ISO 9001:2015 Certified
Live Customer Support
4.5/5 on Trustpilot
100% Quality Guarantee

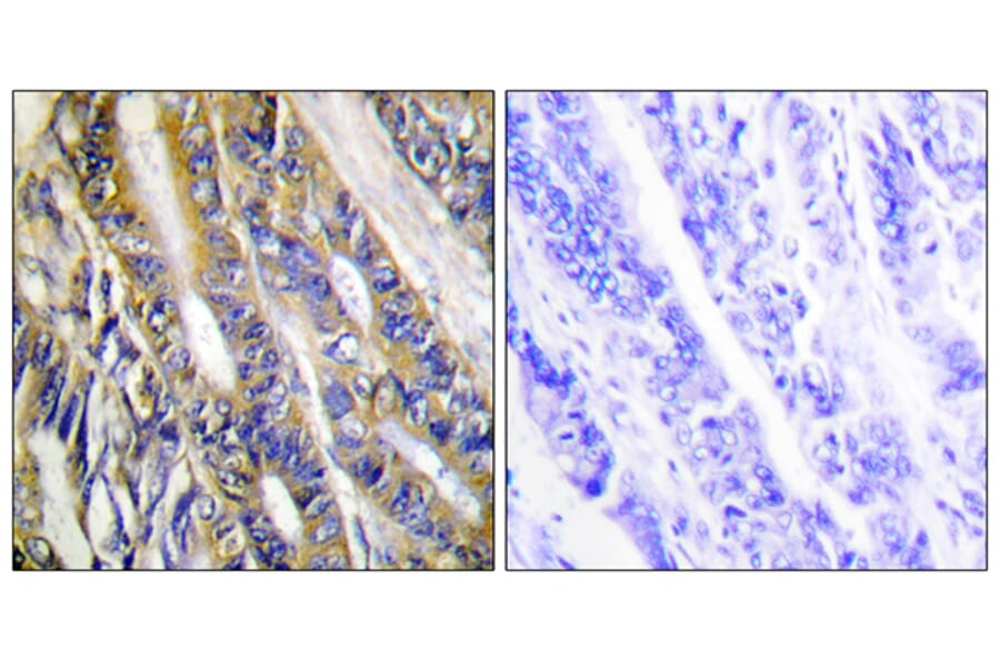
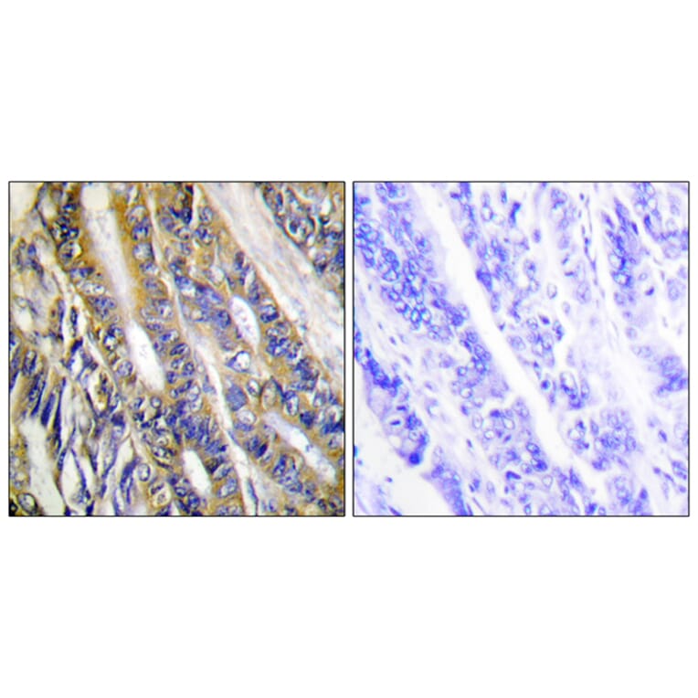
Anti-DGKH Antibody (A98199)

Rabbit polyclonal antibody to DGKH for IHC, IF and ELISA.

Shipping Information

$40
Dispatched from St. Louis, MO.
Lead Time: 6-8 business days.
Name
Anti-DGKH Antibody
Description
Rabbit polyclonal antibody to DGKH.
Applications
IHC, IF, ELISA
Dilutions
IHC: 1:50~1:100, IF: 1:100~1:500, ELISA: 1:5000
Reactivity
Human, Mouse
Cross Reactivity
No reported cross-reactivity.
Immunogen
Synthetic peptide derived from human DGKH (amino acids 771-820).
Host
Rabbit
Clonality
Polyclonal
Isotype
IgG
Conjugate

Unconjugated

Purification
Purified from rabbit serum by antigen affinity chromatography using the immunizing peptide.
Molecular Weight
134kDa
Product Form
Liquid
Formulation
Supplied in Phosphate Buffered Saline (without Mg2+ and Ca2+), pH 7.4, with 150mM NaCl, 0.02% Sodium Azide, and 50% Glycerol.
Storage
Shipped at 4°C. Upon delivery aliquot and store at -20°C. Avoid freeze / thaw cycles.
Synonyms
DAG kinase eta, DGK-eta, Diacylglycerol kinase eta, Diglyceride kinase eta
Disclaimer
This product is for research use only. It is not intended for diagnostic or therapeutic use.
Publishing research using Anti-DGKH Antibody (A98199)? Please let us know so that we can list the citation on this page.

Alternative products to Anti-DGKH Antibody (A98199)

Proteins predicted to interact with DGKH

Predicted protein interactions based upon String database. Revelancy score correlates with probability of interaction.
90.2% Relevancy Score
82.8% Relevancy Score
80.9% Relevancy Score
73.8% Relevancy Score
73% Relevancy Score
71.8% Relevancy Score
71.5% Relevancy Score
71.3% Relevancy Score