ISO 9001:2015 Certified
Live Customer Support
4.5/5 on Trustpilot
100% Quality Guarantee

Anti-DGK-ι (K1023) Antibody (A25877)

$390

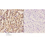
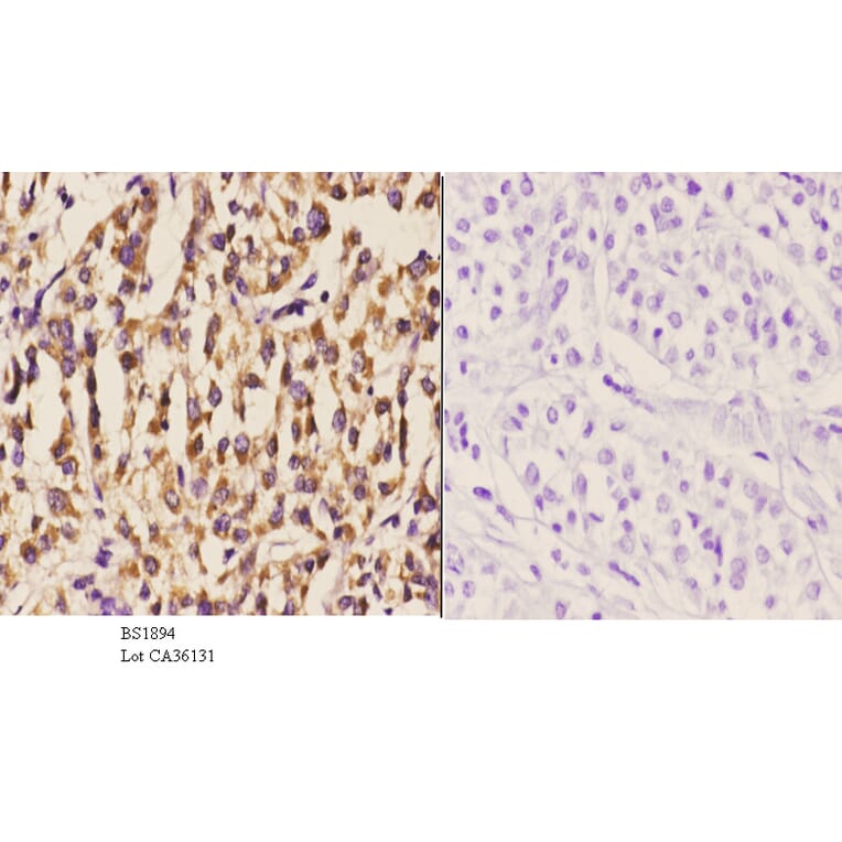
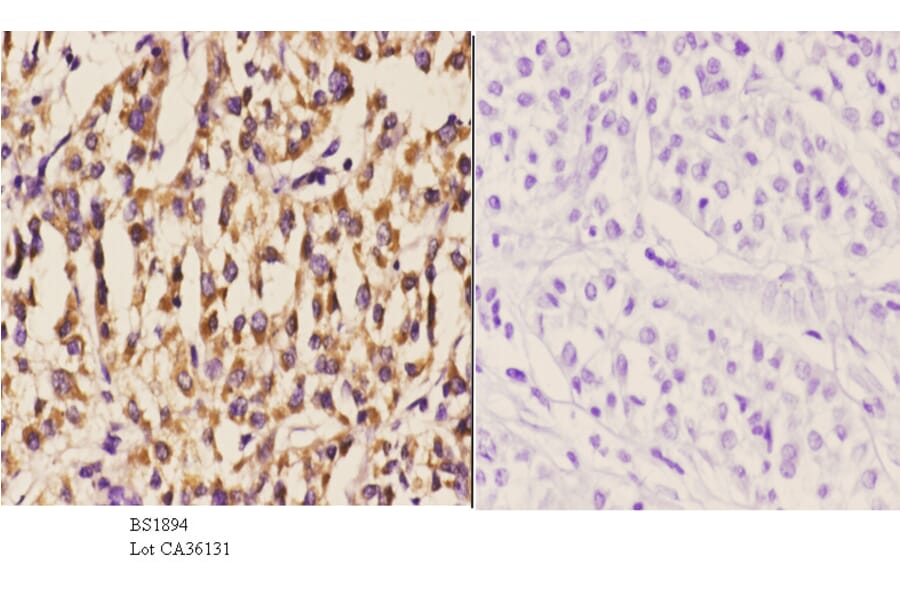
Rabbit polyclonal antibody to DGK-ι (K1023) for WB, IHC and IF.

Shipping Information

$40
Dispatched from St. Louis, MO.
Lead Time: 7-10 business days.
Name
Anti-DGK-ι (K1023) Antibody
Description
Rabbit polyclonal antibody to DGK-ι (K1023)
Specificity
DGK-ι (K1023) pAb detects endogenous levels of DGK-ι protein.
Applications
WB, IHC, IF
Reactivity
Human, Mouse, Rat
Immunogen
Synthetic peptide, corresponding to amino acids 1001-1050 of Human DGK-ι.
Host
Rabbit
Clonality
Polyclonal
Conjugate

Unconjugated

Molecular Weight
~ 130 kDa
Purity
The antibody was affinity-purified from rabbit antiserum by affinity-chromatography using epitope-specific immunogen and the purity is > 95% (by SDS-PAGE).
Product Form
1 mg/ml in Phosphate buffered saline (PBS) with 15 mM sodium azide, approx. pH 7.2.
Disclaimer
This product is for research use only. It is not intended for diagnostic or therapeutic use.
Publishing research using Anti-DGK-ι (K1023) Antibody (A25877)? Please let us know so that we can list the citation on this page.