ISO 9001:2015 Certified
Live Customer Support
4.5/5 on Trustpilot
100% Quality Guarantee

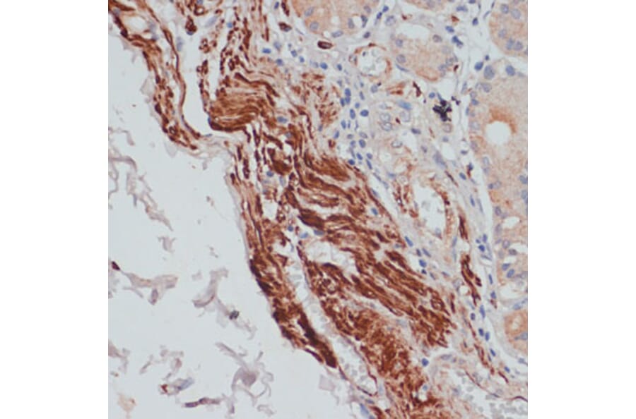
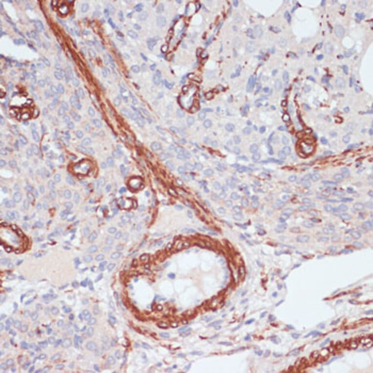
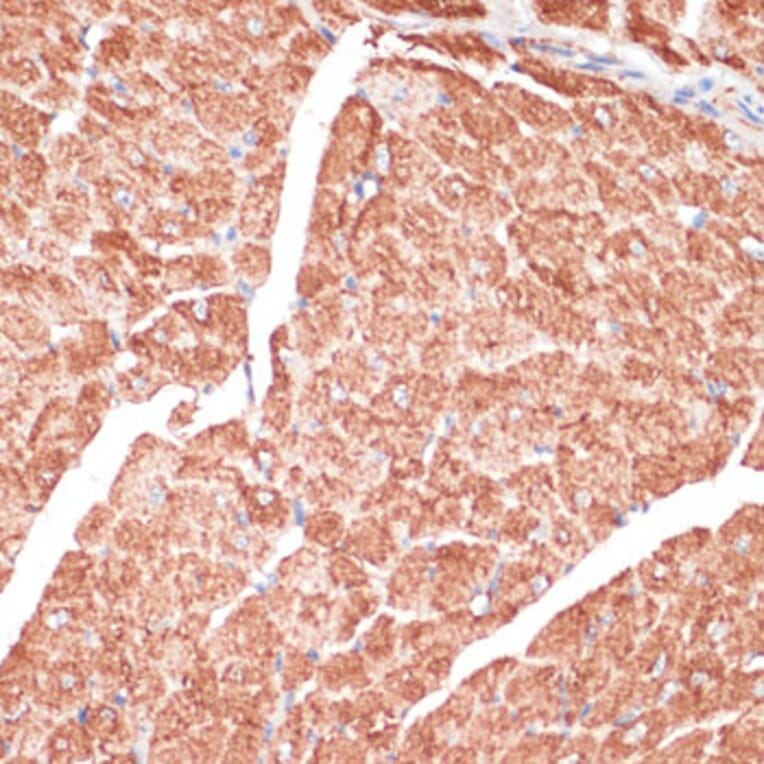
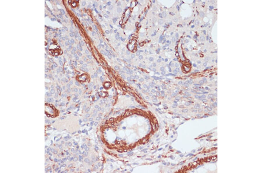
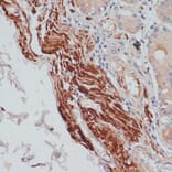
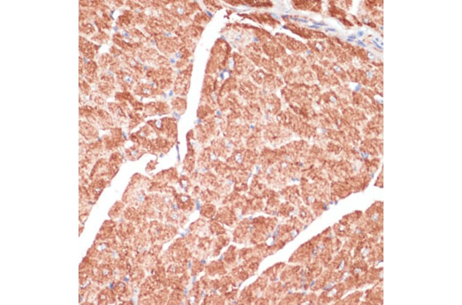
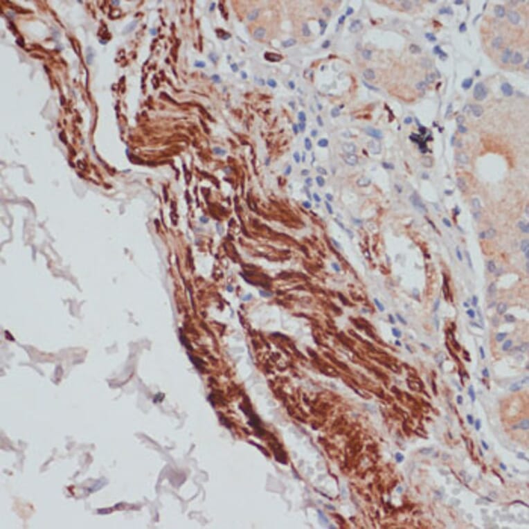
Anti-Desmin Antibody (A8809)

This product is discontinued

Anti-Desmin Antibody (A8809) has been discontinued and is no longer available.

View all Desmin Antibodies.

Name
Anti-Desmin Antibody
Description
Rabbit polyclonal antibody to Desmin.
Applications
WB, IHC
Dilutions
WB: 1:500-1:2,000, IHC: 1:50-1:200
Reactivity
Human, Mouse, Rat
Immunogen
Recombinant fusion protein containing a sequence corresponding to amino acids 121-470 of human Desminmin (NP_001918.3).
Sequence
NYIEKVRFLEQQNAALAAEVNRLKGREPTRVAELYEEELRELRRQVEVLTNQRARVDVERDNLLDDLQRLKAKLQEEIQLKEEAENNLAAFRADVDAATLARIDLERRIESLNEEIAFLKKVHEEEIRELQAQLQEQQVQVEMDMSKPDLTAALRDIRAQYETIAAKNISEAEEWYKSKVSDLTQAANKNNDALRQAKQEMMEYRHQIQSYTCEIDALKGTNDSLMRQMRELEDRFASEASGYQDNIARLEEEIRHLKDEMARHLREYQDLLNVKMALDVEIATYRKLLEGEESRINLPIQTYSALNFRETSPEQRGSEVHTKKTVMIKTIETRDGEVVSEATQQQHEVL
Host
Rabbit
Clonality
Polyclonal
Isotype
IgG
Conjugate

Unconjugated

Purification
Affinity purification.
Molecular Weight
54 kDa
Product Form
Liquid
Formulation
Supplied in Phosphate Buffered Saline, pH 7.3, with 50% Glycerol and 0.02% Sodium Azide.
Storage
Shipped at 4°C. Upon delivery aliquot and store at -20°C. Avoid freeze / thaw cycles.
Synonyms
DES
Disclaimer
This product is for research use only. It is not intended for diagnostic or therapeutic use.

Alternative products to Anti-Desmin Antibody (A8809)

Proteins predicted to interact with Desmin

Predicted protein interactions based upon String database. Revelancy score correlates with probability of interaction.
95.7% Relevancy Score
93.5% Relevancy Score
89% Relevancy Score
86% Relevancy Score
85.5% Relevancy Score
84.3% Relevancy Score
80.2% Relevancy Score
80% Relevancy Score
75.8% Relevancy Score