ISO 9001:2015 Certified
Live Customer Support
4.5/5 on Trustpilot
100% Quality Guarantee

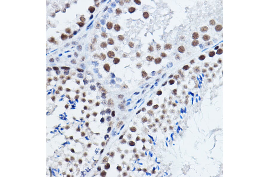
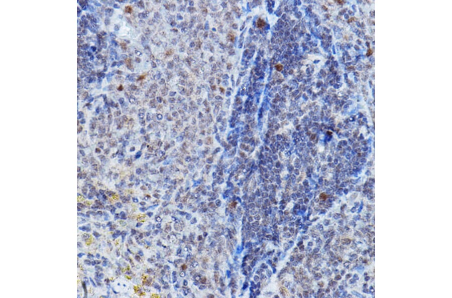
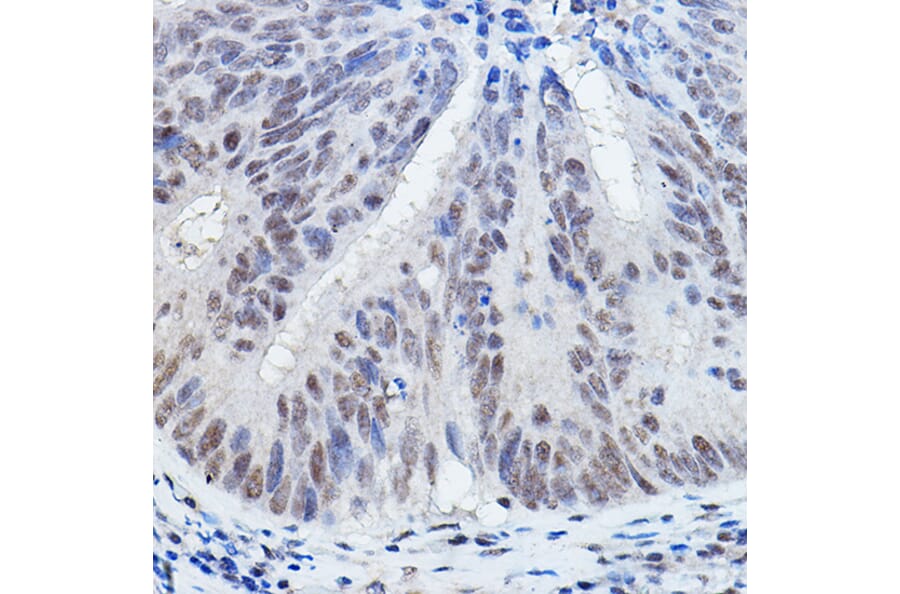
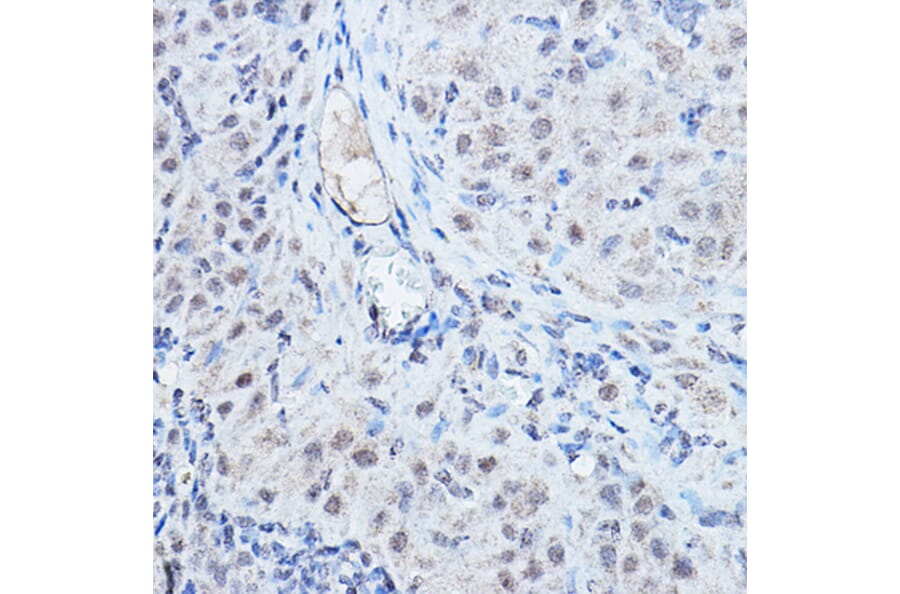
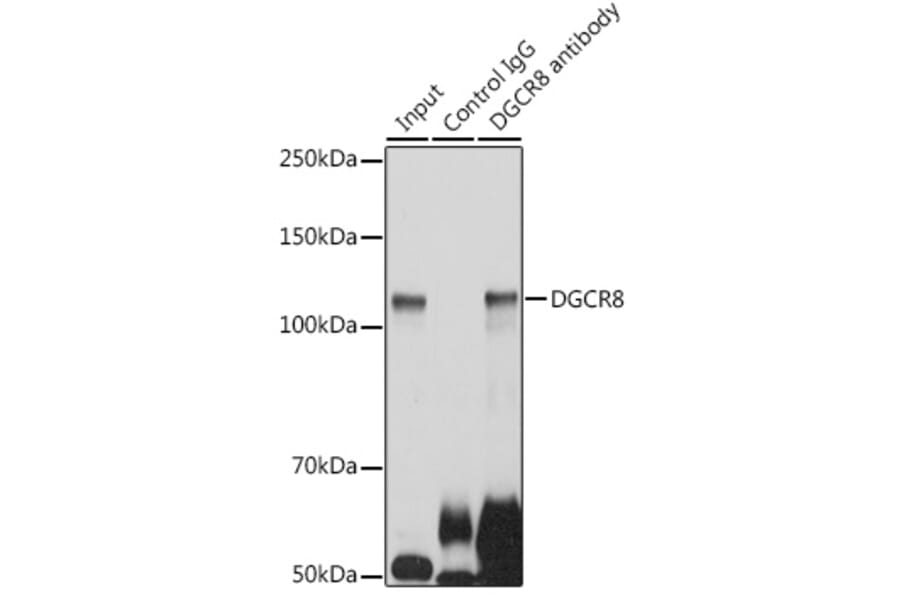
Anti-DGCR8 Antibody (A305592)

Rabbit polyclonal antibody to DGCR8 for WB, IHC and IP.

Shipping Information

$40
Dispatched from St. Louis, MO.
Lead Time: 7-10 business days.
Name
Anti-DGCR8 Antibody
Description
Rabbit polyclonal antibody to DGCR8.
Applications
WB, IHC, IP
Dilutions
WB: 1:500-1:2,000, IHC: 1:50-1:200, IP: 1:500-1:1,000
Reactivity
Human, Mouse, Rat
Immunogen
Recombinant fusion protein containing a sequence corresponding to amino acids 180-340 of human DGCR8 (NP_073557.3).
Sequence
DKKDEENELDQEKRVEYAVLDELEDFTDNLELDEEGAGGFTAKAIVQRDRVDEEALNFPYEDDFDNDVDALLEEGLCAPKKRRTEEKYGGDSDHPSDGETSVQPMMTKIKTVLKSRGRPPTEPLPDGWIMTFHNSGVPVYLHRESRVVTWSRPYFLGTGSI
Host
Rabbit
Clonality
Polyclonal
Isotype
IgG
Conjugate

Unconjugated

Purification
Affinity purification.
Concentration
Lot Specific
Molecular Weight
110 kDa
Product Form
Liquid
Formulation
Supplied in Phosphate Buffered Saline, pH 7.3, with 50% Glycerol and 0.01% Thiomersal.
Storage
Shipped at 4°C. Upon delivery aliquot and store at -20°C. Avoid freeze/thaw cycles.
Synonyms
C22orf12, DGCRK6, DiGeorge syndrome critical region 8, Microprocessor complex subunit DGCR8
Disclaimer
This product is for research use only. It is not intended for diagnostic or therapeutic use.
Publishing research using Anti-DGCR8 Antibody (A305592)? Please let us know so that we can list the citation on this page.

Alternative products to Anti-DGCR8 Antibody (A305592)

Proteins predicted to interact with DGCR8

Predicted protein interactions based upon String database. Revelancy score correlates with probability of interaction.
99.9% Relevancy Score
99.6% Relevancy Score
99.3% Relevancy Score
99.3% Relevancy Score
99.1% Relevancy Score
98.9% Relevancy Score
98.5% Relevancy Score
98.4% Relevancy Score
97.4% Relevancy Score