Primary Antibodies
Secondary Antibodies
Proteins & Peptides
ELISA Kits
About Us
Contact Us
Sign In/Register
0
ISO 9001:2015 Certified
Live Customer Support
4.5/5 on Trustpilot
100% Quality Guarantee
Home
Primary Antibodies
DHCR7 Antibodies
Anti-DHCR7 Antibody (A45993)
Anti-DHCR7 Antibody (A45993)
Overview
Specifications
Images
Enlarge Image
Enlarge Image
$430
Product Datasheet
Rabbit polyclonal antibody to DHCR7 for IHC.
100% Guarantee
Price Match Guarantee
Product Size:
100µl
Quantity:
1
2
3
4
5
6
7
8
9
10
Add To Cart
Request a Quotation
Custom or Bulk Request
Shipping Information
Freight/Packing Charges:
$40
Dispatched from St. Louis, MO.
Lead Time: 6-9 business days.
Specifications
Name
Anti-DHCR7 Antibody
Description
Rabbit polyclonal antibody to DHCR7
Specificity
The antibody detects endogenous levels of total DHCR7 protein.
Applications
IHC
Reactivity
Human, Mouse
Immunogen
Fusion protein corresponding to a region derived from internal residues of human 7-dehydrocholesterol reductase
Host
Rabbit
Clonality
Polyclonal
Conjugate
Unconjugated
Purification
Antigen affinity purification.
Concentration
0.8 mg/mL
Formulation
Supplied in PBS, pH 7.3, containing 0.05% sodium azide and 50% glycerol.
Storage
Shipped at 4°C. Upon delivery aliquot and store at -20°C. Avoid freeze/thaw cycles.
Synonyms
7-dehydrocholesterol reductase, 7-DHC reductase, D7SR, Delta7-sterol reductase, Sterol Delta(7)-reductase, Sterol reductase SR-2
Suitable Secondaries
Goat Anti-Rabbit IgG H&L Antibody (AP) (A294874)
Goat Anti-Rabbit IgG H&L Antibody (Biotin) (A294795)
Goat Anti-Rabbit IgG H&L Antibody (FITC) (A294887)
Goat Anti-Rabbit IgG H&L Antibody (HRP) (A294888)
See all Anti-Rabbit IgG Secondaries →
Disclaimer
This product is for research use only. It is not intended for diagnostic or therapeutic use.
Scientific Validation Data
Validation Data
(2)
Enlarge Image
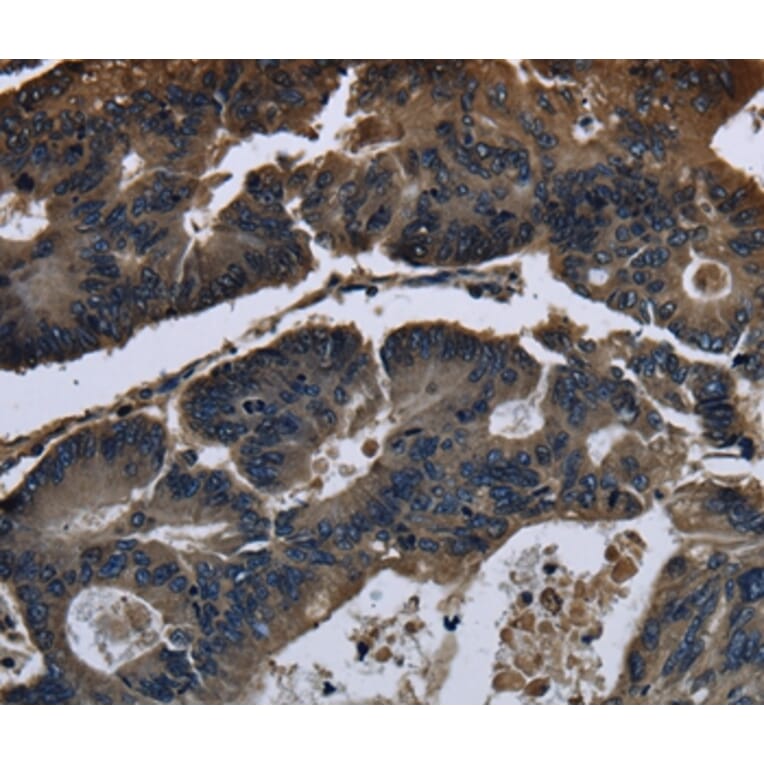
Immunohistochemistry - Anti-DHCR7 Antibody (A45993)
Immunohistochemical analysis of paraffin-embedded Human colon cancer tissue using #36415 at dilution 1/20.
Enlarge Image
Immunohistochemistry - Anti-DHCR7 Antibody (A45993)
Immunohistochemical analysis of paraffin-embedded Human thyroid cancer tissue using #36415 at dilution 1/20.
Publishing research using Anti-DHCR7 Antibody (A45993)? Please
let us know
so that we can list the citation on this page.
Proteins predicted to interact with DHCR7
Predicted protein interactions based upon String database. Revelancy score correlates with probability of interaction.
Seladin 1 Antibodies
99.6% Relevancy Score
SQLE Antibodies
98.3% Relevancy Score
CYP51A1 Antibodies
97.8% Relevancy Score
NSDHL Antibodies
96.6% Relevancy Score
HSD17B7 Antibodies
94.7% Relevancy Score
HMGCS1 Antibodies
94.7% Relevancy Score
SOAT 1 Antibodies
94.2% Relevancy Score
CYP7A1 Antibodies
94.2% Relevancy Score
FDFT1 Antibodies
93.8% Relevancy Score
Top