ISO 9001:2015 Certified
Live Customer Support
4.5/5 on Trustpilot
100% Quality Guarantee

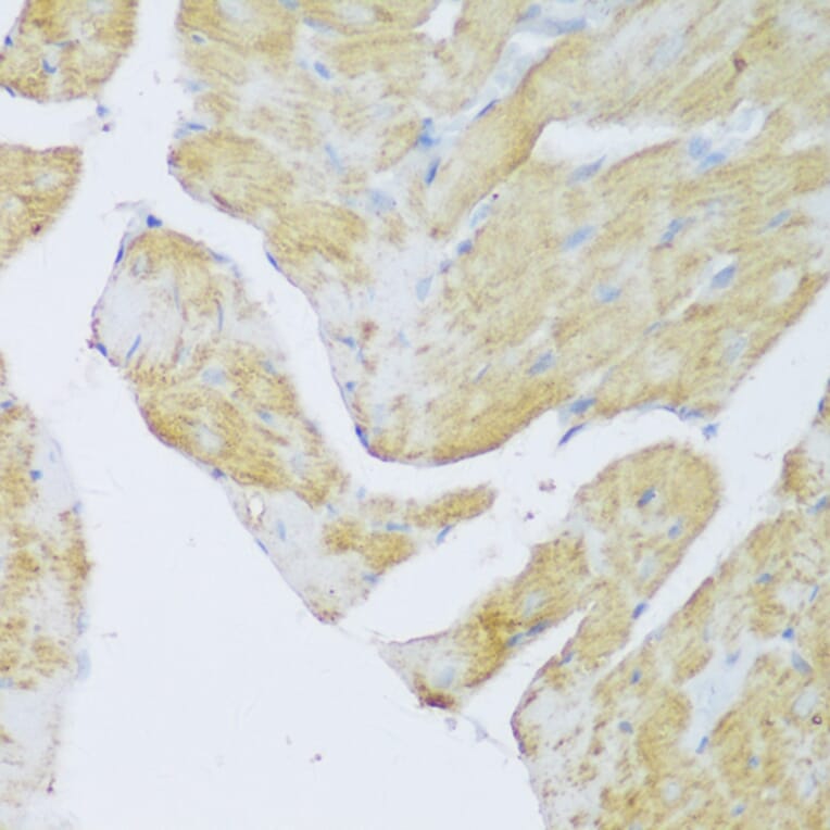
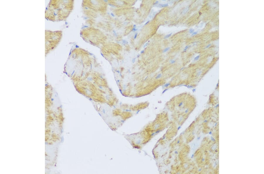
Anti-Density Regulated Protein Antibody (A89155)

Rabbit polyclonal antibody to Density Regulated Protein for WB and IHC.

Shipping Information

$40
Dispatched from St. Louis, MO.
Lead Time: 7-10 business days.
Name
Anti-Density Regulated Protein Antibody
Description
Rabbit polyclonal antibody to Density Regulated Protein.
Applications
WB, IHC
Dilutions
WB: 1:500-1:2,000, IHC: 1:50-1:200
Reactivity
Human, Mouse, Rat
Immunogen
Recombinant fusion protein containing a sequence corresponding to amino acids 1-198 of human DENR (NP_003668.2).
Sequence
MAADISESSGADCKGDPRNSAKLDADYPLRVLYCGVCSLPTEYCEYMPDVAKCRQWLEKNFPNEFAKLTVENSPKQEAGISEGQGTAGEEEEKKKQKRGGRGQIKQKKKTVPQKVTIAKIPRAKKKYVTRVCGLATFEIDLKEAQRFFAQKFSCGASVTGEDEIIIQGDFTDDIIDVIQEKWPEVDDDSIEDLGEVKK
Host
Rabbit
Clonality
Polyclonal
Isotype
IgG
Conjugate

Unconjugated

Purification
Affinity purification.
Concentration
Lot Specific
Molecular Weight
30 kDa
Product Form
Liquid
Formulation
Supplied in Phosphate Buffered Saline, pH 7.3, with 50% Glycerol and 0.01% Thiomersal.
Storage
Shipped at 4°C. Upon delivery aliquot and store at -20°C. Avoid freeze/thaw cycles.
Synonyms
DENR, Density-regulated protein, DRP, DRP1, Protein DRP1, SMAP-3, Smooth muscle cell-associated protein 3
Disclaimer
This product is for research use only. It is not intended for diagnostic or therapeutic use.
Publishing research using Anti-Density Regulated Protein Antibody (A89155)? Please let us know so that we can list the citation on this page.

Alternative products to Anti-Density Regulated Protein Antibody (A89155)

Proteins predicted to interact with Density Regulated Protein

Predicted protein interactions based upon String database. Revelancy score correlates with probability of interaction.
99.9% Relevancy Score
99.5% Relevancy Score
99.4% Relevancy Score
99.4% Relevancy Score
97.4% Relevancy Score
97.4% Relevancy Score
97.1% Relevancy Score
97% Relevancy Score