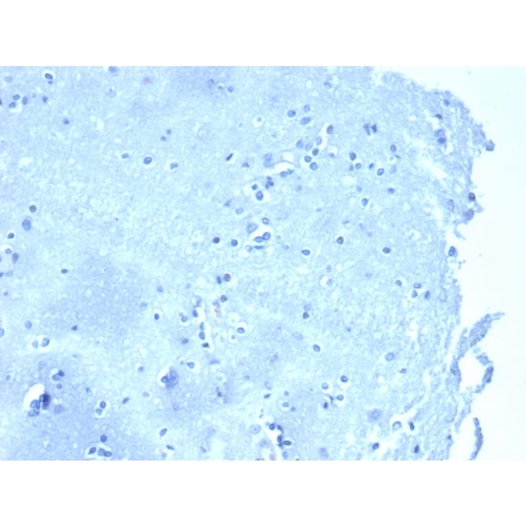
Recombinant Anti-delta 1 Catenin Antibody [CTNND1/4383R] (A277969)

Recombinant rabbit monoclonal [CTNND1/4383R] antibody to delta 1 Catenin for IHC-P.

Alternative Formats and ConjugatesAlternative Formats

Shipping Information

$40
Dispatched from St. Louis, MO.
Lead Time: 5-8 business days.
Name
Anti-delta 1 Catenin Antibody [CTNND1/4383R]
Description
Recombinant rabbit monoclonal [CTNND1/4383R] antibody to delta 1 Catenin.
Specificity
Alpha-catenin and beta-catenin bind to the intracellular domain of E-cadherin while p120 catenin binds E-cadherin at a juxta-membrane site. The complex stabilizes tight junctions. In the cell, p120 catenin localized to the E-cadherin/catenins cell adhesion complex, directly associates with cytoplasmic C-terminus of E-cadherin and may similarly interact with other cadherins. p120 is a proliferation-associated nucleolar protein found in most human malignant tumors, but not in resting normal cells. In colorectal cancer the altered localization of p120 catenin corresponds with loss of cytoplasmic localization of E-cadherin. Studies have shown accurate categorization of ductal vs. lobular neoplasia in the breast was achieved with p120 staining. p120 expression further clarifies the separation of low-grade ductal carcinoma in situ from lobular neoplasia. Studies also have shown that altered expression of p120 catenin antibody predicts poor outcome in invasive breast cancer.
Applications
IHC-P
Dilutions
IHC-P: 1-2 µg/ml
Reactivity
Human
Immunogen
Recombinant fragment, around amino acids 900-1,000, of human delta 1 Catenin protein. The exact sequence is proprietary.
Host
Rabbit
Clonality
Monoclonal
Clone ID
CTNND1/4383R
Isotype
IgG
Conjugate

Unconjugated

Purification
Protein A/G chromatography.
Concentration
200 µg/ml
Molecular Weight
120 kDa
Product Form
Liquid
Formulation
Supplied in 10mM Phosphate Buffered Saline with 0.05% BSA and 0.05% Sodium Azide.
Storage
Shipped at 4°C. Upon delivery aliquot and store at -20°C. Avoid freeze / thaw cycles.
General Notes
This monoclonal antibody is also available in a different formulation without BSA and Sodium Azide - Anti-delta 1 Catenin Antibody [CTNND1/4383R] - BSA and Azide free (A278557).
Synonyms
Cadherin associated Src substrate, Cadherin-associated Src substrate, CAS, Catenin (cadherin associated protein) delta 1, Catenin delta, Catenin delta 1, Catenin delta-1, CTND1_HUMAN, CTNND, CTNND 1, CTNND1, KIAA0384, p120, P120 CAS, p120 catenin, P120 CTN, p120(cas), p120(ctn), P120CAS, P120CTN
Disclaimer
This product is for research use only. It is not intended for diagnostic or therapeutic use.
Publishing research using Recombinant Anti-delta 1 Catenin Antibody [CTNND1/4383R] (A277969)? Please let us know so that we can list the citation on this page.

Alternative products to Anti-delta 1 Catenin Antibody [CTNND1/4383R] (A277969)