Western Blot - Anti-delta 1 Catenin/CAS Antibody [ARC0586] (A81041)
Western blot analysis of extracts of various cell lines, using Anti-delta 1 Catenin/CAS Antibody (A81041) at 1:1,000 dilution. The secondary antibody was Goat Anti-Rabbit IgG H&L Antibody (HRP) at 1:10,000 dilution. Lysates/proteins were present at 25µg per lane. The blocking buffer used was 3% non-fat dry milk in TBST. Detection was with a ECL Basic Kit. Exposure time: 3min.
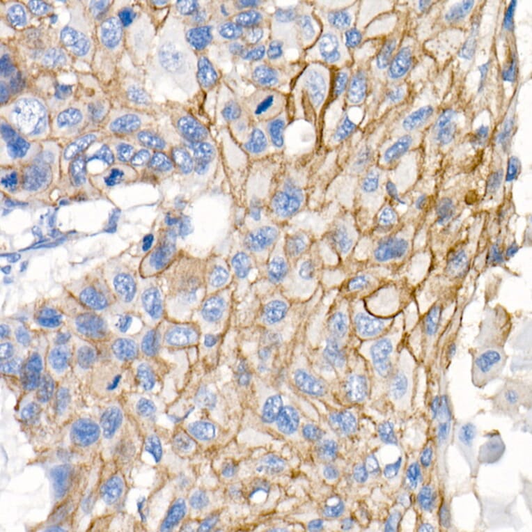
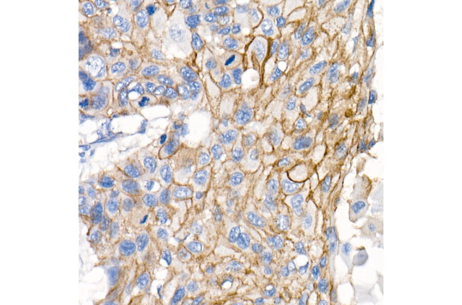
Immunohistochemistry analysis of paraffin-embedded human lung squamous carcinoma tissue using Anti-delta 1 Catenin/CAS Antibody (A81041) at a dilution of 1:500 (40x lens). Perform microwave antigen retrieval with 10 mM PBS buffer pH 7.2 before commencing with IHC staining protocol.
Immunohistochemistry analysis of paraffin-embedded human tonsil using Anti-delta 1 Catenin/CAS Antibody (A81041) at a dilution of 1:500 (40x lens). Perform microwave antigen retrieval with 10 mM PBS buffer pH 7.2 before commencing with IHC staining protocol.
Immunohistochemistry analysis of paraffin-embedded human brain (negative control sample) using Anti-delta 1 Catenin/CAS Antibody (A81041) at a dilution of 1:500 (40x lens). Perform microwave antigen retrieval with 10 mM PBS buffer pH 7.2 before commencing with IHC staining protocol.
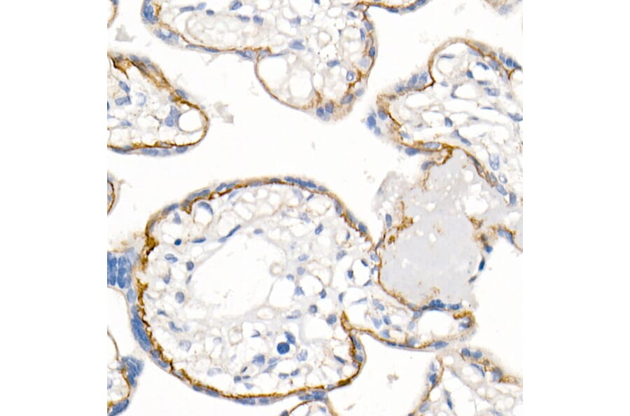
Immunohistochemistry analysis of paraffin-embedded human placenta using Anti-delta 1 Catenin/CAS Antibody (A81041) at a dilution of 1:500 (40x lens). Perform microwave antigen retrieval with 10 mM PBS buffer pH 7.2 before commencing with IHC staining protocol.
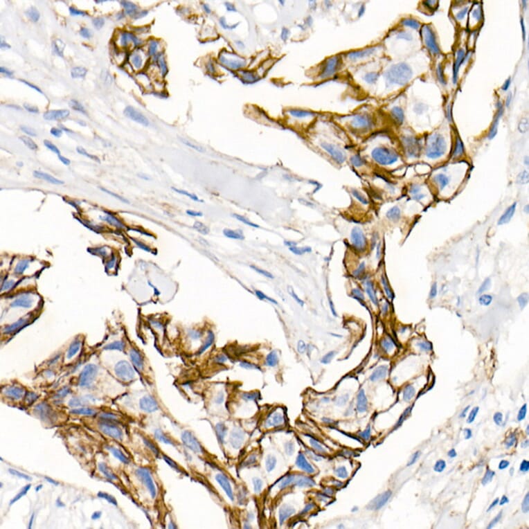
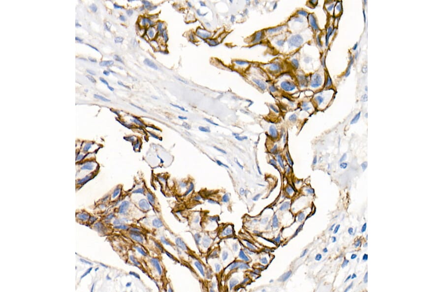
Immunohistochemistry analysis of paraffin-embedded human breast ductal carcinoma tissue using Anti-delta 1 Catenin/CAS Antibody (A81041) at a dilution of 1:500 (40x lens). Perform microwave antigen retrieval with 10 mM PBS buffer pH 7.2 before commencing with IHC staining protocol.
Western Blot - Anti-delta 1 Catenin/CAS Antibody [ARC0586] (A81041)
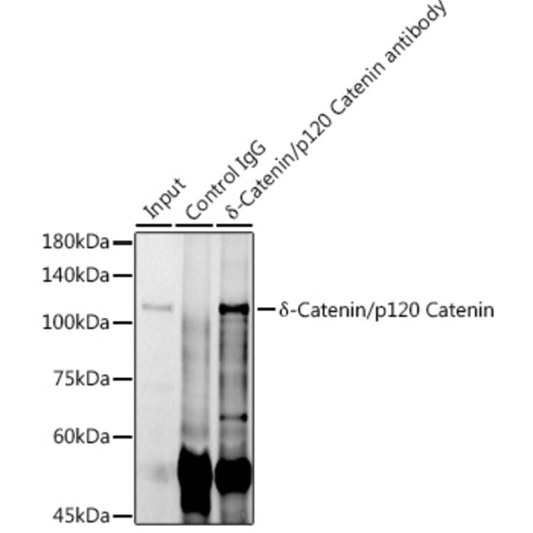
Immunoprecipitation analysis of 600µg extracts of mouse testis cells using 3µg of Anti-delta 1 Catenin/CAS Antibody (A81041). This Western blot was performed on the immunoprecipitate using Anti-delta 1 Catenin/CAS Antibody (A81041) at a dilution of 1:1000.